![]() |
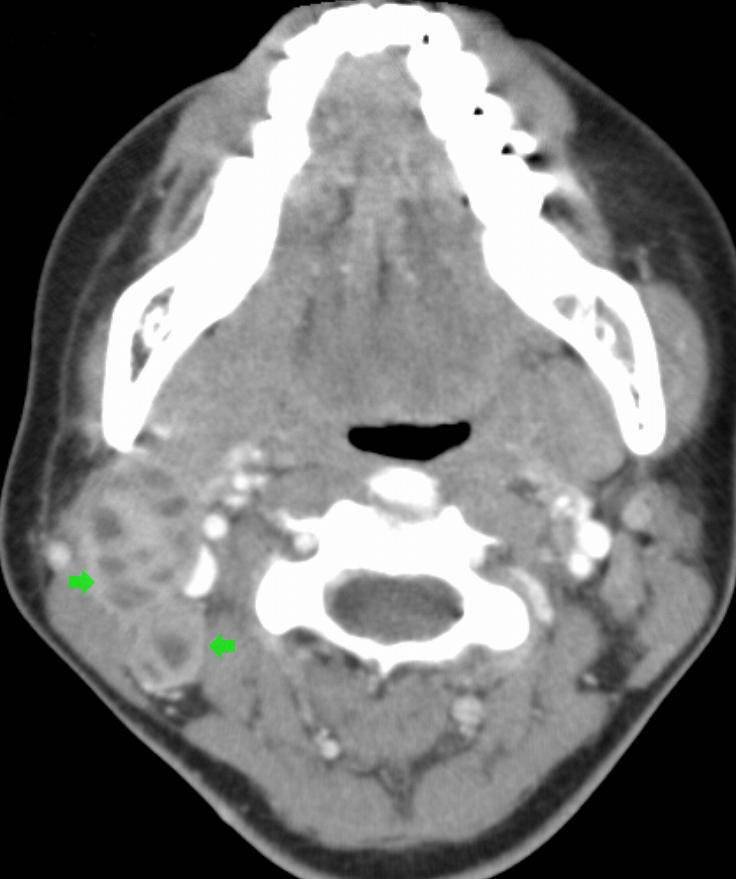
| Снимок шейного лимфаденита |
Лимфаденит шейный – болезнь с двумя лицами
В обыкновенной разговорной речи вы никогда не услышите фразу «лимфаденит шейный». Не потому, что о нем никто не знает, а потому, что эту болезнь привыкли называть заболеванием лимфатических узлов. Необходимо отметить, что о шейном лимфадените больше говорят относительно взрослой части населения. У детей он встречается крайне редко и особо опасности в себе не несет. Впрочем, с взрослыми дела обстоят намного серьезнее. Вся суть заболевания выстраивается на лимфатической системе, которая первой бросается в бой с неприятелем.
Именно увеличенные лимфатические узлы свидетельствуют о том, что в нашем организме присутствуют болезнетворные организмы, которые способны спровоцировать не только серьезное, но и самое легкое заболевание. Хотим сразу же предупредить, что в случае обнаружения утолщений на шее не стоит паниковать. Мы сейчас легонько намекнули на раковые клетки. Увеличенные лимфатические узлы в единичных случаях указывают на содержание в них раковых клеток.
Причины возникновения шейного лимфаденита
Одной из самых главных причин, провоцирующих воспаление лимфатических узлов, как мы уже сказали выше, является попадание в наш организм болезнетворных инфекций. Среди самых частых «гостей» врачи выделяют:
- стрептококки;
- стафилококки;
- бактерии.
В группе риска под номером один пребывают люди, у которых ослаблена иммунная система. Тем не менее, шейный лимфаденит может быть вызван развивающимися болезнями или протекать на фоне уже прошедших/прошедшей. Самыми яркими катализаторами или провокаторами выступают:
- острые заболевания носоглотки;
- нарушения в системе обмена веществ;
- самые разнообразные аллергические реакции;
- злоупотребление алкогольными напитками;
- патологии в соединительных тканях;
- онкологические заболевания;
- нарушения работы щитовидной железы;
- ВИЧ-инфекция.
