Нередко после прохождения ультразвукового исследования пациентке сообщают, что в ее матке есть кальцинаты. Любое новообразование воспринимается как опасная болезнь, поэтому возникает логичный вопрос о том, что это такое, чем опасны такие образования, и как их лечить.
Что за явление?
Это не заболевание, это следствие патологического процесса в основном детородном органе матки. Само это явление представляет собой локализацию солей кальция в определенной маточной области. Отметим, что кальцинаты могут возникать не только в этом органе, но и других органах, например, в печени. Таким образом, кальцинат – это не только гинекологическое заболевание, это патологический процесс, возникающий по причине нарушения нормального функционирования конкретного органа.
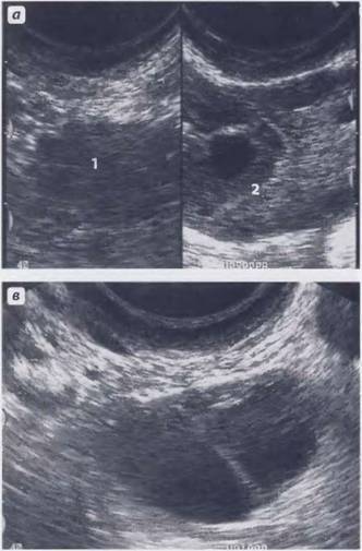
Такие образования хорошо видны при ультразвуковом исследовании, МРТ. Но во время УЗИ не видны ткани, из которых состоит образование, поэтому о наличии кальцината можно только предположить. Такая ситуация требует дополнительного обследования женщины, чтобы исключить заболевания гораздо серьезнее, чем наличие отложений солей кальция.
Причины образования
Соли этого микроэлемента находятся в нашем организме, и это нормально. Кальций участвует в обменном процессе внутри клеток, насыщает определенные ткани и так далее. Если его не хватает в женском организме, возникают такие явления, как выпадение волос, ломкость костей, разрушение зубов, нарушение функционирования организма. Наличие в организме чрезмерного количества этого микроэлемента также приводит к патологиям, например, задержка мочи, отложение в разных органах.
Что такое кальцинаты в матке, и в чем их причина? Ответ прост: отложения кальция в матке возникают по причине перенесенного воспалительного заболевания этого органа. Таким образом, организм защищается, перерождая хронически пораженные ткани в кальциевые отложения, препятствуя распространению патологического процесса дальше.
Диагностика
Распространенным методом диагностики является ультразвуковое исследование детородного органа. Гинекологи предлагают трансабдоминальное УЗИ, которое позволяет исследовать патологии органа с помощью датчиков, которые врач водит по животу пациентки.
Также специалист может предложить дополнительные методы диагностики, если в этом есть необходимость:
- трансвагинальное УЗИ, позволяющее исследовать орган ближе, особенно во время беременности;
- гистерография – исследование органов малого таза с помощью введения контрастного вещества, бывает рентгенологическим и ультразвуковым;
- доплерография;
- трехмерное УЗИ – современный способ диагностики патологий матки, который позволяет в трехмерном измерении увидеть кальцинаты;
- анализ крови на определение общего количества кальция.
Трехмерное УЗИ на сегодняшний день является самым достоверным способом диагностики заболеваний матки, но его цена значительно выше остальных методов.
Опасность
Опасно ли наличие кальциевых отложений? – вопрос, интересующий всех женщин, у которых они обнаружены. Особенно волнует он женщин, желающих в скором времени забеременеть.
Мы уже поняли, что возникновение таких отложений самостоятельным заболеванием не являются, но свидетельствуют о наличии или результате воспалительного процесса в матке. Для определения состояния женского организма в результате возникновения кальцинатов, необходимо дополнительное обследование. Определить нужно первопричину возникновения таких образований.
Уже после дополнительной диагностики станет понятно, является ли это угрозой для репродуктивного здоровья женщины. Часто на обычном УЗИ кальцинаты в детородном органе путают с полипами. Полипы угрожают женщине постоянными кровотечениями и патологиями беременности.
Матка у будущей мамы должна естественно растягиваться. Но с кальциевыми образованиями она лишена такой возможности, изменения размера этого органа будут сопровождаться болевыми ощущениями. Но также существуют данные о нормальном течении беременности с наличием подобных образований. Каждый случай индивидуален, и должен быть под наблюдением врача.
Лечение
Для лечения патологии используются все необходимые диагностические методы, так как кальциевые новообразования – это не причина, а следствие. После определения причины гинекологи лечат основное заболевание или его последствия.
Какие меры применяются в лечении этой патологии?
- Хирургическое вмешательство. Проводится крайне редко, так как эти отложения не стоят операционных повреждений тканей репродуктивного органа. Нужно еще учитывать риск кровотечения после операции на матке. Для хирургического вмешательства должны быть четкие показания, когда никакой другой метод уже не эффективен.
- Выскабливание. При такой патологии эта манипуляция эффективна, но после нее кальцинаты могут возникать повторно.
- Сбалансированное питание и своевременное лечение воспалительных процессов в детородном органе – это скорее уже профилактические методы, так как они направлены на предотвращение кальциевых отложений, а не на их удаление.
- Препараты для рассасывания таких образований не применяются. Врач может назначить водяной перец и несколько уколов окситоцина для того, чтобы кальцинат отсоединился от стенки матки, и она своими сокращениями его вытолкнула. Но любое лечение должно проводиться под наблюдением врача.
