Дифференциально-диагностический ряд заболеваний белого вещества является очень длинным. Выявленные с помощью МРТ очаги могут отражать нормальные возрастные изменения, но большинство очагов в белом веществе возникают в течение жизни и в результате гипоксии и ишемии.
ПРИ КАКИХ БОЛЕЗНЯХ ВОЗНИКАЮТ ОЧАГИ
В БЕЛОМ ВЕЩЕСТВЕ?
Очаговые изменения сосудистого генеза
- Атеросклероз
- Гипергомоцистеинемия
- Амилоидная ангиопатия
- Диабетическая микроангиопатия
- Гипертония
- Мигрень
Воспалительные заболевания
- Рассеянный склероз
- Васкулиты: системная красная волчанка, болезнь Бехчета, болезнь Шегрена
- Саркоидоз
- Воспалительные заболевания кишечника (болезнь Крона, язвенный колит, целиакия)
Заболевания инфекционной природы
- ВИЧ, сифилис, боррелиоз (болезнь Лайма)
- Прогрессирующая мультифокальная лейконцефалопатия
- Острый рассеянный (диссеминированный) энцефаломиелит (ОДЭМ)
Интоксикации и метаболические расстройства
- Отравление угарным газом, дефицит витамина B12
- Центральный понтинный миелинолиз
Травматические процессы
- Связанные с лучевой терапией
- Постконтузионные очаги
Врожденные заболевания
- Обусловленные нарушением метаболизма (имеют симметричный характер, требуют дифференциальной диагностики с токсическими энцефалопатиями)
Могут наблюдаться в норме
- Перивентрикулярный лейкоареоз, 1 степень по шкале Fazekas
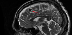
МРТ ГОЛОВНОГО МОЗГА: МНОЖЕСТВЕННЫЕ ОЧАГОВЫЕ ИЗМЕНЕНИЯ
Глиоз мозгового вещества – это сложный патологический и морфофизический процесс, формирующийся в тканях мозга под действием некоторых травмирующих этиологических факторов. В основе его лежит массивное разрастание на месте травмы (где погибло определенное количество нейронов) рубца, который называется нейроглией.
Нейроглия – дополнительный тканевый компонент головного мозга человека, составляющий в норме до 30% от веса мозговой ткани. Нейроглия защищает от повреждений вещество мозга, отграничивает его от патогенных микроорганизмов, секретирует полезные вещества и активно участвует в обменных процессах.
Когда происходит травматическое или инфекционное повреждение клеток мозга в каком-либо его участке, увеличение количества нейроглии является адаптационным механизмом к произошедшим изменениям. На месте мертвых нейронов должна сформироваться рубцовая ткань, но нейроглия отграничивает ее, становясь в своем роде биологическим проводником. К сожалению, она не может функционировать подобно нормальной нервной ткани, за счет чего и возникают основные проблемы, которые видно на МРТ.
Проявление клинической картины при недуге:
- Резкие перепады артериального давления. Утром цифры АД находятся ниже нормы, но в течение дня формируется устойчивая артериальная гипертензия второй или третьей степени.
- Мучительные головные боли и головокружения. Иногда встречается картина мигренозной боли с тошнотой, рвотой и светобоязнью.
- Хроническая усталость. Необъяснимые приступы переутомления и потери сил, которые возникают даже после продолжительного отдыха в спокойной среде.
- Нарушения кратковременной и долговременной памяти. Пациент не может вспомнить, что он делал прошлым вечером и как провел предыдущее лето.
- Изменения координации. Частые падения, удары и большое количество синяков свидетельствует о том, что у больного имеются выраженные расстройства мозжечка.
- Судорожные и эпилептические припадки. При наличии достаточно большого очага возможно появление неврологических симптомов.
- Нарушения речи, письма и словообразования. Эта патология связана с формированием в мозге очага в зоне устной и письменной речи.
- Галлюцинации. Слуховые, звуковые и даже обонятельные галлюцинации могут послужить первым признаком наступления болезни.
- Нарушения поведения. Апатия, депрессивность или избыточная агрессия выступают в качестве неопровержимых свидетелей при заболеваниях мозга различного генеза.