Повторяться не будем. Однако необходимо сказать следующее: любые болезнетворные организмы проникают в наше тело с единственной целью – поразить иммунную систему. Именно благодаря работе защитных функций организма все болезнетворные интервенты не только блокируются в лимфатических узлах, но также в них и локализируются. Чрезмерное скопление на этой своеобразной линии фронта чужеродных захватчиков, сопровождается воспалительными процессами в лимфоузлах. Форма может быть как острой, так и хронической.
Исходя из сказанного, крайне важным заданием является диагностировать заболевание на самой ранней стадии. В противном случае придется пожинать плоды безрассудности, перешедшей в форму запущенной инфекции.
Важно! Любое подозрение, даже самое незначительное, на увеличение лимфатических узлов должно закончиться приемом у квалифицированного врача.
Лимфаденит шейный и его симптомы
Как уже было сказано ранее при шейном лимфадените на шее появляются некие уплотнения, а также, в некоторых случаях, наблюдается небольшая припухлость. Во время ее ощупывания возможны болевые ощущения. В случае, когда болезнь прогрессирует у больного, будут проявляться следующие симптомы:
- общее недомогание;
- головная боль;
- потеря аппетита;
- высокая температура тела (в случае острой формы лимфоденита);
- интоксикация (если речь идет о маленьком ребенке).
Соответственно шейные образования будут увеличиваться в размере уже на стадии развития. Впрочем, своевременное обращение за медицинской помощью поможет снять припухлость на протяжении одной или трех недель. Отдельно необходимо уделить внимание хронической и острой формам шейного лимфаденита. «Владельцы» с таким заболеванием должны бояться всего болезнетворного и не допускать верховенства болезни над носителем в ее крайней форме выражения.
Как мы уже сказали, при шейном лимфадените различают две формы:
- острую;
- хроническую.
Острый шейный лимфаденит
Проявляет себя в виде осложнения заболевания. Его сопровождает довольно сильное нагноение лимфатических узлов. Ртутный столбик, показывающий температуру тела, стремительно переходит отметку в 38-емь градусов. Поверхность над лимфоузлом приобретает красный цвет и по форме больше напоминает фурункул. Прогрессируя, припухлость лимфаденита значительно увеличивается, а ее контуры теряют свою четкость. Сам очаг инфекции, на ощупь, становится уже не таким подвижным. Если этот воспалительный процесс запустить, то последствия могут вылиться в иное заболевание, а именно:
- сепсис;
- аденома.
Именно поэтому к такому заболеванию всегда необходимо относится очень и очень серьезно.
Хронический шейный лимфаденит
Проявляется при любом заболевании у тех людей, чья иммунная система крайне ослаблена. Если вы подумали, что заболевание должно быть хоть немножечко серьезным, то отметим сразу же ваше глубокое заблуждение. Для проявления этого заболевания достаточно даже самой обыкновенной простуды, а воспаление лимфатических узлов долго ждать себя не заставит.
Стоит отметить, что в случае острой формы лимфатические узлы также будут увеличены, но при этом больной не будет испытывать таких сильных болезненных ощущений, как в первом случае. Впрочем, и нагноения возможны в очень редких случаях. Стоит также предупредить, что в случае обнаружения хронического шейного лимфаденита болезнь может сигнализировать о таком тяжелом заболевании как туберкулез. Дело в том, что чужеродные тела, провоцирующие туберкулез с потоками лимфы или крови из туберкулезного очага попадают в лимфатические узлы.
Шейный лимфаденит и его диагностирование
Диагностируется шейный лимфаденит исключительно при осмотре врача во время проведения пальпации. Впрочем, диагностировать заболевание возможно на основе ранее проведенных анализов либо ряда необходимых клинико-лабораторных исследований, а именно:
- биопсии больного лимфатического узла;
- рентгена мягких тканей шеи и/или подчелюстной зоны;
- магнитно – резонансной и/или компьютерной и томографии;
- исследования, в дальнейшем, с гистологическим анализом.
Хотелось бы отметить, что осмотр у врача должен состояться в любом случае, а визит в больницу не должен зависеть от стадии заболевания.