Вывод
Кальциевые образования в матке приводят в замешательство женщин, причиняя определенны трудности в функционировании органа. Любые мероприятия по диагностике образований и их удалению или лечению согласовываются с врачом. Нельзя заниматься самолечением, так как кальцинаты на обычном УЗИ можно перепутать с полипами.
Описание
Очень распространены кальцинаты в матке. Медицинская статистика сообщает, что кальциевые отложения формируется примерно у 30% всех женщин, причем в большей части случаев процесс протекает без каких-либо внешних проявлений.
Причины образования
Все причины возникновения кальциевых отложений можно условно подразделить на несколько групп. В первую группу включены так называемые триггерные факторы возникновения, то есть те, которыми непосредственно обусловлено становление кальцината. Среди них:
- Поражения органов, расположенных в малом тазу, травматического характера. К таким поражениям относятся в том числе диагностические выскабливания, аборты хирургического характера, гистероскопии и другие схожие манипуляции. Они приводят к повышению вероятности инвазии маточных тканей патогенными микроорганизмами. Наибольшую опасность представляют собой полостные операции, проводимые на органе.
- Предрасположенность к развитию инфекционно-воспалительных поражений генетического и другого характера. К примеру, эндометриоз или эндометрит могут развиваться под воздействием отягощенной наследственности. Если у женщины имеется хотя бы одна больная родственница по восходящей линии в пяти поколениях, то вероятность возникновения кальциноза у женщин увеличивается до 30%, если же присутствуют две больные родственницы, то вероятность возрастает до 50%. К счастью, доминантным или аутосомно-рецессивным способом патология не наследуется. Передаваться могут только особенности системы репродукции.
- Стеноз цервикального канала и половых путей. Подобные нарушения становятся причиной рефлюкса менструальной крови и других выделений обратно в полость матки, в результате чего происходит застой этих веществ, в итоге значительно повышается вероятность развития инфекционного поражения (чаще всего — эндометрита).
- Плохие экологические условия в месте проживания женщины. Под воздействием экологических факторов может развиваться аденомиоз, являющийся фактором риска скопления солей кальция.
- Нарушения менструального цикла. В полости влагалища присутствует большое количество разнообразных бактерий, причем некоторые из них обладают патогенностью, способны поражать ткани и органы (вирус папилломы человека, герпетические агенты, микоплазмы, уреаплазмы, стафилококки, стрептококки и другие представители пиогенной флоры). При задержке менструации происходит застой крови, что способствует формированию среды, комфортной для размножения бактериальных агентов.
- Аллергические реакции на воздействие внутренних и внешних факторов. Чаще всего в подобном случае имеется в виду алиментарная причина, то есть неправильное питание и поступление антигенов в системный кровоток.
- Чрезмерно раннее или позднее начало половой жизни. Нежелательными для женского здоровья являются оба варианта. При позднем начале половой жизни повышается агрессивность микроорганизмов. При чрезмерно раннем – инициируются дистрофические процессы в органах малого таза. В результате повышается риск становления кальцинатов.
- Поздние роды. Могут сказываться негативным образом на состоянии матки, нередко вызывают анатомические изменения, способные приводить к отмиранию маточных тканей (полному, частичному).
- Патологические изменения в эндокринной системе. К ним относится также сахарный диабет, нарушения деятельности гипоталамуса, гипофиза, гипертиреоз, гипотиреоз и другие патологии.
- Патологические изменения в репродуктивной системе. В первую очередь провоцирующими факторами являются инфекционные заболевания: аднекситы, эндометриты и другие.
- Рубец на матке после кесарева. Кальцинаты могут возникать на рубце, который возник вследствие полостных операций на органе.
- Снижение местного, общего иммунитета. Неблагоприятная экология, стрессы, тяжелые физические нагрузки (провоцирующие избыточную продукцию кортикостероидов), частые вирусные респираторные болезни, переохлаждения.
Защитная реакция организма
Как уже было сказано, кальцинаты в матке представляют собой защитную реакцию организма. В основе механизма образования кальциевого отложения лежит инвазия маточных тканей инфекционного или вирусного характера. Как только происходит поражение органа микроорганизмом или вирусом, резко возрастает вероятность развития гнойного воспаления. В подобном случае требуется инкапсуляция некротизированных тканей. Именно такую роль выполняют кальцинаты рубца на матке после кесарева.
Косвенные факторы
Ко второй группе причин возникновения патологии принято относить факторы, которые косвенно обуславливают начало процесса формирования отложения. Среди них выделяют:
- Злоупотребление алкоголем, табакокурением. Данные факторы негативно отражаются на состоянии тканей, иммунитета.
- Нерациональное питание, способствующее снижению иммунитета.
- Интенсивная потеря кальциевых ионов из костных структур.
- Ожирение. Наличие избыточной массы тела представляет собой фактор повышенного риска.
- Повышенный уровень кальциевых солей в крови. Такая ситуация является ненормальной, она чревата развитием кальциноза не только в матке, но и в других органах и тканях. Данный фактор нередко является провоцирующим при образовании кальцинатов в молочных железах, предстательной железе, почках, легких, аорте. Матка в данном случае подвергается нарушениям реже, однако в каждом таком случае можно говорить о множественных поражениях органа.
- Стрессовые ситуации. На фоне стресса снижается общий, местный иммунитет, так как происходит усиленная выработка кортизола, адреналина, норадреналина надпочечниками.
Перечисленные факторы не являются единственными, провоцирующими возникновение кальцинатов. Это следует учитывать при определении этиологии недуга.
Что такое кальцинаты, теперь понятно. Рассмотрим симптоматику.
