Глиоз не является самостоятельным заболеванием. Суть его в изменении нормальных морфологических свойств вещества головного мозга. Таким образом, глиоз головного мозга является симптомом, возникающим при некоторых неврологических заболеваниях. Процесс этот носит деструктивный характер — то есть нарушается нормальная структура органа.
При глиозе часть вещества головного мозга, подвергшегося атрофии при определенных обстоятельствах, замещается клетками особой соединительной ткани. Этот процесс можно сравнить с рубцеванием кожных повреждений — на месте глубокой раны появляется грубый рубец из соединительной ткани. То же наблюдается и в головном мозге при глиозе. Только вместо соединительной ткани там разрастаются клетки нейроглии.
Это такое состояние, которое на начальных стадиях предупреждает дальнейшее повреждение клеток мозга, что является защитным механизмом. Однако очаги глиоза в белом веществе мозга могут увеличиваться и это приводит к нарушению нормального функционирования ЦНС, поскольку происходит атрофия нейронов. Страдать им могут и дети, и взрослые.
Причины его возникновения
Основная причина формирования глиозных изменений — гибель нейронов и их отростков. При этом включается компенсаторный механизм и пустоты, возникающие в мозговой ткани, заполняются клетками внутренней нейроглии.
Гибель нейронов может возникать в результате различных процессов:
- Генетически обусловленные заболевания или хромосомные повреждения — частая причина глиоза у ребенка;
- Такое неврологическое заболевание, как рассеянный склероз — относится к группе демиелинизирующих патологий;
- Алкогольный глиоз может возникать у лиц, длительное время употребляющих алкоголь и его суррогаты;
- Воспалительный процесс в веществе головного мозга (энцефалит) — чаще это инфекционное происхождение;
- Плохое кровоснабжение головного мозга — причина появления глиоза сосудистого генеза;
- Последствие гипертонической болезни — энцефалопатия;
- Внутриутробная и перинатальная гипоксия — кислородное голодание мозга плода во время беременности и родов;
- ЧМТ открытого и закрытого типа;
- Паразитарные повреждения головного мозга.
Причин для возникновения глиоза головного мозга много. Он может появляться в любом возрасте. Так же глиоз головного мозга может формироваться в результате физиологической гибели нейронов — в процессе старения организма.
Классификация
Так как глиозные изменения головного мозга могут возникать в любом участке вещества мозга, выделяют разные формы этого патологического процесса.
- Преобладание в глиозном разрастании клеточных элементов говорит об анизоморфном типе.
- Если преобладают наоборот, волокна глии — формируется волокнистый тип глиоза.
- О краевом типе говорят, если патологические изменения обнаруживаются только под оболочками мозга.
- Очаговый тип наблюдается, если зона патологии занимает небольшой отграниченный участок вещества мозга и у нее имеется капсула;
- Противоположный ему диффузный процесс охватывает весь мозг — белое вещество при этом кистозно изменено;
- Периваскулярный тип характеризуется патологическими изменениями вокруг сосудов.
- Перивентрикулярный тип — глиоз расположен вокруг желудочков мозга.
Как проявляется
В некоторых случаях этот процесс может никаким образом не проявляться. Это бывает достаточно редко — когда разрастание очагов глиоза в белом веществе головного мозга не захватывает функционально активные участки.
Ещё один вариант — появление неспецифических симптомов — к ним относятся следующие:
- Постоянные головные боли, сопровождающиеся лабильность артериального давления, перед приступом боли может возникать аура, напоминающая мигренозную;
- Головокружение и нарастающая усталость, возникающие несмотря на полноценный отдых;
- Ослабление памяти и расстройства координации.
Такое может наблюдаться при единичных и небольших очагах глиоза. Когда очаги распространяются и увеличиваются, появляются более специфические симптомы:
- при локализации очага в лобных долях отмечается нарушение речи и проблемы с психикой;
- поражение теменной доли приводит к невозможности совершать точные движения;
- при патологическом процессе в височных долях будет наблюдаться нарушение речи и вестибулярные расстройства;
- очаг в затылочной области проявляется различными зрительными нарушениями.