Шейный лимфаденит у детей
К большому сожалению, развивается он очень активно, хотя для детей он не так опасен, как взрослого человека. У грудничка прощупать лимфатические узлы крайне тяжело в связи с их малым размером. Зато после годика жизни эта процедура становится вполне доступной.
Симптомы шейного лимфаденита у детей
- жалобы на головную боль;
- доминирующая температура тела выше 38-ми градусов;
- сильная интоксикация (особенно у грудничков);
- отсутствие аппетита;
- плохой сон;
- наличие сильного отека шеи.
В случае хронического воспаления лимфоузлов самочувствие ребенка будет хорошим, а его температура тела будет находиться в пределах нормы. Болевые симптомы на шее возникать практически не будут, но лимфатические узлы – увеличены значительно. Их состояние определяется путем ощупывания.
Важно! При запущенном шейном лимфадените последствия для ребенка могут оказаться чрезвычайно опасными из-за появления миокарда. Вялость и бледность станут яркими его внешними проявлениями, а также неизбежна одышка. Дети с таким заболеванием очень тяжело набирают вес, поскольку для них даже процесс кормления становится очень тяжелым. В некоторых случаях они могут и вовсе отказаться от употребления пищи.
Шейный лимфаденит у взрослых
Несмотря на то, что симптоматика у взрослых схожа с детской, заболевание вызывается совершенно иными причинами. Стоит отметить, что несвоевременное обращение за медицинской помощью может иметь более серьезные последствия. В доминирующем большинстве случаев возбудителем шейного лимфаденита у взрослой части населения являются самые обыкновенные вирусные или бактериальные инфекции. В самом начале нашего разговора мы уже упоминали о причинах, которые приводят к таким заболеваниям. Поэтому мы не будим снова повторяться, а попросим вас подняться вверх по тексту.
Шейный лимфаденит – лечение
Методы лечения шейного лимфаденита назначаются исключительно лечащим врачом. Если форма заболевания оказалась легкой, тогда рекомендуется:
- домашнее тепло;
- покой;
- обильной питье самой обыкновенной воды;
- избегание низких температур и сквозняков.
Если провокатором заболевания оказалась туберкулезная палочка, тогда срочной госпитализации не избежать. Предписываются:
- больничный режим;
- специализированный спектр противотуберкулёзных антибиотиков.
Необходимым условием быстрого выздоровления является соблюдение необходимой диеты. Категорически запрещено к употреблению богатая транс-жирными кислотами и углеводами пища. Зато наличие овощей, фруктов, рыбы, нежирного мяса, а также жирных полиненасыщенных кислот омега-3, в рационе больного, будут всячески способствовать угасанию в организме воспалительных процессов. Впрочем, относительно диеты рассказано еще не все. Особое внимание стоит уделить сокращению потребления молочных и мучных продуктов, а также полностью исключить сахар либо продукты, содержащие его в больших количествах.
Среди применяемых методов лечения существуют три наиболее эффективные:
- медикаментозный;
- физиотерапевтический;
- хирургический.
Давайте рассмотрим каждый метод более детально.
Медикаментозное лечение
В любом случае лечение всегда начинается с определения причин, которые его спровоцировали и устранения собственно самого инфекционного очага. Если заболевание возникло в результате вирусного поражения:
- ангиной;
- гриппом;
- ОРЗ,
то восстановление лимфатических узлов произойдет самостоятельно по мере избавления организма от возбудителей болезни. Какого-либо медикаментозного лечения не понадобится. В противном случае необходимо принимать противовоспалительные препараты. В основном врач выписывает:
медрол; Использование обуславливается такими действиями, как иммуноподавляющее и противовоспалительное. Именно эти два фактора значительно снижают количество присутствующих в воспалительном очаге патологических клеток и способствуют восстановлению клеток, находящихся в соединительных тканях. Дозировка препарата зависит от специфики заболевания, и, как правило, составляет от 4-ех до 48-ми мг/сутки. Естественно, что назначается исключительно лечащим врачом. Детям прописывается вместе с преднизолоном. Средняя дозировка составляет 4 мг медрола и 5 мг преднизолона. Противопоказан в случае присутствия аллергических реакций либо из-за грибковых системных инфекций в их любой локализации.
