На 21-й неделе беременности будущая мама должна пройти допплерометрию сосудов пуповины. Это исследование проводится с целью выявления числа сосудов пуповины и получения математических показателей тока крови по ним. Необходимо оно для выявления возможных патологий протекания беременности и развития плода.
Часто бывает, что прохождение этого обследования сопровождается сильными переживаниями будущей мамочки. К сожалению, врачи имеют обыкновение молчаливо вручить пациенту (в нашем случае — пациентке) заключение с сухими цифрами, ничего не объяснив. Приходится женщине самостоятельно искать ответы на вопросы: а сколько, собственно, сосудов должна иметь пуповина и как они должны работать, эти сосуды пуповины. Попытаемся объяснить максимально доступно.
Количество сосудов в пуповине
Пуповина представляет собой своего рода «канат», соединяющий организм матери и плод, а точнее, их кровеносные системы. В норме пуповина имеет 3 сосуда: 1 вену и 2 артерии. По вене обогащенная кислородом кровь с питательными веществами из организма матери через плаценту поступает в кровеносную систему ребенка, а по артериям кровь с продуктами жизнедеятельности будущего малыша отправляется к плаценте и далее в материнский организм.
Какие бывают отклонения от нормы?
В 0,5% одноплодных и в 5% многоплодных беременностей врачи ставят диагноз «ЕАП» (единственная артерия пуповины). Это означает, что в данном случае пуповина имеет 2 сосуда вместо 3-х.
Отсутствие одной артерии бывает либо изначальным, либо развившимся в течение беременности (т.е. она была, но атрофировалась и перестала выполнять свою функцию). Диабет у беременной многократно увеличивает возможность возникновения ЕАП.
Опасно ли это?
Большинство медиков считают, что ЕАП может являться маркером (признаком) хромосомных аномалий. В этом случае необходимо расширение пренатального обследования, с целью выявления врожденных пороков развития. Это означает, что если, помимо ЕАП, узи-обследование показало наличие каких-либо врожденных пороков или аномалий развития плода, существует вероятность (около 30%), что плод имеет хромосомную аномалию. При подозрении на хромосомную аномалию важно в течение беременности неоднократно проводить допплеровское исследование кровотока в артерии пуповины. Измерение показателей скорости кровотока в артерии пуповины с точностью 76-100% позволяет предсказать наличие или отсутствие отклонений развития плода.
В большинстве же (60-90% беременностей) случаев ЕАП является изолированным дефектом (не сопровождается другими отклонениями), и это не опасно. Конечно, нагрузка на единственный сосуд больше, чем на два, но и одна артерия обычно хорошо справляется со своей функцией. Только в 14-15% случаев наличие единственной артерии увеличивает риск рождения маловесного ребенка.
Не оказывает ЕАП существенного влияния и на родовой процесс. Если ведущий роды врач и акушерка информированы о существующем дефекте, поводов для беспокойства нет. Можете быть уверены, что квалифицированным врачом будет выбрана правильная тактика ведения родов, которая обеспечит безопасность матери и малыша и благополучный исход родов.
Что такое пуповина? Каково ее строение?
Пуповина (иначе — пупочный канатик) — это специальное образование, соединяющее плод и детское место и позволяющее осуществлять фетоплацентарное кровообращение. Внешне она напоминает спирально скрученный жгут или шнур и имеет голубовато-серый цвет. В конце третьего триместра пуповина достигает 50-60 см в длину, а ее диаметр у пупочного кольца равняется 1-2 см. Хотя могут наблюдаться и значительные отклонения от средних значений в ту или иную сторону. Вот так выглядит пуповина. Фото это демонстрирует.
Один конец пупочного канатика прикрепляется к плаценте, а второй — к ребенку в области пупочного кольца. К детскому месту он может присоединяться в разных местах, в том числе по центру, сбоку или с края. Редко пуповина может прикрепляться к оболочкам, на некотором расстоянии от края плаценты. В этом случае ее сосуды достигают детского места, проходя между оболочками. На всем протяжении пупочный канатик имеет изгибы, вдавления и выпуклости, возникающие из-за особенностей строения. В норме пуповина имеет 3 сосуда, из них два — это пупочные артерии, а один — тонкостенная, с широким просветом пупочная вена. Вдоль них располагаются нервные волокна. Нервы и сосуды пупочного канатика окружаются особой желеобразной соединительной тканью, которая называется вартонов студень. Она выполняет защитную функцию, предотвращая сдавливание артерий. Пуповина снаружи покрыта амнионом, который не доходя 0,5-1 см до пупка, трансформируется в кожу плода.
Артерии и вена пуповины. Каковы их функции?
Итак, мы узнали, что в норме пуповина имеет 3 сосуда. Две пупочные артерии берут свое начало от внутренних подвздошных артерий.Они транспортируют кровь ребенка с углекислым газом и продуктами обмена веществ к детскому месту. В плаценте она насыщается кислородом и необходимыми плоду питательными веществами. Также кровь освобождается от углекислого газа и продуктов обмена. Далее по пуповинной вене она возвращается обратно, к ребенку. Около 80% всей крови доставляется в системный кровоток малыша через аранциев проток, проходящий по нижней поверхности печени и впадающий в полую нижнюю вену. Остальная кровь (около 20%) направляется в портальный кровоток между воротной и пупочными венами, через анастомоз. Она осуществляет кровоснабжение печени ребенка.
Пуповина у новорожденного. Что происходит с ней после рождения малыша?