Симптоматика
Кальцинаты в матке практически не проявляют себя какой-либо симптоматикой. Свидетельствовать о процессе отложения солей может присутствие слабых тянущих болей внизу живота.
Но, как правило, в большинстве случаев кальциевые отложения обнаруживаются инцидентально при проведении исследований по поводу других патологий или состояний. Чаще всего при кальцинозе выявляются симптомы основной патологии, которая стала провокатором становления кальцинатов.
В этом случае перечень вероятных симптомов очень обширен. Практика показывает, что чаще всего причиной становятся эндометрит и эндометриоз. Именно эти два заболевания обуславливают начало кальцификации.
Запись к гинекологу в женскую консультацию следует сделать в том случае, если возникло подозрение на развитие патологии.
Основные признаки воспаления
Основными признаками процесса воспаления в слизистых матки являются:
- Болезненность в нижнем отделе живота, которая может быть различной интенсивности. Когда процесс осложнен, преобладают боли стреляющего, ноющего, тянущего характера. Выраженность дискомфорта находится в прямой зависимости от степени агрессивности основного возбудителя, общего состояния иммунитета, места локализации поражения. Дискомфортные ощущения могут ирридировать в проекцию матки, поясницу, ноги, паховую область.
- Появление кровянистых выделений, имеющих неприятный запах. В некоторых случаях, что встречается крайне редко, экссудат может полностью состоять из гноя. Как правило, выделения имеют резкий гнилостный запах и цвет мясных помоев. По своему характеру они обильные.
- Нарушение цикла менструаций вплоть до задержки в неделю. Такая ситуация нормальной не является.
- Повышенная до фебрильных и выше отметок температура тела. Если недуг имеет хроническую форму, то может проявляться сравнительно легкая гипертермия.
- Симптоматика общей интоксикации: рвота, тошнота, головокружения, боли в голове.
- Отклонения в репродуктивной функции женщины. Фертильность не исключается, но может снижаться.
Чаще всего кальциевые отложения возникают на фоне длительно протекающего хронического эндометрита, в связи с чем клиническая картина может быть смазанной. В подобных случаях требуется срочная запись к гинекологу в женскую консультацию.
Диагностика кальцинатов
Диагностикой отклонения занимаются врачи-гинекологи, однако это не является первостепенной задачей. Главная задача состоит в выявлении основной патологии, явившейся провокатором процесса становления кальцинатов. Чаще всего такой патологией является эндометрит, но не во всех случаях. Поэтому пациентке необходимо тщательно обследоваться.
Сбор анамнеза
Первичный прием предполагает сбор индивидуального и семейного анамнеза. Пациентка должна описать свои жалобы, срок давности их появления, характер.
Виды исследований
Затем требуется проведение бимануального исследования, осмотр половых органов при помощи зеркал. Кроме того, необходимы:
- Общее лабораторное исследование образцов крови для выявления классической картины воспаления, сопровождающейся повышением уровня лейкоцитов, скорости их оседания.
- Биохимическое исследование образцов венозной крови.
- Исследование органов, расположенных в малом тазу, при помощи ультразвука. Кальцинаты матки на УЗИ будут заметны.
- Рентгенография органов, расположенных в малом тазу. Кальцифицироваться могут как доброкачественные, так и злокачественные неоплазии.
- ИФА, ПЦР-диагностика. Позволяет выявить основной возбудитель патологии, если она имеет инфекционную этиологию.
- Мазки из цервикального канала, влагалища.
- Бактериологические посевы на присутствие питательных сред.
Данные исследования являются достаточными для выявления первопричин возникновения кальцинатов. В отдельных случаях показано КТ, МРТ.
Можно ли удалить кальцинаты в полости матки? Разберемся.
Кальцинат в медицинской практике определяется как отложение солей кальция в области какого-либо органа. Кальцинат в матке, что это такое?
Для начала необходимо понять, как устроена сама маточная структура. Матка представляет собой непарный полый орган, состоящий из трех слоев. Внутренний слой — эндометриальный, средний, наиболее широкий представлен мощными мускулами, это миометрий. Наружный же отдел маточной структуры — брюшина.
В полости матки кальцинаты встречаются в разы чаще, чем в миометрии и на брюшинном слое. Могут быть кальцинаты на шейке матки. Во всех случаях, кальцинат выступает своего рода защитной реакцией организма. Соли неорганического свойства инкапсулируют участки распада тканей, тем самым предотвращая распространение некротического процесса далее. Отложение солей кальция всегда вторично и болезнью в полном смысле этого слова не является.
Распространенность формирования кальциевых отложений в матке весьма велика. В медицинской статистике речь идет о цифре в 25-30% всех женщин. Поскольку в большинстве случаев протекает становление подобного образования бессимптомно. Что же нужно знать о кальцинатах и их природе?
Можно подразделить все причины на несколько групп. Первая группа включает в себя так называемые триггерные факторы развития, то есть такие, которые непосредственно обуславливают становление кальцината. В данном случае речь идет о следующих причинах:
Травматические поражения органов малого таза. В том числе после проведения диагностических выскабливаний, абортов хирургического характера, гистероскопии и иных схожих манипуляций. Они приводят к повышенному риску инвазии тканей матки патогенными микроорганизмами. Особенно опасны полостные операции на полом органе.
Стеноз половых путей и цервикального канала в первую очередь. Провоцирует рефлюкс менструальной крови и выделений обратно в матку. Далее наблюдается застой вещества в полости органа, как итог наступает повышение риска возникновения инфекционного поражения (в первую очередь эндометрита).