преднизолон; Дозировка – сугубо индивидуальная. В среднем составляет от 5-ти до 10-ти мг в сутки или 1-ну либо 2-ве таблетки. В случае крайне острых состояний принимают от 20-ти до 30-ти мг в сутки, что равнозначно 4-ем или 6-ти таблеткам. Касательно детей, его прописывают исходя из возраста:
- от 2-ух до 12-ти месяцев – 2-ва или 3-ри мг на килограмм веса;
- от 1-го до 14-ти лет – 1-ин или 2-ва мг на килограмм веса.
Вводится медленно внутривенно на протяжении трех минут. При необходимости препарат может быть введен повторно по истечении 20-ти или же получаса с момента введения первой порции.
Противопоказан беременным женщинам и гипертоникам. Возможно негативное влияние на больных, страдающих сахарным диабетом или же язвенной болезнью двенадцатиперстной кишки либо желудка. В случае инфекционного заболевания или при туберкулезе назначается вместе с антибиотиками. Возможно применение в комбинации со специальными средствами лечения.
Говоря о шейном лимфадените необходимо обеспечить прием иммуностимуляторов, а также препаратов содержащих высокую концентрацию витамина С и поливитаминов. В случае острой или хронической формы будут предписаны антибиотики.
Физиотерапевтическое лечение
Состоит из:
- гальванации;
- лекарсвенного электрофореза;
- УВЧ-терапии.
Хирургическое лечение
Применяется в крайнем случае, тогда, когда два перечисленных способа будут безрезультатны. Во время хирургического вмешательства нагноение вскрывается, а гной удаляется вместе с пораженными соединительными тканями. Завершается операция дренажированием.
Шейный лимфаденит – лечение народными средствами
С давних времен это заболевание лечили питьем и компрессами. Предлагаем несколько рецептов из народной медицины.
- Купите в аптеке настойку эхинацеи на спирту. Для приготовления питья 20-ть или 40-ок капель эхинацеи разведите в половине стакана воды. Пейте, независимо от приема пищи по три раза на день.
- Разведите настойку эхинацеи, соблюдая пропорцию 1:2, в теплой воде. Смочите в приготовленной жидкости марлю и приложите к больному месту. Закрепите компресс и ложитесь спать.
- Возьмите измельченную траву зверобоя, ореха, тысячелистника и омелы. Всего по одной чайной ложке. Залейте все одним стаканом воды, размешайте и поставьте на малый огонь. Проварите минут пять, и дайте содержимому остыть. Используйте для ночных компрессов на протяжении двух или трех недель.
- Промойте и измельчите в ступке листья чистотела, отожмите сок в количестве одной столовой ложки. Перелейте его в стеклянную емкость, добавьте пол стакана спирта. Поставьте концентрат на одни сутки в темное место. Используйте для компрессов.
Чем опасен шейный лимфаденит
Лимфаденит – бомба замедленного действия. Главным фактором, приводящим к развитию болезни, являются вирусы, бактерии. Среди возбудителей неспецифической формы лимфаденита ведущая роль отводится стафилококкам, стрептококкам, которые попадают в лимфоузел из первичного очага инфекции с током крови, лимфы или контактным способом. Первичным очагом инфекции может быть рожистое воспаление, гнойная рана, фурункул, карбункул, кариес.
Часто шейный лимфаденит у взрослых возникает на фоне острых и хронических инфекций уха, ротовой полости, носа. У детей увеличение лимфатических узлов провоцируют такие недуги, как эпидемический паротит, скарлатина, краснуха.
Следует знать, что лимфаденит шейных лимфоузлов достаточно опасен осложнениями. Например, серозная форма нередко переходит в гнойный процесс. Если гной распространяется за пределы лимфатического узла, возникает флегмона. Флегмона – поражение мягких тканей гноеродными микроорганизмами. Патологический процесс протекает реактивно, за короткое время охватывает здоровые зоны, распространяется на сухожилия, мышцы. В борьбе с инфекцией организм старается ограничить воспаление, формируя капсулу. Но при снижении иммунитета, продолжительном течении хронической болезни ограничительная капсула не образуется и гной свободно распространяется на здоровые ткани. Если шейный лимфаденит осложнен флегмоной, а лечение не предпринимается, то существует большая вероятность летального исхода.