После появления на свет пуповина у новорожденного пережимается зажимом, а затем пересекается. На оставшуюся часть пупочного канатика, прилежащую к пупочной области ребенка, накладывают лигатуру или металлическую скобу Роговина. Спустя некоторое время скобу снимают, а остаток пуповины удаляют отсечением, отступив 2-3 см от перевязочного места. Около пупочного кольца накладывают марлевую салфетку. В третьем периоде родов женщина рожает оставшуюся часть пупочного канатика вместе с плацентой и оболочками плода. После появления малыша на свет мускулатура артерий сокращается рефлекторно, сосуды запустевают и закрываются, и кровообращение в них прекращается. Этот мудрый природный механизм предотвращает возможность кровопотери новорожденным, в том случае, если его пуповина осталась неперевязанной. Впоследствии сосуды превращаются в рубцовые тяжи.
Методы исследования состояния пуповины
В целом, состояние пуповины и ее возможные патологии обнаружить во время беременности достаточно затруднительно. Как правило, проводят ультразвуковую диагностику, которая позволяет выявить обвитие пупочного канатика вокруг шеи, конечностей и туловища плода, а также ее предлежание. При помощи фонокардиографии и аускультации могут быть выявлены не только пороки сердца, но и шум сосудов пуповины, который появляется в связи с обвитием туловища или шеи ребенка. Также врачи могут использовать метод цветового картирования, при котором хорошо просматриваются все пуповинные артерии, вена и допплерометрия, позволяющая оценить, в том числе, и состояние маточно-плацентарного кровотока. При влагалищном исследовании выявляется выпадение петель пуповины. После рождения последа осматривают плаценту и пупочный канатик и при необходимости отправляют материал на гистологическое исследование.
Аномалии строения пуповины
Мы знаем, что в норме имеет пуповина 3 сосуда. Но иногда встречаются аномалии количества вен и артерий. 5% многоплодных беременностей и около 1% одноплодных осложняются патологией строения пупочного канатика, который имеет всего лишь два кровеносных сосуда (одна артерия и одна вена) вместо трех. Причина возникновения данной аномалии строения пуповины до сих пор не выявлена. Отсутствие одной пуповинной артерии ухудщает фетоплацентарное кровообращение. Это может привести к различным врожденным дефектам плода, в том числе порокам сердца, нарушению работы мочеполовой системы и ЦНС малыша. Крайне редко встречается аплазия, то есть полное отсутствие пуповины. В этом случае плод напрямую соединяется с плацентой и его развитие серьезно нарушается.
Иногда в клинической практике встречаются и другие патологии, в том числе аневризмы пуповинной вены, эмбриональная грыжа пуповины, истинные, ложные узлы, кисты и т. д.
Вместо заключения
Итак, мы рассмотрели, сколько сосудов должна иметь пуповина. Кроме того, мы узнали, как исследуется ее состояние во время беременности и после родов и как обнаруживаются патологии ее строения. Надеемся, теперь вы знаете, что в норме пуповина имеет 3 сосуда — две артерии и одну вену. Они выполняют важную функцию транспортировки крови к ребенку и от него к плаценте.
Что такое пуповина? Каково ее строение?
Пуповина (иначе — пупочный канатик) — это специальное образование, соединяющее плод и детское место и позволяющее осуществлять фетоплацентарное кровообращение. Внешне она напоминает спирально скрученный жгут или шнур и имеет голубовато-серый цвет. В конце третьего триместра пуповина достигает 50-60 см в длину, а ее диаметр у пупочного кольца равняется 1-2 см. Хотя могут наблюдаться и значительные отклонения от средних значений в ту или иную сторону. Вот так выглядит пуповина. Фото это демонстрирует.
Артерии и вена пуповины. Каковы их функции?
Итак, мы узнали, что в норме пуповина имеет 3 сосуда. Две пупочные артерии берут свое начало от внутренних подвздошных артерий.Они транспортируют кровь ребенка с углекислым газом и продуктами обмена веществ к детскому месту. В плаценте она насыщается кислородом и необходимыми плоду питательными веществами. Также кровь освобождается от углекислого газа и продуктов обмена. Далее по пуповинной вене она возвращается обратно, к ребенку. Около 80% всей крови доставляется в системный кровоток малыша через аранциев проток, проходящий по нижней поверхности печени и впадающий в полую нижнюю вену. Остальная кровь (около 20%) направляется в портальный кровоток между воротной и пупочными венами, через анастомоз. Она осуществляет кровоснабжение печени ребенка.
Пуповина у новорожденного. Что происходит с ней после рождения малыша?
После появления на свет пуповина у новорожденного пережимается зажимом, а затем пересекается. На оставшуюся часть пупочного канатика, прилежащую к пупочной области ребенка, накладывают лигатуру или металлическую скобу Роговина. Спустя некоторое время скобу снимают, а остаток пуповины удаляют отсечением, отступив 2-3 см от перевязочного места. Около пупочного кольца накладывают марлевую салфетку. В третьем периоде родов женщина рожает оставшуюся часть пупочного канатика вместе с плацентой и оболочками плода. После появления малыша на свет мускулатура артерий сокращается рефлекторно, сосуды запустевают и закрываются, и кровообращение в них прекращается. Этот мудрый природный механизм предотвращает возможность кровопотери новорожденным, в том случае, если его пуповина осталась неперевязанной. Впоследствии сосуды превращаются в рубцовые тяжи.