Дальнейшее прогрессирование заболевания приводит к возникновению приступов эпилепсии.
Следующий отдельный вариант проявления — симптомы основного заболевания, послужившего причиной возникновения очагов глиоза в головном мозге. При этом сам симптом себя не проявляет — все признаки относятся к основному заболеванию и при его лечении исчезают. Но если основное заболевание не лечить, участки глиоза головного мозга будут увеличиваться.
- При ЧМТ будут наблюдаться очаговые и общемозговые симптомы разной степени выраженности. Их характер будет зависеть от того, при каких условиях была получена черепно-мозговая травма и какой участок она повредила.
- При формировании супратенториальных очагов глиоза — в области мозжечка — будет страдать координация движений и походка.
- При глиозе сосудистого генеза на первый план выходят симптомы энцефалопатии. Также может поражаться обонятельный тракт, что будет проявляться неправильным ощущением запахов.
- Последствия демиелинизирующих заболеваний приводят к потере чувствительной и двигательной функций.
Если очаг глиоза является последствием старения организма, будут наблюдаться типичные признаки старческой деменции:
- Потеря памяти;
- Изменения в эмоциональной сфере — это возникает при поражении коры правой лобной доли;
- Нарушения психики;
- Нарушения двигательной функции.
Диагностика
Выявляется это состояние чаще всего случайно — при обследовании по поводу других неврологических заболеваний.
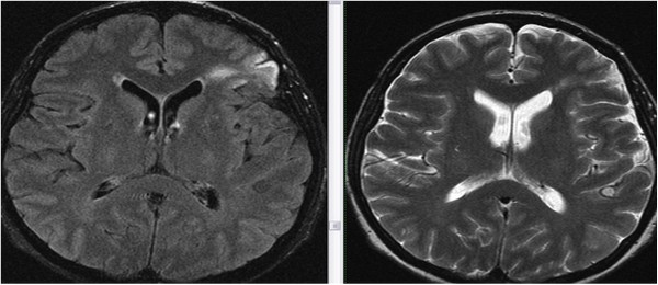
Основной метод, позволяющий обнаружить глиоз головного мозга — нейровизуализация.
Для этого используется компьютерная и магнитно-резонансная томография. При этом в участках белого вещества будут наблюдаться затемнения.
С помощью пункции амниотического пузыря и последующего исследования полученной жидкости можно предположить наличие врожденного глиоза.
Необходимое лечение
На сегодняшний день эффективного лечения, позволяющего восстановить нейроны, нет. Вся терапия глиоза направлена на замедление расширения этих очагов. Осуществляется это лечением основного заболевания.
При ЧМТ лечение осуществляется в условиях реанимационного отделения. Терапия направлена на сохранение функциональности нейронов.
Сосудистые патологии лечатся медикаментозными средствами, направленными на восстановление нормального кровотока.
Инфекционные повреждения требуют лечения противовирусными или антибактериальными препаратами.
Даже выраженный глиоз не лечится хирургическим путём. Любая операция — это повреждение, которое и является причиной патологии.
Лечение требует также соблюдения особой диеты. Самое главное, что требуется от человека — полностью исключить продукты, содержащие жиры. Считается, что прогрессирование патологического разрастания глии ускоряет нарушенный жировой обмен. Поэтому человеку приходится переходить на безжировую диету и подсчитывать количество калорий в пище.
Прогноз
Патология носит прогрессирующий характер. Даже незначительный очаг может увеличиваться до больших размеров. К летальному исходу это заболевание не приводит, но может нарушить социальную адаптированность человека.
Помимо этого, в ходе исследования может быть выявлена одна немаловажная деталь – причина патологических изменений, что дает большую надежду на остановку прогрессирования. Не глядя на то, что необратимые изменения, происходящие после гибели нейронов и замещения их глиальными клетками, уже не оставляют шансов полностью вылечить данную патологию, отказываться от всяких мер воздействия и опускать руки недопустимо. Если лечение, начатое с целью ликвидации первопричины (основного заболевания) будет достаточно эффективным, то дальнейшее развитие глиозного замещения, скорее всего, приостановится.