Шейный лимфаденит. Симптомы
Размер шейных лимфатических узлов зависит от стадии основного заболевания, вызвавшего шейный лимфаденит. Лечение определяют с учетом характера болезни: гнойный процесс или серозная форма, а также зоны распространения инфекции.
Первостепенный признак такого заболевания, как лимфаденит шейных лимфоузлов – мучительная боль, из-за которой больному приходится постоянно менять позу, принимая вынужденное положение.
В области больного лимфоузла кожные покровы приобретают ярко-розовый оттенок, заметна припухлость шеи. При прогрессировании воспаления температура тела повышается, появляется слабость, головная боль.
Следует помнить, что безболезненное увеличение лимфатических узлов, особенно с одной стороны, наличие плотного образования, спаянного окружающими тканями, требует обязательного исключения опухолевого процесса, рака крови, злокачественных новообразований шеи. Подобные характеристики видоизмененных лимфатических узлов подтверждают рак.
Атипичные клетки
На изменение структуры лимфоузлов следует обращать внимание, поскольку шейный лимфаденит, симптомы которого настораживают, может являться признаком наличия атипичных клеток в лимфатической системе.
В основе развития любого злокачественного новообразования лежит изменение строения ДНК и как следствие – возникновение атипичных клеток. Каждый день на человека воздействуют факторы, которые вызывают повреждение клеток. Это канцерогены, ультрафиолетовое излучение, химические вещества, радиация. Под влиянием данных факторов поврежденные клетки приобретают свойства, не характерные здоровым клеткам. При ослаблении защитных сил организма любая клетка может трансформироваться в атипичную, которая запускает развитие злокачественного процесса.
В организме присутствуют механизмы подавления опухолевого преобразования. Если порядок уничтожения атипичных клеток нарушается, то клетки трансформируются в рак.
Шейный лимфаденит. Виды
Шейный лимфаденит у взрослых классифицируют по определенным признакам.
Интенсивность и протяженность
- Острый шейный лимфаденит. Симптомы ярко выражены (высокая температура, отек лимфоузла, головная боль). Причина – инфекционное заболевание в острой форме, необработанная рана, хирургическое вмешательство.
- Хронический шейный лимфаденит. Причина – длительная хроническая инфекция или раковая опухоль.
- Рецидивирующий лимфаденит шейных лимфоузлов. Возникает при затяжных, хронических заболеваниях.
Этиология
- Неспецифический. Возбудитель – грибковая флора, стрептококки, стафилококки, синегнойная палочка.
- Специфический лимфаденит шейных лимфоузлов. Сигнализирует о развитии сифилиса, туберкулеза.
Характер воспаления
- Серозный шейный лимфаденит. Данная форма заболевания является следствием жизнедеятельности вирусов или раковых метастазов
- Гнойный шейный лимфаденит – внедрение бактериальной флоры
Диагностика шейного лимфаденита
Во время медицинского осмотра основной целью врача является определение причины воспаления лимфатических узлов и установка характера воспалительного процесса для назначения эффективной терапии. Необходимо выявление возможных источников инфекции, часто требуется заключение ЛОРа и стоматолога. С целью исключения новообразований назначают УЗИ лимфатических узлов. Ультразвуковое исследование показывает структуру органов лимфатической системы, размеры. При необходимости выполняют пункционную диагностику лимфатического узла. Гистологический тест обозначит наличие онкологических клеток
Шейный лимфаденит. Лечение
В зависимости от стадии заболевания, подбирается эффективное лечение лимфоденита шейных лимфоузлов. После врачебного осмотра пациент сдает кровь на анализ. Если в крови отмечается повышенное содержание лейкоцитов, судят об инфицировании организма. Вовремя диагностированный шейный лимфаденит хорошо поддается лечению. На начальных стадиях пациента, как правило, не госпитализируют. Лечение проводится амбулаторно.