Патологии пуповины. Обвитие
Наиболее часто в клинической практике встречаются такие патологии, как обвитие пуповины вокруг шеи, тела и конечностей плода и значительное укорочение пупочного канатика. Абсолютно короткая (менее 40 см) пуповина не дает ребенку нормально двигаться, что приводит к его неправильному положению в матке. В период родов она чрезмерно натягивается, вследствие чего в пуповинных сосудах нарушается кровоток. Она препятствует продвижению плода по родовым путям, что может привести к его гипоксии. Иногда происходит разрыв короткой пуповины или ее сосудов, что может стать причиной гибели ребенка. Обвитие может возникнуть при любой длине пуповины. Оно может быть различным — однократным или многократным, тугим или нетугим, изолированным или комбинированным. Тугой многократный обхват шеи или туловища ребенка нарушает кровообращение, приводит к нехватке кислорода и грозит преждевременной отслойкой детского места. В таком случае роженице предлагают способ родоразрешения при помощи операции кесарева сечения.
Аномалии строения пуповины
Мы знаем, что в норме имеет пуповина 3 сосуда. Но иногда встречаются аномалии количества вен и артерий. 5% многоплодных беременностей и около 1% одноплодных осложняются патологией строения пупочного канатика, который имеет всего лишь два кровеносных сосуда (одна артерия и одна вена) вместо трех. Причина возникновения данной аномалии строения пуповины до сих пор не выявлена. Отсутствие одной пуповинной артерии ухудщает фетоплацентарное кровообращение. Это может привести к различным врожденным дефектам плода, в том числе порокам сердца, нарушению работы мочеполовой системы и ЦНС малыша. Крайне редко встречается аплазия, то есть полное отсутствие пуповины. В этом случае плод напрямую соединяется с плацентой и его развитие серьезно нарушается.
Иногда в клинической практике встречаются и другие патологии, в том числе аневризмы пуповинной вены, эмбриональная грыжа пуповины, истинные, ложные узлы, кисты и т. д.
Вместо заключения
Итак, мы рассмотрели, сколько сосудов должна иметь пуповина. Кроме того, мы узнали, как исследуется ее состояние во время беременности и после родов и как обнаруживаются патологии ее строения. Надеемся, теперь вы знаете, что в норме пуповина имеет 3 сосуда — две артерии и одну вену. Они выполняют важную функцию транспортировки крови к ребенку и от него к плаценте.
Строение
- Пупочные артерии (2 шт.) Отходят от внутренних подвздошных артерий. Несут кровь плода, насыщенную углекислым газом и продуктами обмена веществ, к плаценте. После рождения запустевают и превращаются в рубцовые тяжи (так называемые медиальные пупочные складки, ligamenta mediales umbilicales), которые проходят по передней брюшной стенке под париетальной брюшиной в виде сторон равнобедренного треугольника по бокам мочевого пузыря до пупка (видны со стороны брюшной полости в виде длинных, тонких складок).
- Пупочные вены (первоначально парные, затем правая облитерируется). Несут кровь от плаценты, обогащённую кислородом и питательными веществами. Около 80 % крови попадает в системный кровоток через специальный венозный, или аранциев проток, который проходит по нижней поверхности печени и впадает в нижнюю полую вену. Остальные 20 % крови попадают в портальный кровоток через анастомоз между пупочной веной и левой ветвью воротной вены. Они необходимы для кровоснабжения печени.
Объём крови, оттекающей по пупочным артериям, равен объёму крови, притекающей по пупочной вене, и составляет к 20-й неделе внутриутробного развития 35 мл/мин, к 40-й неделе — 240 мл/мин. Для сравнения, через печень взрослого за минуту протекает 1200 мл крови (при разнице в весе тела в 20 раз кровоток отличается только в 5,5 раз).
- Желточный проток — тяж, который соединяет эмбриональный кишечник и желточный мешок (содержит запасённые в яйцеклетке питательные вещества, в основном, лецитины). В позднем внутриутробном периоде запустевает и рассасывается. Если желточный проток рассасывается не полностью, образуется дивертикул Меккеля.
- Урахус — проток, соединяющий дно мочевого пузыря и плаценту. Ко времени рождения ребёнка превращается в рубцовый тяж, который носит название срединной пупочной связки (ligamentum medianum umbilicale). Видна со стороны брюшной полости в виде тонкой складки, которая расположена точно по средней линии. Если урахус рассасывается не полностью, возможно появление заболевания — кисты урахуса.
- Вартонов студень — студенистая или слизистая соединительная ткань, образующая главную массу пупочного канатика, состоит из мукополисахаридов. Защищает пупочные сосуды от перегибов, механических повреждений и других воздействий.
В вартоновом студне имеются собственные, питающие его, кровеносные сосуды, чувствительные к уровню гормона окситоцина. Когда начинаются роды, уровень окситоцина возрастает, сосуды пуповины суживаются и закрываются. Так начинается быстрый процесс атрофии пуповины, который завершается в ближайшие часы после рождения. В норме, кровоток по сосудам пуповины сохраняется только в течение 5-20 минут после рождения ребёнка.
Полное прекращения кровотока возникает вследствие охлаждения пуповины вне организма матери через влияние на соответствующие терморецепторы сосудов пуповины. В связи с этим считается, что роды в воде могут представлять опасность в плане кровотечения из сосудов пуповины, в том числе, опасного для жизни плода. Однако в большинстве случаев при водных родах пуповина перерезается только после рождения плаценты.