Предрасположенность к инфекционно-воспалительным поражениям генетического и иного характера. В частности, эндометрит или эндометриоз могут быть обусловлены отягощенной наследственностью.
При наличии одной больной родственницы по восходящей линии (в течение 5 поколений) риск развития патологии составляет около 30%, при присутствии двух родственниц — около 45-50%. Прямого наследования аутосомно-рецессивным или доминантным способом, к счастью, не существует. Передаются лишь особенности репродуктивной системы.
Плохая экологическая обстановка в месте проживания. Может спровоцировать аденомиоз, который сам по себе является фактором риска развития патологического процесса.
Проблемы с менструальным циклом. Во влагалище содержится огромное количество микроорганизмов, в том числе патогенных, которые могут поражать органы и ткани (пиогенная флора, в том числе стрептококки и стафилококки, уреаплазмы, микоплазмы и иные представители флоры, герпетические агенты, вирусы папилломы человека). При замедлении месячных кровь застаивается, формируется отличная среда для размножения бактерий.
Аллергические реакции на внешние и внутренние факторы. Как правило, в данном случае речь идет об алиментарной причине. То есть неправильном питании и поступлении антигена в кровеносное русло.
Позднее или чрезмерно раннее начало половой жизни. Плохо как то, так и другое. В первом случае по причине повышения агрессивности микроорганизмов, во втором — из-за инициирования дистрофических процессов органов малого таза.
Поздние роды. Сказываются на состоянии матки негативным образом, нередко вызывая атонические изменения, которые способны привести к частичному или полному отмиранию тканей органа.
Эндокринные патологии. В том числе имеется в виду сахарный диабет, гипотериоз, гипертиреоз, проблемы с гипофизом и гипоталамусом и другие.
Заболевания репродуктивной системы. В первую очередь инфекционного свойства: эндометриты, аднекситы и иные.
Кальцинаты в матке, что это? Как уже было сказано, это защитная реакция. Основу механизма развития кальцината составляет вирусная или инфекционная инвазия тканей. Как только вирус или микроорганизм поражает орган, возможно гнойное расплавление указанных структур. В таком случае необходима инкапсуляция некротического содержимого. Именно этим целям служат соли кальция.
Снижение общего и местного иммунитета. По причине неблагоприятной экологии, стрессов и тяжелых физических нагрузок (из-за выработки избыточного количества кортикостероидов), частых острых респираторных вирусных инфекций, переохлаждений и тому подобных факторов.
Вторая группа причин — это факторы, косвенно обуславливающие начало формирования кальцинатов в области матки. Среди них можно выделить:
- Стрессовые ситуации. Вызывают снижение общего и местного иммунитета по причине выработки огромного количества гормонов коры надпочечников (норадреналина, адреналина, кортизола).
- Повышенная концентрация солей кальция в крови. Это ненормальная ситуация, чреватая кальцинозом не только матки, но и иных органов и тканей. Наиболее часто кальцинаты при подобного рода факторе развиваются в аорте, легких, почках, у мужчин в предстательной железы, в молочных железах. Матка становится мишенью несколько реже и всегда говорить приходится о множественных поражениях органа.
- Ожирение. Избыточная масса тела является фактором повышенного риска.
- Интенсивный выход кальция из костных структур.
- Неправильное питание, влекущее снижение защитных сил организма.
- Табакокурение, злоупотребление алкогольными напитками. Сказываются на состоянии иммунитета и тканей.
Перечень факторов огромен. Их необходимо учитывать при поисках этиологии процесса кальцификации тканей.
Сами по себе кальцинаты не дают знать о себе практически никак. Единственное, что может свидетельствовать в пользу процесса отложения солей, — слабые тянущие боли в нижней части живота.
Однако в большинстве случаев подобные «сюрпризы» обнаруживаются инцидентально в ходе исследования по поводу другого заболевания или состояния. Как правило, при кальцинозе обнаруживаются симптомы основного заболевания, породившего сам процесс отложения солей.
И здесь перечень возможных проявлений максимально широк. Как показывает практика, наиболее часто речь идет о двух болезнях: эндометриозе и эндометрите. Именно они обуславливают процесс кальцификации. Последний является явным рекордсменом.
Среди признаков развивающегося или развитого воспаления слизистой оболочки матки:
- Боли в нижней части живота различной интенсивности. Как правило, они тянущие, ноющие, стреляющие при осложненном процессе. Сила дискомфорта зависит от агрессивности основного возбудителя, состояния иммунной системы пациентки, локализации поражения. Неприятные ощущения отдают в паховую область, ноги, живот на несколько пальцев выше лобка (в проекции матки), поясницу.
- Выделения кровянистого характера с неприятным запахом. Экссудат может быть и гнойным в чистом виде, что встречается сравнительно редко. Обычно это выделения цвета мясных помоев с резким гнилостным «ароматом». Они обильны по своему характеру.
- Нарушения менструального цикла вплоть до задержек в несколько дней (до недели). Это ненормальная ситуация.
- Повышение температуры тела до фебрильных отметок и выше. При хронической форме недуга речь идет о сравнительно легкой гипертермии.
- Симптомы общей интоксикации. Головные боли, головокружения, тошнота, рвота и более выраженные проявления.
- Нарушения репродуктивной функции женского организма. Фертильность снижается, но не исключается.
Обычно кальцинаты развиваются при длительно текущем хроническом эндометрите, потому клиническая картина смазана. Необходима срочная консультация специалиста.
Диагностировать кальцинат должен врач-гинеколог, но не это главная задача. Первостепенная роль отводится выявлению основной причины, повлекшей отложение солей. Как правило, это эндометрит, но не всегда. Требуется тщательное обследование.