Установив возбудителей воспаления, назначают антибактериальную терапию. Лекарственные препараты при шейном лимфадените инфекционной природы назначают в том случае, когда защитные силы ослаблены, и организм не противостоит чужеродным агентам. Если шейный лимфаденит спровоцирован ангиной и гриппом, то после лечения данных заболеваний лимфатические узлы возвращаются к норме.
Лечение гнойного лимфаденита заключается в хирургическом вмешательстве, в ходе которого врач вскрывает лимфоузел с гнойным содержимым, ликвидирует гной и дренирует рану.
Для восстановления иммунитета используют витаминные комплексы, минералы и препараты, повышающие защитные силы организма.
Шейный лимфаденит – серьезное заболевание, которое вызывает опасные осложнения, например сепсис, тромбофлебит. Если лимфатические узлы уплотнены и болят, не стоит медлить с обращением к специалистам.
Причины
Поражению регионарных лимфоузлов часто предшествует гнойный процесс в области лица. Среди наиболее частых возбудителей заболевания можно выделить стафилококки и стрептококки. Зависимо от причинного фактора, лимфаденит классифицируют на специфический и неспецифический. В первом случае причиной будет тяжелая инфекция, такие заболевания, как туберкулез, дифтерия и многие другие. Неспецифическое воспаление происходит при непосредственном попадании инфекционного агента в лимфатический узел через раны в области шеи без отягощающих патологий.
В группу риска попадают людям с ослабленным защитным механизмом, дети с частыми инфекционными заболеваниями, взрослые, которые работают с животными, землей и загрязненной водой. Чаще диагностируется у людей после 18 лет.
Факторы риска:
- инфекция в полости рта и носоглотке;
- патологии эндокринной системы, в особенности щитовидной железы;
- иммунодефицит, ВИЧ;
- осложненная аллергическая реакция;
- нарушение обменных процессов;
- злоупотребление спиртными напитками.
Шейный лимфаденит не относится к заразным заболеваниям, он является вторичным процессом, развивается как осложнение запущенного бактериального или вирусного процесса.
Лечением лимфаденита занимается хирург, ЛОР, педиатр, инфекционист и другие специалисты, зависимо от последствий и сопутствующих нарушений в организме.
Стадии воспаления
Воспаление протекает остро, затем постепенно переходит в хроническую стадию. Зависимо от состояния иммунной системы, яркие признаки на начальном этапе патологии могут отсутствовать, тогда лимфаденит диагностируется уже на хроническом этапе.
Стадии острого шейного лимфаденита:
- Серозная. Развивается после проникновения возбудителя в лимфоузлы. Сопровождается умеренной симптоматикой без выраженной интоксикации организма. Температура редко повышается до 38 градусов, прогноз лечения благоприятный.
- Гнойная. Возникает при поражении бактериями. Проявляется выраженными симптомами с повышением температуры до 39 градусов. Требуется немедленное хирургическое лечение.
- Осложненная. Без операции происходит распространение инфекции на соседние лимфоузлы. Появляется аденофлегмона, воспаление глубоких слоев кожи.
Переход в хроническую стадию сопровождается стиханием клинических проявлений, выраженные признаки проходят, но продолжается интоксикация организма, чему сопутствует постоянная слабость, отсутствие аппетита, субфебрильная температура тела.
Формы заболевания
Зависимо от возбудителя, различают специфический и неспецифический лимфаденит. По интенсивности и длительности патологии отмечают острую, хроническую, осложненную и рецидивирующую патологию.
Особенности течения, зависимо от этиологии:
- неспецифическое воспаление происходит на фоне попадания в лимфоузел грибковой или вирусной инфекции, легче поддается лечению, реже приводит к осложнениям;
- специфическое воспаление является признаком тяжелой патологии, включая туберкулез, сифилис, брюшной тиф и чуму.
Осложненная форма воспаления у маленького ребенка и взрослых может закончиться распространением патологии на другие лимфоузлы, что приведет к тяжелому заболеванию — генерализированному лимфадениту. Из менее опасных последствий можно выделить аденофлегмону и обострение имеющихся заболеваний на фоне снижения иммунитета.