Виды заболевания
Некротические клетки начинают постепенно погибать под давлением растущей нейроглии. После этого формируются островки глиоза различной формы, размера и местоположения. Выделяют несколько типов патологического процесса:
- Очаг сосудистого изменения, иначе именуемый периваскулярным участком. Нейроглия формирует островки, видимые на пленках КТ, вокруг атеросклеротических измененных сосудов мозга, вызывая еще большее их сдавление.
- Внутрижелудочковая форма. Очаги изменения возникают на внутренней поверхности желудочков мозга, за счет чего значительно уменьшается их объем и количество спинномозговой жидкости (такое изменение четко видно на МРТ).
- Краевая форма. Единичные простые очаги нейроглии возникают в наружной части мозговой ткани: повреждение считается одним из самых легких, потому что не затрагивает центральный участок.
- Распространенный глиоз представляет собой массивные очаговые поражения тканей. На МРТ такая картина выглядит подобно пятнистому полю.
- Волокнистые изменения. Глиозные очаги обычно заполнены волокнами самых разных размеров и длины.
- Анизоморфные очаги. Характеризуются хаотичным расположением нейроглии, более гиподенсивные.
- Внутриоболочечная форма. Такое поражение является наиболее сложно диагностируемым вариантом по МРТ. Измененные участки расположены под внутренними мозговыми оболочками.
Очаги глиоза
При легких патологических процессах не происходит нарушения функций мозга. Все очаговые изменения на МРТ можно разделить на две группы по их отображению на пленке:
- Гиперинтенсивные. Имеют более четкую и выраженную структуру, хорошо окрашиваются.
- Гиподенсные. Плохо поддаются окрашиванию, не структурированы, встречаются реже, чем гиперинтенсивные.
По количеству патологических участков очаги также можно подразделить на:
- единичные мозговые очаги, которые показывает МРТ картина;
- множественные изменения на КТ.
Единичные образования
Единичные очаги распространены в популяции гораздо больше. Их можно встретить у младенцев как последствия недавней родовой травмы или у пожилых людей как результат возрастной дегенерации мозговой ткани. Такой процесс является вполне естественным и встречается на 60% снимков МРТ белого вещества у людей старше восьмидесяти лет.
Обычно такие поражения становятся случайной находкой во время скрининга, потому что не доставляют пациентам каких-либо выраженных неудобств. Однако, находясь в области левой лобной доли, они могут вызвать некоторые галлюцинации. Это объясняется тем, что в той доле располагаются важнейшие центры глубоких чувств и ощущений. Это поражение не имеет тенденции к разрастанию и не представляет большой угрозы при хронических заболеваниях.
Множественные очаги
Встречаемость множественного поражения гораздо ниже, чем единичного очага глиоза. При многих заболеваниях центральной нервной системы (в особенности белого вещества), кровеносных сосудов и соединительных тканей может возникнуть данная патология. Чаще всего источником поражений такого генеза становятся инсульты, инфаркты или атеросклерозы. Нередко возникает подобная картина при черепно-мозговой травме.
При легких травмах головы размеры повреждений не превышают нескольких миллиметров, что не может существенно отразиться на мыслительных функциях. На КТ можно увидеть даже самые мелкие участки с измененной структурой.
При каких заболеваниях появляются очаги в белом веществе?
Возникновение подобного состояния обычно считают мультифакторым. Окружающая среда, вредные привычки, отягощенный семейный, генетический и инфекционный анамнез также играют значительную роль в формировании патологии. Предрасполагающие факторы:
- наличие у родственников заболеваний нервной системы;
- работа на химическом или физическом производстве;
- занятие опасными и экстремальными видами спорта;
- злоупотребление алкоголем и никотином;
- прием наркотических веществ в течение длительного времени;
- нарушения питания: избыток жареной, жирной и соленой пищи;
- генетическая предрасположенность к возникновению обменных сбоев.