На первичном приеме важно собрать индивидуальный и семейный анамнез, дабы специалист представлял, с чем имеет дело. Необходимо опросить больную на предмет жалоб, их давности и характера.
В дальнейшем проводится бимануальное исследование, осмотр половых ходов с помощью зеркал. Требуются и такие манипуляции:
- Общий анализ крови. Дает классическую картину воспаления с повышением лейкоцитов, высокой скоростью оседания эритроцитов.
- Биохимическое исследование венозной крови.
- Ультразвуковое исследование органов малого таза и в первую очередь самой матки. Требуется во всех случаях.
- Рентгенография органов малого таза. В некоторых случаях кальцифирцируются злокачественные и доброкачественные неоплазии.
- ПЦР, ИФА-диагностика для выявления основного возбудителя заболевания, если оно имеет инфекционный характер. Как правило, имеет.
- Мазок из влагалища и цервикального канала.
- Бактериологический посев биоматериала на питательные среды.
Этих обследований достаточно для выявления первопричины кальцификации. В исключительных случаях может потребоваться МРТ или КТ.
Кальцинаты лечению не подлежат. Требуется терапия основного заболевания. Кальцинаты в шейке матки и матке, что это такое? Кальцинат — не болезнь, но указание на патологический процесс. Как только он обнаружен — нужно «копать глубже». Участки отложения солей не склонны и прогрессированию, потому с ними можно нормально жить.
При нахождении соответствующих образований во время проведения УЗИ женщинам по понятным причинам становится очень интересно: кальцинаты в матке, что это такое, является ли это диагнозом, насколько опасно. Гинеколог в большинстве случаев скажет, что само по себе данное состояние не является болезнью. Это следствие заболевания, хронических воспалительных процессов. Часто кальцинаты образуются на месте получения травм, например, после осложнений, возникших в связи с тяжёлыми родами. Иногда их путают с полипами, поэтому здесь принципиально важен правильно поставленный диагноз.
Кальцинаты представляют собой отложение солей кальция, локализированное в конкретной части матки. Может появляться на месте образования фиброматозных узлов, более определённые сведения можно будет узнать после сделанной гистероскопии. При ультразвуковом обследовании допустимо только с некоторой долей вероятности утверждать, что речь в данном случае идёт именно об кальцинате.
Соли кальция содержатся в организме в растворённом виде. Это совершенно нормально, поскольку данный микроминерал принимает непосредственное участие во многих реакциях, он необходим для осуществления нормального обменного процесса внутри. Учёные даже предполагают, что раньше люди употребляли данного вещества в три раза больше. Достаточное количество кальция позволяет не страдать от хрупкости костей, обеспечивает здоровье зубов, положительно влияет на состав крови, общее самочувствие.
Однако избыток солей кальция приводит к такому заболеванию как кальциноз.
Речь идёт об обызвествлении, происходящим в мягких тканях организма. Появление соответствующих отложений внутри матки является частным проявлением указанного процесса. Также переизбыток обсуждаемого вещества может закончиться проблемами с суставами, образованием камней в почках, мочевом пузыре. При кальцинозе почки страдают чаще всего. Поэтому обнаружение отложений в матке должно стать причиной визита к нефрологу для проверки состояния мочеполовой системы.
Необходимо отметить, что большинство учёных не могут выработать общую точку зрения на кальцинаты в матке. Одни убеждены, что данный симптом является достаточно тревожным, способен свидетельствовать о серьёзной скрытой патологии внутри организма. Другие полагают, что опасность подобных отложений многократно преувеличена, приводят в качестве подтверждения своего мнения статистику, свидетельствующую о многочисленных случаях благополучных родов с указанным отклонением.
Поэтому не стоит удивляться, столкнувшись с совершенно противоположными мнениями. Один гинеколог может посоветовать ничего не предпринимать, другой – рекомендовать препараты, которые позволят стабилизировать количество кальция в крови. Отдельная группа учёных предлагает при обнаружении кальцинатов в мягких тканях организма добиваться специально нехватки соответствующих солей. После этого тело может «потянуться» за восполнением, благодаря чему произойдёт самостоятельное рассасывание новообразований без дополнительного приложения усилий.
Однако с подобной практикой не согласна другая группа медиков. Они указывают на слабую контролируемость процесса. Трудно сказать, будет ли вызвана подобная реакция, в какие конкретно сроки. Нехватка одного из важнейших составляющих нормального обменного процесса способна серьёзно сказаться на общем самочувствии. Как нетрудно догадаться – далеко не в сторону улучшения. Если к кальцинатам в матке добавляются другие проблемы со здоровьем, например, пониженный иммунный статус, воспалительные процессы, то подобные эксперименты могут привести только к общему ухудшению. Поэтому являются нежелательными.
Достаточно разумным представляется вариант решения проблемы, при котором женщине предлагается провести комплексное обследование. Если имеется какая-то скрытая патология, хроническое гинекологическое заболевание, решившее дать о себе знать подобным образом, его необходимо выявить и работать с первопричиной. В любом случае, хуже от общей нормализации совершенно точно не будет.
Берётся также анализ крови, изучается общее количество кальция. Нередко корректируется диета в сторону увеличения натрия (особенно при его нехватке), уменьшения количества продуктов, содержащих первый микроминерал. Благодаря достижению подобного баланса можно предотвратить появление дальнейших новообразований.
Лечение может варьироваться в зависимости от возраста женщины, её общего состояния, того, планирует ли она рожать ребёнка в дальнейшем.