Симптомы
Общие признаки заболевания:
- при острой форме повышается температура;
- слабость, плохой сон и отсутствие аппетита;
- неврологические симптомы (мигрень, апатия, головокружение);
- интоксикация.
На начальном этапе заболевания можно наблюдать увеличение и уплотнение регионарных лимфоузлов. При пальпации они болезненны и спаяны с окружающими тканями. Это серозный этап заболевания, если при этом не обратиться за помощью, симптоматика нарастает, припухлость лимфоузлов сохраняется на протяжении нескольких недель, процесс переходит в хроническую стадию.
Симптомы хронического лимфаденита:
- припухлость лимфоузлов;
- повышение температуры до 37,5-38 градусов;
- недомогание, сонливость, потеря сна;
- слабая боль во время пальпации.
На хроническом этапе симптомы слабо различимы, организм «привыкает» и на борьбу с заболеванием тратится меньше ресурсов. Это приводит к медленному отравлению продуктами распада и участками некроза.
По мере гнойного поражения тканей нарастают внешние признаки воспаления и в один момент заболевание обостряется. О переходе в гнойную стадию будет свидетельствовать сильная боль и пульсация при пальпации, припухлость лимфоузлов, которые уже спаяны с окружающими тканями. Температура тела повышается до 38 градусов и выше, состояние становится угрожающим для жизни.
У детей лимфаденит протекает активнее, быстрее переходит с одной стадии на другую. Чаще у ребенка можно наблюдать воспаление подчелюстных узлов и распространение патологического процесса на шею.
Диагностика
При внешнем осмотре врач обращает внимание на пораженные лимфатические узлы и окружающие ткани для выявления причинного фактора. Клинический анализ крови покажет воспалительный процесс, повышение уровня лимфоцитов, и если лимфаденит не осложнен другими нарушениями, сразу же начинается лечение. Когда же врач видит изменения со стороны других органов, назначается инструментальная диагностика и дополнительные анализы.
Комплексное обследование включает:
- клинический анализ крови;
- пункцию, гистологическое исследование материала узла;
- рентгенографию грудной клетки при подозрении на туберкулез;
- ультразвуковое исследование брюшной полости при невыясненной причине воспаления;
- компьютерную томографию для визуализации очага заболевания и окружающих тканей;
- анализ на ВИЧ и гепатит.
Посещение врача не должно зависеть от стадии заболевания. Уменьшение припухлости и отсутствие боли не говорит о выздоровлении. В любой момент лимфаденит может обостриться, тогда придется проводить срочное хирургическое лечение. Лучшим вариантом будет визит к врачу при появлении первых симптомов: припухлости и боли в области шее. В таком случае можно будет спланировать схему медикаментозной терапии и подготовиться к операции.
Способы лечения
При лимфадените гнойного характера показано хирургическое лечение. Проводится вскрытие очага, удаление содержимого, обработка и дренирование. Затем назначается симптоматическое лечение.
Медикаментозная терапия проводится зависимо от этиологического фактора. Назначаются симптоматические лекарства для обезболивания, противовоспалительные и общеукрепляющие средства. Врач назначает антибактериальные препараты. В период стихания симптоматики можно проходить физиотерапевтические процедуры, включая УВЧ-терапию, гальванизацию и лекарственный электрофорез.
Профилактика
Для первичной профилактики шейного лимфаденита важно своевременно лечить воспалительные и гнойные заболевания в области лица и грудной клетки. Учитывая риск появления болезни на фоне заболеваний полости рта, необходимо регулярно посещать стоматолога для профессиональной гигиены и санации.
В твердых зубных отложениях скапливается патогенная микрофлора, которая может запустить воспаление десен и пародонта. Без лечения при ослабленном иммунитете это грозит распространением инфекции на регионарные лимфоузлы и костную ткань.
Профилактика включает:
- прием витаминных комплексов;
- обработку ран и царапин на коже;
- лечение фурункулов, абсцессов и других очагов гнойной инфекции.
Не допускается лечение шейного лимфаденита в домашних условиях без предварительного обследования у врача. Согревающие компрессы и многие другие методы народной медицины могут привести к распространению инфекции и заражению крови.