Создать препятствия для прогрессирования
Цель лечения – создать препятствия для прогрессирования, а это: сохранение оставшихся нейронов, обеспечение нормального питания тканей мозга, ликвидация гипоксии, поддержание процессов метаболизма на нормальном уровне.
Что касается радикального (нейрохирургического) вмешательства, то оно применяется крайне редко. Например, в случаях, когда единичный крупный очаг глиоза формирует повышенную судорожную готовность головного мозга (определенные формы эпилепсии). Множественные участки глиозного разрастания неподвластны ни искусным рукам хирурга, ни передовым технологиям, поэтому больному до конца дней своих остается надеяться только на консервативную терапию.
Несколько слов о предупреждении глиоза
Людям, которые что-то слышали о глиозе мозга и боятся его развития у себя, хотелось бы посоветовать заняться профилактикой данной патологии. Например, своевременно лечить инфекции вирусной и бактериальной природы, не затягивая болезнь и не допуская перемещения ее в головной мозг. Кроме этого, всем известно, какой вред нашему организму приносит атеросклеротический процесс, и какое место среди других заболеваний он занимает. Вот и в развитии глиозного замещения нейронов атеросклероз принимает самое активное участие, формируя глиоз сосудистого генеза.
Стало быть, все факторы, которые приводят к изменению сосудистых стенок, отложению атеросклеротических бляшек, должны быть навсегда отодвинуты и забыты. Это – отказ от вредных привычек (алкоголь, наркотики, курение), диета, исключающая или хотя бы резко ограничивающая употребление жиров животного происхождения, занятия физкультурой, активный отдых на свежем воздухе, полноценный сон, повышение иммунной защиты и… философское отношение к стрессовым ситуациям.
Клиническая картина
Центральная нервная система включает в себя три вида клеток:
- нейроны – функциональные клетки, осуществляющие передачу сигнала;
- эпендимы – клетки, выстилающие желудочки головного мозга, они же составляют центральный канал спинного мозга;
- нейроглии – вспомогательные клетки, обеспечивающие процессы метаболизма: трофическую, опорную, секреторную и прочие функции. Нейроглии в 10–15 раз меньше, чем нейроны, количество их превышает количество нервных клеток в 10–50 раз, и составляют около 40% массы.
При повреждении функциональной нервной ткани, место погибших нейронов – очаг, занимают нейроглии. Такое замещение обеспечивает протекание обменных процессов даже в случае гибели нервных клеток. Глии образуют своеобразную рубцовую ткань.
Появление их совершенно явно вторично, так как гибель клеток уже произошла, очаг глиоза лишь указывает на место поражения. Лечение невозможно.
Сам процесс заполнения глиями нельзя назвать губительным, какими бы ни были причины. Очаги повреждения нейронов в белом веществе не могут оставаться незаполненными, ведь тогда нарушается процесс обмена веществ в мозгу.
Глии, заполняя пространство, обеспечивают течение нормальных метаболических процессов, но выполнять нейрорегуляторные функции клетки не могут.
Разновидности глиоза
Очаги поражения нейронов ведут к ухудшению функциональности центральной нервной системы. Лечить их, как уже упоминалось, нет возможности, так как восстановить погибшую нейронную ткань нельзя. Удалять очаг скопления глий тоже недопустимо, поскольку он выполняет заместительные функции.
Как правило, поражение имеет определенный участок локализации – очаг, хотя и не всегда.
По месту концентрации и форме изменения глиоз головного мозга может классифицироваться на следующие группы:
- Анизоморфная форма – клеточная структура глий преобладает над волокнистой. Разрастание хаотичное.
- Волокнистая форма – преобладает волокнистая структура, признаки преобладания ярко выражены.