Матка беременной женщины претерпевает определённые трансформации. Она должна растягиваться благодаря естественной гибкости. Однако кальцинаты лишают мягкие ткани подобной возможности, любое изменение размеров происходит травмирующим образом, вызывает сильные боли, иногда может открыться кровотечение. По этой причине женщине желательно удалить сначала кальцинаты перед запланированной беременностью.
Хирургическое вмешательство допускается редко, при слабой выраженности проблемы образования могут быть удалены при выскабливании (чистке). Однако стоит именно в виду, что последняя названная процедура также способна провоцировать дальнейшее появление кальцинатов. Поэтому здесь следует быть осторожной.
Профилактика кальциноза в отношении матки может выражаться в здоровом, полноценном, сбалансированном питании. Никто не будет спорить: творог – действительно питательная еда, как и многие другие продукты, содержащие в себе кальций.
Однако злоупотребление любой пищей способно только нарушить естественный баланс, привести к усилению существующих проблем. Также стоит своевременно лечить любые заболевания, стараться избегать запускания патологий.
Хронические болезни опасны тем, что женщина нередко к ним привыкает, начинает воспринимать как естественную часть своей жизни. А это – совершенно не так, патология является сильным отклонением, с ней необходимо работать.
Нередко после прохождения ультразвукового исследования пациентке сообщают, что в ее матке есть кальцинаты. Любое новообразование воспринимается как опасная болезнь, поэтому возникает логичный вопрос о том, что это такое, чем опасны такие образования, и как их лечить.
Это не заболевание, это следствие патологического процесса в основном детородном органе матки. Само это явление представляет собой локализацию солей кальция в определенной маточной области. Отметим, что кальцинаты могут возникать не только в этом органе, но и других органах, например, в печени. Таким образом, кальцинат – это не только гинекологическое заболевание, это патологический процесс, возникающий по причине нарушения нормального функционирования конкретного органа.
Такие образования хорошо видны при ультразвуковом исследовании, МРТ. Но во время УЗИ не видны ткани, из которых состоит образование, поэтому о наличии кальцината можно только предположить. Такая ситуация требует дополнительного обследования женщины, чтобы исключить заболевания гораздо серьезнее, чем наличие отложений солей кальция.
Соли этого микроэлемента находятся в нашем организме, и это нормально. Кальций участвует в обменном процессе внутри клеток, насыщает определенные ткани и так далее. Если его не хватает в женском организме, возникают такие явления, как выпадение волос, ломкость костей, разрушение зубов, нарушение функционирования организма. Наличие в организме чрезмерного количества этого микроэлемента также приводит к патологиям, например, задержка мочи, отложение в разных органах.
Что такое кальцинаты в матке, и в чем их причина? Ответ прост: отложения кальция в матке возникают по причине перенесенного воспалительного заболевания этого органа. Таким образом, организм защищается, перерождая хронически пораженные ткани в кальциевые отложения, препятствуя распространению патологического процесса дальше.
Причиной возникновения кальцината часто служит воспаление в матке
Распространенным методом диагностики является ультразвуковое исследование детородного органа. Гинекологи предлагают трансабдоминальное УЗИ, которое позволяет исследовать патологии органа с помощью датчиков, которые врач водит по животу пациентки.
Также специалист может предложить дополнительные методы диагностики, если в этом есть необходимость:
- трансвагинальное УЗИ, позволяющее исследовать орган ближе, особенно во время беременности;
- гистерография – исследование органов малого таза с помощью введения контрастного вещества, бывает рентгенологическим и ультразвуковым;
- доплерография;
- трехмерное УЗИ – современный способ диагностики патологий матки, который позволяет в трехмерном измерении увидеть кальцинаты;
- анализ крови на определение общего количества кальция.
Трехмерное УЗИ на сегодняшний день является самым достоверным способом диагностики заболеваний матки, но его цена значительно выше остальных методов.
Опасно ли наличие кальциевых отложений? – вопрос, интересующий всех женщин, у которых они обнаружены. Особенно волнует он женщин, желающих в скором времени забеременеть.
Мы уже поняли, что возникновение таких отложений самостоятельным заболеванием не являются, но свидетельствуют о наличии или результате воспалительного процесса в матке. Для определения состояния женского организма в результате возникновения кальцинатов, необходимо дополнительное обследование. Определить нужно первопричину возникновения таких образований.
Уже после дополнительной диагностики станет понятно, является ли это угрозой для репродуктивного здоровья женщины. Часто на обычном УЗИ кальцинаты в детородном органе путают с полипами. Полипы угрожают женщине постоянными кровотечениями и патологиями беременности.
Матка у будущей мамы должна естественно растягиваться. Но с кальциевыми образованиями она лишена такой возможности, изменения размера этого органа будут сопровождаться болевыми ощущениями. Но также существуют данные о нормальном течении беременности с наличием подобных образований. Каждый случай индивидуален, и должен быть под наблюдением врача.
Для лечения патологии используются все необходимые диагностические методы, так как кальциевые новообразования – это не причина, а следствие. После определения причины гинекологи лечат основное заболевание или его последствия.
Какие меры применяются в лечении этой патологии?
- Хирургическое вмешательство. Проводится крайне редко, так как эти отложения не стоят операционных повреждений тканей репродуктивного органа. Нужно еще учитывать риск кровотечения после операции на матке. Для хирургического вмешательства должны быть четкие показания, когда никакой другой метод уже не эффективен.
- Выскабливание. При такой патологии эта манипуляция эффективна, но после нее кальцинаты могут возникать повторно.