Пуповина одним концом прикрепляется к брюшной стенке плода (в месте прикрепления образуется рубец — пупок, после того, как пуповина отпадёт), а другим — к плаценте. Стенка пуповины состоит из амниотического покрова, образованного основанием амниона (см. Позвоночные) и содержит в себе массу соединительной ткани (называемой по случаю её желатинозного характера вартоновым студнем), две пупочные артерии и пупочную вену, остатки аллантоиса, желточный проток, соединяющий во внутриутробном периоде дистальный отдел тонкой кишки с желточным мешком (см. Зародышевые оболочки).
При нарушении обратного развития желточный проток не исчезает полностью после рождения ребёнка, а образует так называемый меккелев дивертикул.
Перерезание пуповины
После родов пуповину пересекают между зажимами или клеммами. Кровь из пупочной вены используют для определения группы крови и резус-фактора новорождённого. Культя пуповины, прилежащая к пупочному кольцу новорождённого, в течение нескольких дней высыхает и отходит (сухой некроз и апоптоз), однако, по современным представлениям, чрезвычайно важно соблюдать стерильность для предупреждения пупочной инфекции, которая может представлять опасность для здоровья и даже жизни ребёнка.
Время перерезания пуповины играет большую роль. В случае очень быстрого перерезания (до прекращения пульсации пуповины) богатая кислородом кровь не успевает вернуться из плаценты в кровеносную систему ребёнка, отчего уровень гемоглобина и железа у новорождённого снижается[1]. Современные (2013—2014 годов) американские исследования показывают, что перерезание пуповины с задержкой 1-3 минуты способствует увеличению уровня гемоглобина, увеличению скорости набора веса и снижает риск заболеваний в возрасте 3-6 месяцев.
По пупочным артериям в плаценту течет кровь от плода, обогащенная углекислым газом.
Сколько сосудов находится в пуповине, каковы их функции?
Сколько сосудов должно быть у пупочного канатика? В норме сосуды пуповины представлены в количестве 3 штук. Каждый из этих трубчатых органов выполняет определенную функцию:
- Артерии. В пупочном канатике расположены две артерии, отходящие от внутренних подвздошных вен. Они существуют исключительно в гестационный период. Эти кровеносные сосуды перемещают эмбриональную кровь, насыщенную углекислым газом и продуктами обменных процессов, к детскому месту. По завершении беременности пуповинные артерии опустошаются, превращаясь в рубцовые образования в виде медиальных пупочных связок. Они проходят по передней стенке брюшины под париетальной брюшиной, образуя равносторонний треугольник по боковым сторонам мочевого пузыря до пупочной впадины.
- Вена. Первоначально формируются 2 сосуда, впоследствии один из них закупоривается. Данный трубчатый орган доставляет от детского места к эмбриону кровь, обогащенную кислородом и питательными элементами. 80% жидкой соединительной ткани поступает в системное кровообращение через сосуд, соединяющий пупочную вену с нижней полой веной, который проходит по поверхности печени и впадает в нижнюю полую вену. Оставшийся объем вливается в воротное кровообращение через отверстие между пупочной веной и левой ветвью воротной вены. Эти органы способствуют кровоснабжению клеток печени.
Сосуды пуповины и синдром ЕАП: строение в норме, чем опасны отклонения на допплерометрии
А. Олеся Валерьевна, к.м.н., практикующий врач, преподаватель медицинского ВУЗа
Пуповина представляет собой особый орган, с помощью которого происходит связь развивающегося зародыша, в последствии – плода, с организмом матери. В норме сосуды пуповины представлены двумя артериями и веной, посредством которых происходит обмен кровью и находящимися в ней кислородом и питательными веществами.
Еще до недавнего времени узнать, как построена пуповина, сколько в ней сосудов и есть ли другие аномалии было возможно только после рождения малыша путем визуального осмотра и гистологического исследования.
С внедрением и широким применением ультразвуковых методик, допплерометрии появилась возможность «заглянуть» внутрь матки еще до родов, проследить характер кровотока и анатомические особенности этого органа.
Для оценки состояния кровообращения в системе «мать-плод» большое значение имеет определение количества сосудов пуповины и особенностей кровотока по ним.
В норме врач диагностирует наличие трех сосудов, но в редких случаях он может не досчитаться одного, и тогда будущая мама начинает не на шутку волноваться.
Попытаемся разобраться, чем опасна нехватка одной из артерий, как это отразится на малыше и что стоит предпринять женщине, у которой замечена эта аномалия.
Пуповина представляет собой канатик, соединяющий плодную поверхность плаценты с брюшной стенкой плода. Основные ее компоненты – сосуды. Снаружи пуповина покрыта одним слоем эпителиальных клеток, а сосуды окружены студнеобразным веществом (вартонов студень), которое играет защитную роль, окутывая их со всех сторон.
Толщина пуповины к концу беременности достигает полутора-двух сантиметров, длина – 50-70 см, что позволяет плоду беспрепятственно совершать движения в полости матки еще до рождения, а будущая мама ощущает при этом своеобразные толчки и шевеление. Излишне длинная, равно как и короткая пуповина – признак патологии.
Как уже сказано выше, пуповина должна иметь две артерии и одну вену. Общепринято, что по венам движется венозная кровь с углекислотой, а по артериям – богатая кислородом и питательными компонентами артериальная кровь. С пуповиной дело обстоит несколько иначе: вена несет кровь, насыщенную кислородом, к тканям плода, а артерии уносят от будущего малыша венозную кровь.
Пупочные артерии существуют только во время внутриутробного развития.