Причины глиоза тканей:
- трофические нарушения и болезни обмена веществ, связанные с отложением патогенных частиц в мозге;
- менингит и менингоэнцефалит;
- туберкулезное поражение мозга;
- эпилепсия и эпилептический статус;
- патологии сосудистого пучка;
- врожденные аномалии развития;
- инфекционно-токсическое поражение тканей;
- повреждение в процессе рождения (ишемия и гипоксия плода);
- паразитарная инвазия любого генеза;
- черепно-мозговая травма любой давности (ушиб, сотрясение, гематома);
- инсульт и инфаркт головного мозга;
- гипертоническая болезнь или симптоматическая артериальная гипертензия, которая существует более десяти лет.
Очаговые изменения сосудистого происхождения
Расстройство кровообращения в мозговых сосудах, вазогенные врожденные изменения сосудистой стенки, которые могут привести к развитию атеросклероза, диагностируют еще на первом этапе любого морфологического исследования.
Данная патология имеет свою клиническую симптоматику, описание которой изложено здесь:
- Нарушения ритма пульсовой волны, иначе именуемое аритмией. Пульс становится более интенсивным, нарушается частота сердечных сокращений, формируется более упругая и твердая пульсовая волна, что характерно для начальной стадии болезни.
- Регулярный подъем артериального давления (как систолического, так и диастолического) на 40-50 миллиметров ртутного столба выше установленной в медицинских рекомендациях нормы. Это может вызвать носовые кровотечения.
- Обмороки и синкопальные состояния. Чаще всего их наблюдают в период полного разгара болезни.
- Слабость нижних и верхних конечностей. Руки теряют возможность плотно удерживать предметы, ноги начинают подгибаться в неподходящих ситуациях, что может нанести серьезный ущерб здоровью и жизни.
- Невозможность усвоения привычного количества информации. В результате сосудистой патологии страдает память, концентрация внимания и способность запоминать большие объемы текста.
Помимо этого, в ходе исследования может быть выявлена одна немаловажная деталь – причина патологических изменений, что дает большую надежду на остановку прогрессирования. Не глядя на то, что необратимые изменения, происходящие после гибели нейронов и замещения их глиальными клетками, уже не оставляют шансов полностью вылечить данную патологию, отказываться от всяких мер воздействия и опускать руки недопустимо. Если лечение, начатое с целью ликвидации первопричины (основного заболевания) будет достаточно эффективным, то дальнейшее развитие глиозного замещения, скорее всего, приостановится.
Создать препятствия для прогрессирования
Цель лечения – создать препятствия для прогрессирования, а это: сохранение оставшихся нейронов, обеспечение нормального питания тканей мозга, ликвидация гипоксии, поддержание процессов метаболизма на нормальном уровне.
Что касается радикального (нейрохирургического) вмешательства, то оно применяется крайне редко. Например, в случаях, когда единичный крупный очаг глиоза формирует повышенную судорожную готовность головного мозга (определенные формы эпилепсии). Множественные участки глиозного разрастания неподвластны ни искусным рукам хирурга, ни передовым технологиям, поэтому больному до конца дней своих остается надеяться только на консервативную терапию.
Несколько слов о предупреждении глиоза
Людям, которые что-то слышали о глиозе мозга и боятся его развития у себя, хотелось бы посоветовать заняться профилактикой данной патологии. Например, своевременно лечить инфекции вирусной и бактериальной природы, не затягивая болезнь и не допуская перемещения ее в головной мозг. Кроме этого, всем известно, какой вред нашему организму приносит атеросклеротический процесс, и какое место среди других заболеваний он занимает. Вот и в развитии глиозного замещения нейронов атеросклероз принимает самое активное участие, формируя глиоз сосудистого генеза.
Стало быть, все факторы, которые приводят к изменению сосудистых стенок, отложению атеросклеротических бляшек, должны быть навсегда отодвинуты и забыты. Это – отказ от вредных привычек (алкоголь, наркотики, курение), диета, исключающая или хотя бы резко ограничивающая употребление жиров животного происхождения, занятия физкультурой, активный отдых на свежем воздухе, полноценный сон, повышение иммунной защиты и… философское отношение к стрессовым ситуациям.