- Диффузная – отсутствуют очаги поражения, изменения тканей наблюдаются не только в головном мозге, но и в спинном. Такая картина характерна для диффузных патологических заболеваний, например, ишемии мозга. Лечение, очевидно, нужно начинать с устранения основного заболевания.
- Очаговый – имеет четко ограниченный участок – очаг. Обычно, оказывается результатом воспалительного процесса, приведшего к гибели нейронов. Здесь лечение бесполезно.
- Краевой – очаги поражения размещаются в основном на поверхности мозга, под оболочкой
- Периваскулярный – глии окружают склерозированные кровеносные сосуды. Такие изменения часто наблюдаются при системных васкулитах. Чтобы предупредить развитие болезни, необходимо лечить склероз прежде всего.
- Субэпендимальный – очаг поражения локализуется в субэпендимии – желудочке мозга.
Размеры глиоза являются величиной физической и поддаются исчислению. Она равна увеличению клеток нейроглии по отношению количеству нормальных действующих нейронов в единице объема. Чем больше очаг поражения и чем меньше он локализован, тем более затруднена работа ЦНС.
Симптомы заболевания
Глиоз головного мозга, не будучи отдельным заболеванием, не имеет никаких характерных симптомов. Все расстройства, связанные с нарушениями в работе ЦНС присущи множеству других недугов.
Причины недуга могут быть разными, но проявление, если оно есть, примерно одинаково:
- постоянные головные боли, лечение с помощью стандартных, снимающих спазмы препаратов никакого эффекта не дает;
- перепады артериального давления – не специфичны;
- постоянные головокружения, общая слабость или чрезмерная утомляемость. Причины состояния возможны разные, но на фоне ухудшения памяти должны вызывать беспокойство;
- ухудшение координации движений. Причина симптома связана с замещением глиями поврежденной нервной ткани и, соответственно, плохой передачей сигнала;
- ухудшение памяти, заметное снижение мнестических функций. Причина та же – нехватка функциональной нервной ткани. Лечение в этом случае бесполезно.
Иногда заболевание провоцирует судорожные припадки. Как правило, причиной является крупный очаг.
Иначе проявляется заболевание у маленьких детей. Причина замещения нервной ткани глиями связана с какими-либо врожденными патологиями. То есть, сначала в результате болезни гибнут нервные клетки, а затем пораженный участок заполняется глиями.
Например, болезнь Тея-Сакса, в результате которой наблюдается развитие глиоза проявляется на 4–5 месяце жизни ребенка. Симптомы указывают на нарушения в работе ЦНС: регресс физического и умственного развития, потеря слуха и зрения, затруднения с глотанием, судороги. Прогнозы в этом случае крайне пессимистичны, а лечение не дает результатов.
Такого рода врожденные патологии связаны с нарушениями жирового обмена. Обнаружить их можно, если провести анализ амниотической жидкости на 18–20 неделе беременности. Если у плода обнаруживается такое нарушение, то беременность рекомендуется прервать. Лечение невозможно.
Причины заболевания
Причины глиоза, а, вернее говоря, начального заболевания, приведшего к изменениям в веществе мозга, таковы:
- рассеянный склероз;
- туберкулез;
- энцефалит;
- ишемические болезни головного мозга;
- наследственные нарушения жирового обмена;
- инфекционные болезни, характеризующиеся созданием воспалительного очага;
- черепно-мозговые травмы.
Важно различать лечение болезни и предупреждение. Восстановить погибшую нервную ткань, конечно, нельзя, но важно предупредить дальнейшее разрастание образования, аи таким образом лечить недуг.
Диагностика и лечение
Диагностировать нарушения с достаточной точностью может лишь магнитно-резонансная томография.
Метод позволяет четко определить объем изменения и его локализацию, а, значит, уточнить или установить настоящие причины поражения, так как локализация очагов в отличие от симптомов специфична.
Лечить необходимо первичный недуг. Лечение глиоза является лишь предупреждением патологического распространения.
- Для этого необходимо соблюдать некоторые рекомендации.