Пупочная вена одна, хотя изначально их закладывается две (левая редуцируется). Природой предусмотрено, что для обеспечения адекватного кровотока достаточно лишь одного сосуда, поэтому ни плод, ни мать не испытывают «неудобств» по случаю непарности вены. Пупочная вена доставляет около 80% крови в нижнюю полую вену развивающегося малыша, а оставшиеся 20% используются для кровотока в печени.
Количество крови, которое протекает по сосудам пуповины при беременности, огромно. К концу гестации плод получает по вене около 240 мл артериальной крови в минуту, такой же объем уходит по артериям к плаценте.
Около 5-20 минут после рождения ребенка кровоток по сосудам пуповины сохраняется, и в это время возможен забор ее для исследования и других целей (приготовление лекарств, например), однако уже в процессе родов под влиянием выброса гормона окситоцина сосуды пуповины начинают запустевать, и орган быстро атрофируется за ненадобностью.
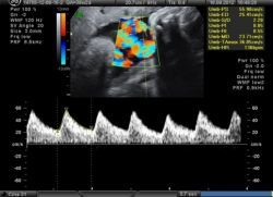
Наиболее достоверные сведения о состоянии пуповины и ее сосудов можно получить при ультразвуковом исследовании с цветным допплеровским картированием.
Поперечный «срез» пуповины показывает наличие более крупного сосуда – вены, и меньшего по диаметру – артерии. Количество сосудов оценивают по продольному изображению.
На точность диагностики количества сосудов пуповины могут оказать влияние разные факторы: невозможность хорошей визуализации органа в слишком ранние сроки или накануне родов, малое количество околоплодных вод, более одного плода в матке, лишний вес у беременной женщины. Немалую роль играет и квалификация врача, проводящего исследование.
Примерно к 21 неделе гестации все беременные женщины направляются на допплерометрическое исследование, которое позволяет оценить не только анатомические особенности плода, плаценты, пуповины, но и особенности кровотока (скорость, число сосудов, аномалии). Часто врачи не удосуживаются объяснить пациентке хотя бы вкратце результаты анализа, поэтому будущие мамы штудируют литературу и интернет в поисках ответов.
В норме на любом сроке беременности пуповина имеет 3 сосуда. Получив на руки такое заключение, женщина может успокоиться – кровоток в порядке (конечно, если других аномалий не обнаружено). В части случаев врач УЗ-диагностики не обнаруживает в пуповине одной артерии, тогда в заключении будет указано, что сосудов всего два – одна вена и одна артерия.
При недостаточном количестве сосудов пуповины специалистам придется разобраться, аномалия носит изолированный характер или сочетается с другими пороками, что нередко встречается при этом типе патологии. Некоторые женщины отмечают, что количество сосудов при УЗИ в разные сроки отличается, а это создает еще больше вопросов, непонимания и ненужного волнения для будущей мамы.
Заметим, что число сосудов не должно меняться в течение всей беременности, поэтому вывода два: либо одна из артерий по какой-то причине перестала функционировать, либо на каком-то из исследований была допущена ошибка, и нужно еще раз «пересчитать» сосуды, желательно – у грамотного и опытного врача, который рассеет все сомнения.
Загадочная аббревиатура ЕАП в заключении врача означает наличие единственной артерии, то есть обнаружено 2 сосуда в пуповине.
Такая патология встречается примерно в 0,5-1% случаев нормально протекающих беременностей, а при многоплодии показатель достигает 5%.
Около трети плодов при таком изменении пуповины, сочетающемся с другими аномалиями строения, имеют большую вероятность наличия тяжелой хромосомной патологии, поэтому женщина нуждается в расширенном обследовании, в том числе – у генетика.
Причины патологии до сих пор не ясны, но исследования показывают, что недостаток сосудов пуповины чаще встречается среди женщин, больных сахарным диабетом, а также у темнокожих жительниц Земли. Возможно влияние и внешних неблагоприятных факторов, способствующих всевозможным отклонениям в формировании плода, плаценты и пуповины.
Чем грозит наличие двух сосудов в пуповине – самый главный вопрос, беспокоящий беременную женщину, ведь любая мать желает произвести на свет здорового малыша. В такой ситуации важно исключить другие пороки развития, которые и определяют дальнейший прогноз и тактику ведения беременности.
Если недостаток одной из артерий пуповины – единственная аномалия, которую врачи видят при многократных УЗИ, а хромосомные отклонения не подтверждены дополнительными исследованиями (кордоцентез, амниоцентез), то поводов для беспокойства нет. До 90% беременностей с ЕАП в изолированном виде заканчиваются благополучно рождением здорового ребенка.
Конечно, до конца гестации нужно регулярно контролировать кровообращение, но, как показывает практика, даже одного сосуда вполне достаточно, потому что он способен взять на себя двойную нагрузку. Лишь у каждой десятой женщины с аномалией сосудов пуповины возможно рождение маловесного ребенка, но на его дальнейшем развитии это, скорее всего, никак не отразится.
Женщинам с изолированной ЕАП рекомендовано дополнительное допплерометрическое и ультразвуковое исследование состояния плода в сроке 28 недель, чтобы исключить возможную задержку развития. Если кровоток и скорость роста малыша соответствуют средней норме, то беременность развивается правильно, а задержка внутриутробного развития исключается.
Как говорится, все бы хорошо, но изолированный порок с наличием 1 сосуда в пуповине артериального типа регистрируется всего лишь у 7% женщин, остальные же случаи приходятся на сочетанную патологию, поэтому значительно более опасным вариантом развития событий считается тот, когда при ЕАП на УЗИ обнаруживаются другие структурные отклонения у плода. Особенно часто при этом наблюдаются пороки развития сердца, сосудов и мочеполовой системы.