- Сбалансированное питание и своевременное лечение воспалительных процессов в детородном органе – это скорее уже профилактические методы, так как они направлены на предотвращение кальциевых отложений, а не на их удаление.
- Препараты для рассасывания таких образований не применяются. Врач может назначить водяной перец и несколько уколов окситоцина для того, чтобы кальцинат отсоединился от стенки матки, и она своими сокращениями его вытолкнула. Но любое лечение должно проводиться под наблюдением врача.
Кальциевые образования в матке приводят в замешательство женщин, причиняя определенны трудности в функционировании органа. Любые мероприятия по диагностике образований и их удалению или лечению согласовываются с врачом. Нельзя заниматься самолечением, так как кальцинаты на обычном УЗИ можно перепутать с полипами.
Кальцинаты обнаруживаются случайно при проведении ультразвукового обследования. Женщин справедливо волнуют вопросы – что это за состояние, чем обусловлено, насколько оно опасно для здоровья и угрожаемо для наступления беременности, благополучного рождения ребёнка.
Диагноза «Кальцинаты матки» не существует в Международной классификации болезней 10 пересмотра. Иными словами, кальцинаты – не болезнь, а состояние, когда обнаруживаются отложения солей кальция в любом из отделов, слоёв матки или фиброматозном узле.
Различают три слоя матки:
- внутренний — эндометрий;
- средний — мышечный;
- покровную оболочку серозного характера.
Кальцинаты представляют собой скопление солей кальция. Их отложение является результатом ранее протекающего воспаления. В участках тканей, которые подвергались инфекционному процессу, происходит кальцинация, как результат патологического процесса. Иногда в структурах опухолей также обнаруживают кальцинаты, так как ряд обменных реакций в пораженных тканях протекает патологически.
Кальцинаты не сопровождаются клинической картиной. Состояние протекает бессимптомно, не причиняя женщине беспокойства. Обычно кальцификаты располагаются в мышечном слое матки. Могут обнаруживаться в любом отделе матки, передней и задней стенке. Кальцинаты плаценты, которые образуются раньше срока, способны осложнить течение беременности. Как правило, скопление кальция в виде очагов в плаценте считается нормальным в конце гестации, что означает доношенную беременность.
Кальциноз выступает следствием различных заболеваний или нарушений. Различают дистрофическую, метастатическую и метаболическую причины обызвествления тканей.
Патогенез процесса отложения кальцинатов обусловлен:
- нарушением работы эндокринной системы,
- изменениями кислотного состава крови,
- снижением продукции хондроитинсульфата,
- гипервитаминозом Д.
Кальцинаты откладываются в тканях, которые претерпели патологические изменения или перерождения после некротических поражений, в местах скопления рубцовой ткани. Обнаруживаются на месте послеоперационных рубцов, воспалительных процессов, фиброматозных узлов.
Статистика утверждает, что кальциноз у женщин встречается чаще, чем у мужчин. Нарушения обмена кальция свидетельствует о серьёзных патологических процессах организма. У женщин репродуктивного возраста кальцинаты могут осложнять течение беременности в связи с нарушением процесса естественного растяжения этого органа, у беременной приводят к нарушениям поступления в организм плода кислорода и питательных веществ.
Ультразвуковое обследование позволяет случайно выявить образования и предположить наличие кальцинатов. Дифференциальную диагностику проводят с полипами матки.
При кальцинозе женщину беспокоят, как правило, симптомы основного заболевания. Некоторые пациентки жалуются на периодические боли тянущего характера внизу живота.
Врач-гинеколог может уточнить наследственный анамнез – поинтересоваться, наблюдалось ли у матери, бабушки, сестры подобное состояние. Проведёт гинекологический осмотр.
Для окончательного диагноза, возможно, понадобятся следующие исследования:
- определение уровня ионизированного кальция в крови;
- трансвагинальное или трехмерное ультразвуковое обследование;
- рентгенографическое обследование органов малого таза;
Может понадобиться проведение гистеросальпингографии – рентгенологического или ультразвукового обследования с введением в полость матки контрастного вещества или физиологического раствора. Такое исследование позволит определить локализацию, размер отложений.
Если специалист подозревает наличие кальцинатов на фоне воспалительного процесса – эндометрита, женщине, скорее всего, порекомендует сделать общий анализ крови и анализ крови на определение источника воспаления методом полимеразной цепной реакции или иммуноферментного анализа.
Бактериологическое обследование мазка влагалища – посев на патологическую микрофлору и чувствительность к антибиотикам помогут определиться с выбором антибактериального препарата.
Иногда может понадобиться проведение компьютерной или магниторезонансной томографии органов малого таза.
Только после диагностики первопричины кальциноза, специалист назначит лечение. Удалять хирургическим путём отложения солей кальция детородного органа не требуется. Оперативное вмешательство всегда представляет определённый риск, а при кальцинозе послеоперационный рубец, напротив, может спровоцировать отложение солей кальция.
Отдельные интернет-сайты рекомендуют выскабливание как метод удаления кальцинатов. Процедура эффективна при гиперплазии эндометрия, но невозможно «выскоблить» участки солей кальция из мышечного слоя матки.
Возможно, диетолог посоветует употреблять кисломолочные продукты, ограничить шпинат, редис, щавель. Исключение продуктов кальция из рациона не приведёт к рассасыванию участков обызвествления, но увеличит риск остеопороза и переломов. Если избыточное отложение солей кальция связано с гипервитаминозом Д — следует сократить употребление витамина Д. Врач порекомендует рациональное питание, ограничение жирных, острых блюд, увеличение продуктов растительного происхождения.