- Отказ от жирной пищи. Патологическое распространение глий связано с нарушениями жирового обмена. Даже если такого наследственного заболевания нет, но очаг глиоза уже возник, чрезмерное потребление жиров будет способствовать разрастанию нефункциональных клеток. Полный отказ от жиров недопустим, но количество их должно быть минимальным.
- Здоровый образ жизни – соблюдение простых правил питания и режим физической активности позволяет предупредить большинство расстройств ЦНС и изменений в процессах обмена.
- Регулярное обследование снижает риск появления заболеваний, провоцирующих глиоз.
Замена погибших нервных клеток глиями – процесс совершенно естественный, обеспечивающий дальнейшую работу мозгу при не смертельных повреждениях. Однако само появление очагов глиоза свидетельствует о других болезнях, угрожающих состоянию центральной нервной системы.
Симптомы глиозных изменений
Немногочисленные очаги скопления глий не влияют на самочувствие и поведение человека.
Признаки патологии:
- высокое артериальное давление;
- регулярная боль в голове;
- нарушение когнитивных функций – ослабление концентрации внимания, памяти;
- нарушение чувства равновесия;
- снижение зрения, слуха;
- речевые расстройства – замедленная тягучая или ускоренная речь;
- расстройства движения;
- перепады настроения;
- рассеянность.
Симптомы часто проявляют себя поодиночке, в этом случае заподозрить именно глиоз сложно.
Причины глиоза
Глиоз возникает из-за поражения ЦНС в результате патологий обмена жиров. Часто они вызваны наследственным фактором. В 25% всех случаев болезни говорят об аутосомно-рецессивном виде наследования.
Развитие заболевания провоцирует прием наркотических веществ – наступает медленная атрофия белого вещества. При злоупотреблении алкоголем метаболиты спирта вызывают гибель нейронов.
Очаги развиваются на фоне заболеваний (вторичный тип глиоза):
- энцефалит;
- эпилепсия;
- инсульт;
- рассеянный или туберкулезный склероз;
- энцефалопатия;
- хроническая гипертония;
- гипоксия.
У детей гибель нейронов часто провоцируют родовые травмы, когда при родоразрешении наблюдается длительная асфиксия. Симптомы развиваются не ранее 4–6 месяцев, проявляясь в потере сосательного и глотательного рефлексов, судорожного синдрома, параличе, атрофировании мышц.
Классификация очагов
Изменения происходят в одной или сразу обеих гемисферах.
По размеру поражения очаги глиоза делят на единичные и множественные:
- Единичные мелкие – не редкость у многих взрослых людей на фоне гипертонии. Незначительная гибель нейронов не вызывает характерных симптомов, но процесс замещения тканей необратим. Также причинами выступают заболевания ЦНС.
- Множественные поражения нарушают работу ЦНС, симптоматика ярко выражена.
По типу локализации глиозных клеток очаги разделяют на такие типы:
- Диффузный. Явные очаги замещения ткани отсутствуют. Поражается белое вещество мозга, реже – область мозговой ткани вплоть до спинального отдела. Основная причина – постишемический процесс.
- Анизоморфный. Зона глиоза по периферии головного мозга, глии замещают волокнистую структуру.
- Маргинальный. Очаги поражения четко локализованы, расположены в подоболочечной области мозга.
- Сосудистого характера (периваскулярный астроглиоз или перивентрикулярный). Глиальные элементы размножаются в сосудах с выраженным атеросклеротическим процессом. Специфический вариант сосудистого типа – супратенториальный глиоз сосудистого генеза. Диагностируют чаще у детей первых месяцев жизни и у пожилых пациентов на фоне возрастных изменений.
- Изоморфный. Для этого типа характерно равномерное распределение волокон.
- Краевой. Очаги находятся под мозговой оболочкой в области теменных, левой, правой лобных долей.
- Волокнистый. Такой вид характеризуется преобладанием волокнистых структур над глиями.