Патология, сочетающаяся с единственной артерией в пуповине:
- Пороки развития сердца;
- Аномалии мочеполовой системы;
- Недоразвитие костей скелета, черепа;
- Трисомия по 21 паре хромосом (синдром Дауна);
- Выкидыши и внутриутробная гибель плодов.
Итак, подводя итоги выше сказанному, отмечаем, что аномалия числа сосудов пуповины может быть изолированной, без других нарушений у формирующегося плода, и сочетанной с другими пороками, вероятность чего довольно высока.
При изолированном пороке пуповины будущей маме следует успокоиться и своевременно проходить все исследования, включающие дополнительный ультразвуковой контроль. Если других отклонений нет – значит, малыш развивается правильно, кровоток адекватен, и дополнительные обследования, включая кордоцентез и консультация генетика, не требуются.
При обнаружении отклонений со стороны плода на фоне ЕАП, показано тщательное обследование:
- Дополнительные УЗИ с допплерометрией в разные сроки гестации;
- Кордоцентез и кариотипирование для поиска хромосомных мутаций;
- Консультация генетика.
В случае тяжелых пороков решается вопрос о прерывании беременности, но стоит помнить и о более высокой частоте спонтанных выкидышей и мертворождений при такой аномалии. Детская смертность при тяжелых анатомических дефектах в строении органов в раннем возрасте, по некоторым данным, достигает 10-14%.
Диагностика состояния сосудов в пуповине
Состояние данного органа и его возможные нарушения в процессе вынашивания ребенка выявить довольно трудно. С этой целью используют следующие способы диагностики:
- Цветовое допплеровское картирование (ЦДК). В ходе данной процедуры осуществляется ультразвуковое исследование с дополнительным анализом кровообращения с применением допплеровского эффекта. При проведении манипуляции получается цветное изображение процесса циркуляции крови в исследуемой области, наложенное на черно-белую картинку, полученную по результатам УЗИ. Этот метод является наиболее достоверным и эффективным. Он позволяет определить обвитие пуповины вокруг шеи, конечностей и тела ребенка. Кроме того, с помощью такой методики выявляется предлежание детского места. Сведения о числе сосудов можно получить примерно на 12-недельном сроке гестации, когда беременная пациентка направляется на первое скрининговое исследование.
- Фонокардиография (ФКГ). Диагностическая процедура позволяет оценить состояние сердечно-сосудистой системы с применением графической регистрации звуковых колебаний, образующихся в процессе работы сердца. В ходе выполнения манипуляций могут быть диагностированы не только нарушения функционирования сердечной мышцы, но и шумы сосудов пупочного канатика, возникающие на фоне обвития им туловища или шеи плода.
- Аускультация. Прослушивание живота пациентки также поможет врачу составить представление о работе сердца и заподозрить обвитие пуповиной.
- Допплерометрия. С помощью этого типа ультразвукового исследования определяется интенсивность кровообращения в сосудах пуповины.
- Влагалищный осмотр — выявляется выпадение пуповинных петель.
После выхода плаценты врач обязательно визуально исследует ее и пуповину. При необходимости биоматериал направляется на гистологию.
Пуповина имеет 3 сосуда: что это значит? Сколько сосудов должна иметь пуповина?
Во время беременности плод тесно связан с матерью при помощи особого образования – пуповины. Через него он получает все необходимое для жизни и развития – кислород и питательные вещества.
Многие беременные женщины во время прохождения ультразвукового исследования узнают, что пуповина имеет 3 сосуда. Они начинают переживать и задаваться вопросом: “Нормально ли это?” В данной статье мы ответим на него и расскажем все про пуповину, в том числе и про ее возможные патологии. Надеемся, эта информация окажется полезной для вас.
Пуповина (иначе – пупочный канатик) – это специальное образование, соединяющее плод и детское место и позволяющее осуществлять фетоплацентарное кровообращение. Внешне она напоминает спирально скрученный жгут или шнур и имеет голубовато-серый цвет.
В конце третьего триместра пуповина достигает 50-60 см в длину, а ее диаметр у пупочного кольца равняется 1-2 см. Хотя могут наблюдаться и значительные отклонения от средних значений в ту или иную сторону. Вот так выглядит пуповина. Фото это демонстрирует.
Один конец пупочного канатика прикрепляется к плаценте, а второй – к ребенку в области пупочного кольца. К детскому месту он может присоединяться в разных местах, в том числе по центру, сбоку или с края. Редко пуповина может прикрепляться к оболочкам, на некотором расстоянии от края плаценты.
Пуповина снаружи покрыта амнионом, который не доходя 0,5-1 см до пупка, трансформируется в кожу плода.
Итак, мы узнали, что в норме пуповина имеет 3 сосуда. Две пупочные артерии берут свое начало от внутренних подвздошных артерий.Они транспортируют кровь ребенка с углекислым газом и продуктами обмена веществ к детскому месту. В плаценте она насыщается кислородом и необходимыми плоду питательными веществами. Также кровь освобождается от углекислого газа и продуктов обмена.
Далее по пуповинной вене она возвращается обратно, к ребенку. Около 80% всей крови доставляется в системный кровоток малыша через аранциев проток, проходящий по нижней поверхности печени и впадающий в полую нижнюю вену. Остальная кровь (около 20%) направляется в портальный кровоток между воротной и пупочными венами, через анастомоз. Она осуществляет кровоснабжение печени ребенка.