Лекарства, растворяющие соли кальция, не назначаются. Гинеколог может посоветовать пациентке применение препаратов, улучшающих микроциркуляцию и сократительную способности матки.
При обнаружении отложений солей кальция в других органах – почках, мочевых путях, желчном пузыре – возможно, возникнет необходимость удаления камней оперативным путём. Также целесообразно хирургическое лечение фибромиомы.
Если у женщины диагностируют воспалительные процессы женских половых органов – возникнет вопрос о выборе антибактериального препарата.
При кальцинатах плаценты назначаются препараты, улучшающие проникновение кислорода и питательных веществ к плоду.
Соблюдение режима сна, отдыха, умеренная физическая активность, укрепление иммунитета помогут сохранять хорошее самочувствие и не замечать присутствия кальцинатов матки.
Структура миометрия
Миометрий – это один из слоев матки, который является мышечным и находится в середине оболочки. Его внутренняя сторона покрыта эндометрием. В нормальном состоянии миометрий находится в спокойствии, но при наличии каких-либо факторов воздействия, мышцы начинают сокращаться и приходят к гипертонусу.
Главная роль при родах отводится именно миометрию, потому что благодаря тому, что его мышцы начинают сокращаться, плод проталкивается через родовые пути наружу.
На то, в каком состоянии находится миометрий влияет состояние гормонального фона ( количество эстрогена и окситоцина должны быть в норме).
Три слоя миометрия (слои состоят из гладкомышечных волокон):
- Продольный –состоит из круговых и продольных мышечных волокон.
- Круговой (сосудистый) –включает в себя трубчатые кольца и сосуды.
- Подслизистый – включает в себя продольные волокна, является самым тонким слоем.
Сокращения матки происходят из-за многослойности миометрия. Матка считается здоровой, когда миометрий находится в однородном состоянии.
Изменения при заболеваниях
Патология миометрия изменяется толщиной и размером каждого слоя. Начало менструального цикла характерно 2-3 миллиметровым размером, а середина 14-15 миллиметровым размером.
Также изменения миометрия характерны при эндометриозе или аденомиозе. Во время УЗИ изменения миометрия при эндометриозе могут быть незаметными из-за того, что они, чаще всего, слишком маленькие. Но именно эти изменения приводят к тому, что структура миометрия становится неоднородная.
Одним из главных определяющих параметров на УЗИ, является эхоструктура. Которая при своём нормальном состоянии имеет низкие показатели (при эндометриозе показатели равны 1-5 мм).
Эндомиометрит характерен воспалением передней стенки слизистой и мышечной оболочки матки. Часто эндомиометрит даёт о себе знать достаточно сильными болями, которые вызывают занесенные инфекционные бактерии (обычно после родов или абортов).
Хронический эндомиометрит возникает из-за неправильного лечения. Развивается постепенно. Сначала проникает в стенки эндометрия, а после нарушает мышечный слой. Важно знать, что эндомиометрит развивается только при наличии дефектов на слизистой оболочке матки. Симптомы проявляются в болях в брюшной полости и характерных выделениях. Диагностика эндомиометрита и его хронической формы не вызывает затруднений.
При возникновении миомы и воспалений матки, однородная структура миометрия тоже нарушается. Миома – доброкачественная опухоль и при её возникновении, происходит нарушение эхоструктуры миометрия и начинается кальциноз. Диагностика проводится при помощи внутриматочного УЗИ, либо трехмерной эхографии.
Еще одним заболеванием, при котором нарушается однородность миометрия, является миометрит. Его развитие провоцируют инфекции на слизистой оболочке матки. Симптоматика сопоставима с симптомами эндометриоза.
Неоднородный миометрий
Изменения, которые происходят с миометрием неоднородным с гиперэхогенными включениями, могут спровоцировать появление не только маточных болезней. Неоднородность миометрия на ранних стадиях обычно не проявляет себя какими-либо симптомами, и выявляется только при профилакторном осмотре гинекологом. Но если не успеть выявить нарушения на ранних стадиях, симптомы могут начать себя проявлять с очень неприятной стороны.
Симптомы гетерогенного миометрия:
- Болезненные месячные;
- Боли в брюшной полости;
- Болезненные ощущения при овуляции;
- Кровянистые выделения в середине менструального цикла;
Причины появления:
- Генетическая предрасположенность;
- Травма при родах или кесарево сечение;
- Нарушения внутреннего слоя матки;
- Психоэмоциональные нарушения;
- Сбои в работе щитовидной железы;
Диагностика
В наши дни медицина даёт возможность определить появление диффузных изменений уже при ранних их появлениях, что значительно увеличивает возможности на успешное и быстрое излечение. Главным способом диагностики является УЗИ, на котором определяется нетипичная структура гомогенного миометрия.
Способы проведения УЗИ:
- Перед процедурой, женщина выпивает значительные объемы воды, для того, чтобы её мочевой пузырь был максимально заполнен.
- УЗИ при помощи вагинального датчика не требует приготовления, но может вызывать дискомфорт при глубоком проникновении;
Показания к проведению УЗИ:
- Сбои в менструальном цикле;
- Боли в брюшной полости;
- Бесплодие;
Что выявляет УЗИ?
- Размер матки;
- Положение репродуктивной системы;
- Размер и объём эндометрия;
- Структуру миометрия
Другие методы диагностики:
- Осмотр гинекологом;
- Биохимические анализы крови;
- Бимануальное исследование;
- Проведение процедуры МРТ;