Не всегда единичные участки разрастаются. Если патологические изменения вызваны физиологическими факторами – травмами (образуются кистозно-глиозные изменения), оперативное вмешательство, тяжёлые роды, старение организма – они часто остаются немногочисленными или единичными, без специальной диагностики их не выявляют.
К какому врачу обратиться?
Диагностикой и лечением глиоза занимается невролог. По показаниям он может направить пациента к нейрохирургу.
Если глиоз сопровождает другую патологию, может понадобиться смежная консультация специалистов:
- терапевта;
- кардиолога;
- неонатолога;
- педиатра (для осмотра ребёнка).
Диагноз не ставят только на данных внешнего осмотра, установить наличие заболевания и выраженность, локализацию, размеры очагов позволяет томография.
Диагностика патологии
Поскольку симптоматика не является характерной для глиоза, может указывать на другие патологии нервной системы, используют инструментальную диагностику:
- Электроэнцефалограмма (ЭЭГ). Обследование проводят при выявлении нарушений, связанных с активностью мозга. Очаги глиоза могут провоцировать приступы эпилепсии. При их наличии определяют повышение судорожной активности.
- КТ (ангиография). Выявляет отклонения в функционировании сосудистой системы. Во время процедуры используют контрастное вещество.
- МРТ – наиболее информативный метод. Он дает понятие об объемах, локализации глиальных очагов, определяет их этиологию. Только с помощью этой методики диагностируют субкортикальные очаги, локализованные в лобных долях мозга, микроангиопатию – мельчайшие повреждения сосудов, зоны перифокального отека.
Дополнительно при обследовании исключают опухолевые образования, рубцы, нарушение обменных процессов.
Лечение глиоза головного мозга
Лекарственных средств, которые бы смогли устранить процесс замещения, нет. Терапия направлена на лечение основного заболевания, с которым связана гибель нейронов, и улучшение качества жизни больного.
Лекарства
Лекарственные средства:
- Вазоактивные средства – Циннаризин, Кавинтон, Винпоцетин.
- Антиагреганты – Вессел Дуэ Ф, производные ацетилсалициловой кислоты.
- Ноотропы – Глицин, Актовегин, Кортексин.
- Витамины группы Е, В – Мульти-Табс, Компливит.
Эти препараты улучшают проводимость волокон, мозговую активность. Если диагностирован глиоз сосудистого генеза, рекомендуют средства для улучшения эластичности стенок сосудов.
Хирургическое вмешательство
Удаление глиозных очагов хирургическим путем проводят редко, нейрохирургическое вмешательство не позволяет приостановить возникновение новых участков глиоза без лечения базового заболевания. Операция имеет смысл только в том случае, когда очаги единичные.
Показания для оперативного лечения:
- глиозные очаги в белом веществе вызывают судорожные приступы;
- нарушен отток ликвора;
- есть сбой в работе внутренних органов;
- обнаружена опухоль.
При множественных мультифокальных очагах эффект даёт только пожизненное консервативное лечение.
Народные средства
Помощью в консервативном лечении служат народные средства, улучшающие работу сердечно-сосудистой системы и обмена веществ:
- Лимон и корень имбиря измельчите на мясорубке или в блендере в пропорции 1:2. Заварите в виде чая в термосе – 1 ст. л. кашицы на 200 мл кипятка. Дозировка – 1 стакан в сутки после еды.
- Высушенный корень женьшеня измельчите в порошок в кофемолке, залейте 1 ст. л. 200 мл воды, настаивайте 10 минут. После процедите, пейте в течение 30 дней по 1 стакану.
- Смешайте по 1 ст. л. ромашки, бузины, липы, молотых плодов фенхеля, залейте 300 мл кипятка, настаивайте 1 час. Принимайте по 1 стакану в день натощак.
- Чай из одуванчика для укрепления сосудов готовят из 200 г молотых корней и 1 л кипятка. Способ употребления – по 50 мл перед приемом пищи трижды в день, длительность курса 1 месяц.