После появления на свет пуповина у новорожденного пережимается зажимом, а затем пересекается. На оставшуюся часть пупочного канатика, прилежащую к пупочной области ребенка, накладывают лигатуру или металлическую скобу Роговина.
Спустя некоторое время скобу снимают, а остаток пуповины удаляют отсечением, отступив 2-3 см от перевязочного места. Около пупочного кольца накладывают марлевую салфетку. В третьем периоде родов женщина рожает оставшуюся часть пупочного канатика вместе с плацентой и оболочками плода.
После появления малыша на свет мускулатура артерий сокращается рефлекторно, сосуды запустевают и закрываются, и кровообращение в них прекращается. Этот мудрый природный механизм предотвращает возможность кровопотери новорожденным, в том случае, если его пуповина осталась неперевязанной.
Впоследствии сосуды превращаются в рубцовые тяжи.
В целом, состояние пуповины и ее возможные патологии обнаружить во время беременности достаточно затруднительно. Как правило, проводят ультразвуковую диагностику, которая позволяет выявить обвитие пупочного канатика вокруг шеи, конечностей и туловища плода, а также ее предлежание.
При помощи фонокардиографии и аускультации могут быть выявлены не только пороки сердца, но и шум сосудов пуповины, который появляется в связи с обвитием туловища или шеи ребенка.
После рождения последа осматривают плаценту и пупочный канатик и при необходимости отправляют материал на гистологическое исследование.
Наиболее часто в клинической практике встречаются такие патологии, как обвитие пуповины вокруг шеи, тела и конечностей плода и значительное укорочение пупочного канатика. Абсолютно короткая (менее 40 см) пуповина не дает ребенку нормально двигаться, что приводит к его неправильному положению в матке.
В период родов она чрезмерно натягивается, вследствие чего в пуповинных сосудах нарушается кровоток. Она препятствует продвижению плода по родовым путям, что может привести к его гипоксии. Иногда происходит разрыв короткой пуповины или ее сосудов, что может стать причиной гибели ребенка.
В таком случае роженице предлагают способ родоразрешения при помощи операции кесарева сечения.
Мы знаем, что в норме имеет пуповина 3 сосуда. Но иногда встречаются аномалии количества вен и артерий. 5% многоплодных беременностей и около 1% одноплодных осложняются патологией строения пупочного канатика, который имеет всего лишь два кровеносных сосуда (одна артерия и одна вена) вместо трех.
Причина возникновения данной аномалии строения пуповины до сих пор не выявлена. Отсутствие одной пуповинной артерии ухудщает фетоплацентарное кровообращение. Это может привести к различным врожденным дефектам плода, в том числе порокам сердца, нарушению работы мочеполовой системы и ЦНС малыша. Крайне редко встречается аплазия, то есть полное отсутствие пуповины.
В этом случае плод напрямую соединяется с плацентой и его развитие серьезно нарушается.
Иногда в клинической практике встречаются и другие патологии, в том числе аневризмы пуповинной вены, эмбриональная грыжа пуповины, истинные, ложные узлы, кисты и т. д.
Вместо заключения
Итак, мы рассмотрели, сколько сосудов должна иметь пуповина. Кроме того, мы узнали, как исследуется ее состояние во время беременности и после родов и как обнаруживаются патологии ее строения. Надеемся, теперь вы знаете, что в норме пуповина имеет 3 сосуда – две артерии и одну вену. Они выполняют важную функцию транспортировки крови к ребенку и от него к плаценте.
Специалисты считают, что 2 сосуда в пуповине являются признаком патологической беременности. В большинстве случаев врач посоветует женщине пройти еще ряд обследований, которые смогут подтвердить, нет ли у ребенка хромосомных аномалий. Например, могут рекомендовать амниоцентез.
В случае ЕАП женщина будет вынуждена еще неоднократно провести доплеровское исследование сосудов пуповины. Практически в 90% случаев беременность, при которой пуповина имеет два сосуда, больше не сопровождается никакими другими отклонениями и роды проходят в стандартном режиме. Несмотря на то, что артерия одна, она вполне полноценно справляется со всеми своими функциями. Главное, предупредить специалистов, которые будут принимать роды, о данной особенности.
Главное, что должна знать беременная женщина — нервы отражаются на состоянии ребенка очень сильно. Если вам поставили диагноз ЕАП, а у малыша нет пороков в развитии и хромосомных аномалий, не стоит переживать. Достаточно контролировать свое состояние, найти грамотного гинеколога и надеяться на лучшее.
Сколько должно быть сосудов в пуповине? На узи на 21 неделе у меня обнаружили 2 сосуда в пуповине. 2 сосуда в пуповине – что это значит, если повод для переживаний? 2 сосуда — 1 вена и 1 артерия… 3 сосуда в пуповине при беременности говорят об отсутствии повода для беспокойства.
Доплерометрия сосудов пуповины входит в число исследований, обязательных для женщин, которые готовятся к материнству. Также по вене просачиваются в нее и питательные вещества. С врачебным вердиктом «ЕАП», расшифровывающимся как «единственная артерия» пуповины, будущие матери вынуждены столкнуться где-то в 0.5% случаев.
Одна из артерий может отсутствовать сразу, возможно и нарушение ее функциональности в процессе ожидания малыша. Приблизительно в 90% случаев патология ЕАП принадлежит к числу изолированных отклонений, не превращается в угрозу для зародыша и матери. Несмотря на возрастающую нагрузку, которая приходится на сосуд, его функционирование не нарушается.
Сосуды пуповины (2 или 3) не имеют существенного значения и на этапе родов. Главное, чтобы специалист и младший медперсонал, принимающие роды, были осведомлены о наличии патологии. Также обязательно максимально осторожное отрезание пуповины – есть риск нарушения кровотока.
Однако своевременная диагностика отклонения от этой нормы позволяет избежать риска и при одной артерии. Гинеколог обязательно назначает женщине дополнительное обследование, чтобы убедиться в отсутствии других генетических патологий, которые развиваются на фоне нарушения.
В норме пуповина содержит 3 сосуда — 2 артерии и одну вену . В случае отсутствия одной из артерий (как правило по причине врожденной гипоплазии) ставится диагноз ЕАП (единственная артерия пуповины). Отсутствие одной из артерий не ведет к ухудшению состояния плода ,т.к. оставшийся сосуд полностью компенсирует функции гипоплазированной артерии.
Сколько сосудов должна иметь пуповина — «проводник», связывающий плод с матерью в течение беременности, поставщик питательных веществ, кислорода.
Сколько сосудов в пуповине – вопрос, ответ на который абсолютно неважен для будущей жизни ребенка.
Что делать, если в пуповине обнаружены только 2 сосуда?
Встречаются ситуации, когда вместо трех артерий у будущей матери в пуповине диагностируются два кровеносных сосуда. Такой синдром не требует специфического лечения. Необходимой мерой в данной ситуации является полное обследование, включающее:
- детальное анатомическое ультразвуковое исследование;
- анализ кариотипа плода с забором ворсин хориона или амниотической жидкости;
- эхокардиографию.
Если антенатальное развитие ребенка не имеет отклонений, пациентка успешно донашивает беременность под постоянным наблюдением лечащего врача. Женщине в такой ситуации рекомендуется избегать стрессов, полноценно питаться, как можно больше времени находиться на свежем воздухе, высыпаться.
Пуповина имеет 3 сосуда: что это значит, сколько должно быть артерий при беременности?
Во время беременности плод тесно связан с матерью при помощи особого образования — пуповины. Через него он получает все необходимое для жизни и развития — кислород и питательные вещества.
Многие беременные женщины во время прохождения ультразвукового исследования узнают, что пуповина имеет 3 сосуда. Они начинают переживать и задаваться вопросом: «Нормально ли это?» В данной статье мы ответим на него и расскажем все про пуповину, в том числе и про ее возможные патологии. Надеемся, эта информация окажется полезной для вас.
Пуповина (иначе — пупочный канатик) — это специальное образование, соединяющее плод и детское место и позволяющее осуществлять фетоплацентарное кровообращение. Внешне она напоминает спирально скрученный жгут или шнур и имеет голубовато-серый цвет.
В конце третьего триместра пуповина достигает 50-60 см в длину, а ее диаметр у пупочного кольца равняется 1-2 см. Хотя могут наблюдаться и значительные отклонения от средних значений в ту или иную сторону. Вот так выглядит пуповина.
Фото это демонстрирует.
Один конец пупочного канатика прикрепляется к плаценте, а второй — к ребенку в области пупочного кольца. К детскому месту он может присоединяться в разных местах, в том числе по центру, сбоку или с края. Редко пуповина может прикрепляться к оболочкам, на некотором расстоянии от края плаценты.
В этом случае ее сосуды достигают детского места, проходя между оболочками. На всем протяжении пупочный канатик имеет изгибы, вдавления и выпуклости, возникающие из-за особенностей строения. В норме пуповина имеет 3 сосуда, из них два — это пупочные артерии, а один — тонкостенная, с широким просветом пупочная вена.
Далее по пуповинной вене она возвращается обратно, к ребенку. Около 80% всей крови доставляется в системный кровоток малыша через аранциев проток, проходящий по нижней поверхности печени и впадающий в полую нижнюю вену. Остальная кровь (около 20%) направляется в портальный кровоток между воротной и пупочными венами, через анастомоз.
Она осуществляет кровоснабжение печени ребенка.
Доплерометрия сосудов пуповины входит в число исследований, обязательных для женщин, которые готовятся к материнству. Процедура проводится на 21 неделе, с ее помощью определяется количество артерий.
Исследование позволяет своевременно выявить отклонения в развитии эмбриона и предпринять необходимые меры.
Если в результатах доплерометрии будущая роженица обнаруживает, что пуповина имеет 3 сосуда – что это означает? Если диагностировано 2 сосуда в пуповине – чем грозит это зародышу?
Чтобы понять, почему пуповина имеет 3 сосуда, что это означает, нужно разобраться в ее устройстве. Так именуется своеобразный «канат», который обеспечивает связь зародыша с материнским организмом, взаимодействие кровеносных систем.
Формирование связующего элемента полностью завершается приблизительно к 12-недельному сроку. В длину образование насчитывает 40-70 см, «используется» до появления ребенка на свет.
Сколько должно быть сосудов в пуповине? Нормой признаны 2 артерии и одна вена – 3 сосуда.
Вена служит проводником, с помощью которого кровь, насыщенная кислородом, проникает в кровеносную систему малыша из организма женщины. Также по вене просачиваются в нее и питательные вещества.
Артерии используются для выведения отработанных продуктов. 3 сосуда в пуповине при беременности говорят об отсутствии повода для беспокойства.
С врачебным вердиктом «ЕАП», расшифровывающимся как «единственная артерия» пуповины, будущие матери вынуждены столкнуться где-то в 0.5% случаев. Риск повышается, если речь идет о многоплодной беременности, достигает 5%.