- Для укрепления стенок сосудов возьмите 50 г плодов рябины, 1 ст. л. липового цвета, 1 ч. л. семян укропа, 1 ч. л. сушеной полыни. Залейте 1 л кипятка, отстаивайте 15 минут. Пейте 2 раза в день перед едой по 100 мл на протяжении 20–30 дней.
- Смешайте листья крапивы и рябину в соотношении 3:7, залейте 0,5 л кипятка, 10 минут прокипятите, и настаивайте 3 часа. Пейте отвар ежедневно по 200 мл в сутки курсом 30–60 дней.
- Напиток для улучшения мозгового кровообращения. Возьмите 1 ч. л. семян люцерны, залейте половиной стакана кипятка, принимайте эту порцию раз в день до еды на протяжении 9 месяцев.
- Настойка ятрышника. 10 корней растения разрежьте на 2 части и положите в бутылку из темного стекла. Залейте 1 стаканом 96-% спирта, перенести в тёмное помещение на 2 недели. Принимайте натощак 1 ч. л. настоя, курс 1 месяц.
- Измельчите 10 листьев шелковицы, залейте 500 мл кипятка, проварите 3 минуты, процедите. Употребляйте на протяжении 3 месяцев 1 раз в день после еды.
- Для очистки стенок сосудов от холестериновых бляшек – чесночная настойка. 5 долек промелите на мясорубке, перемешайте с 1 ст. л. натертого хрена, залейте 50 мл нерафинированного оливкового или подсолнечного масла. Переложите в банку, плотно закройте крышкой, уберите в холодильник. Перед употреблением смешайте 1 ст. л. приготовленной смеси с 0,5 ст. л. свежего сока лимона. Принимайте трижды в день минимально 3 месяца за 30–35 мин. до еды.
Диета при глиозных изменениях
При выявлении глиозных изменений в рацион важно включить продукты, богатые магнием и калием. Первый улучшает работу мозга, восстанавливает его клетки, предупреждает спазмы сосудов. Калий не даёт повышаться уровню натрия, который может задерживать в организме жидкость и приводить к отекам, повышает сократительную способность гладкой мускулатуры, улучшает работу сердца.
Магнийсодержащие продукты:
- чечевица;
- льняные, тыквенные семена;
- кукурузная крупа, перловка, гречка;
- отвар шиповника;
- грецкие орехи;
- пшеничные отруби;
- капуста, зелень;
- инжир.
Продукты богатые калием:
- цитрусовые;
- изюм, курага;
- зелень, фрукты овощи с кожурой зелёного цвета;
- картофель;
- грибы.
Из рациона исключают:
- субпродукты;
- горчицу;
- щавель;
- чёрный кофе;
- крепкий черный чай;
- шпинат.
Лишний вес не только дает дополнительную нагрузку на сердечно-сосудистую систему, но и провоцирует избыток холестерина.
Для коррекции массы тела исключите:
- сдобную выпечку;
- газированные напитки;
- консервированные продукты;
- фастфуд.
Желательно употребляйте продукты, не подвергшиеся термообработке. Для приготовления используйте щадящие способы – тушите, варите, готовьте на гриле или в пароварке.
Чем опасен глиоз?
Очаги глиозной трансформации вызывают опасные последствия:
- прогрессирующее ухудшение памяти;
- интеллектуальные расстройства;
- мигрень, головные боли;
- ухудшение качества жизни.
Глиозные изменения в любом из полушарий не влияют на работу ЦНС.
Прогноз жизни
Длительность жизни определяется выраженностью атрофических изменений в белом веществе мозга и тяжестью болезни, вызвавшей глиоз. При выполнении предписаний врача наступает ремиссия, которая может длиться десятилетиями. Плохой прогноз при обнаружении патологии у новорожденных – они редко живут больше 2–4 лет.
Основы профилактики – соблюдение принципов здорового образа жизни, посильная физнагрузка, полноценный дневной и ночной отдых. После 50–60 лет рекомендована умственная загрузка, которая восстанавливает когнитивные функции.

