Рассеянный склероз (РС) — это заболевание с многоочаговым поражением центральной нервной системы (ЦНС). Как известно, классическими проявлениями РС являются признаки поражения пирамидной, сенсорной и мозжечковой систем, вовлечение краниальных нервов и также тазовые расстройства [1-3]. Эта клиническая симптоматика встречается в различном сочетании, отражая локализацию очагов демиелинизации в головном и спинном мозге. Тем не менее выделяют «типичные» и «нетипичные» для РС симптомы [3]. Если типичные симптомы помогают клиницисту диагностировать РС, то нетипичные заставляют искать другие причины их возникновения, и РС становится диагнозом «исключения». Одним из «нетипичных» проявлений РС являются экстрапирамидные двигательные расстройства. В литературе имеются редкие описания спастической кривошеи [4, 5], хореи, дистонии [6], дрожательного гиперкинеза при РС [7]. Единичные статьи посвящены миоклониям [8-12]. В своей клинической практике мы столкнулись с таким необычным проявлением РС, как спинальная миоклония. Поскольку это весьма необычное проявление РС, оно может представлять интерес для специалистов.
Больной А., 33 лет, работает инженером, левша. Из анамнеза жизни: наследственность пациента не отягощена. В 10-летнем возрасте отмечал развитие слабости и чувства онемения в левых конечностях, по поводу чего был госпитализирован в неврологическое отделение детской больницы с диагнозом «Острое нарушение спинномозгового кровообращения». На фоне проведенного лечения симптоматика в течение полугода полностью регрессировала, после чего больного ничего не беспокоило.
Около 3 лет назад, в возрасте 30 лет, пациент обратил внимание на периодические «подергивания» в левых кисти, предплечье и плече. Такие подергивания отмечались 2-3 раза в неделю, при целенаправленных движениях, носили спонтанный характер и учащались при волнении. Пациент не мог сдержать или уменьшить эти насильственные движения какими-либо приемами или усилием воли. Яркий свет и громкие звуки также не оказывали на подергивания никакого влияния. Поскольку выраженность насильственных движений, по оценке пациента, не была значительной, то он не обращался за медицинской помощью. С течением времени подергивания в левой руке стали возникать чаще, иногда вне зависимости от активных движений, они уже беспокоили больного в покое и сохранялись во сне. Увеличение амплитуды насильственных движений заставило пациента оставить работу и обратиться за медицинской помощью. Подергивания усиливались при эмоциональных нагрузках и уменьшались после приема алкоголя. Другие внешние факторы влияния на них не оказывали. Приступов с потерей сознания у пациентов не было.
При обследовании больного в соматическом статусе патологии обнаружено не было. При неврологическом осмотре регистрировалось легкое нарушение ассоциированных движений глазных яблок без двоения и нистагма, наблюдалась легкая сглаженность правой носогубной складки. Выявлялась гиперестезия стоп с двух сторон с уровня голеностопных суставов, гипестезия левого мизинца кисти и нижней трети внутренней поверхности левого предплечья, причем активных жалоб на изменение чувствительности пациент не предъявлял. Вибрационное и мышечно-суставное чувство было сохранно, мышечная сила — достаточной. Сухожильные рефлексы с верхних конечностей носили обычный характер, с нечетким преобладанием слева, коленные и ахилловы рефлексы были оживлены. Подошвенные рефлексы имели сгибательный тип, брюшные отсутствовали. Пальценосовую пробу слева пациент выполнял с кинетическим тремором, без интенционного компонента. Тандемная ходьба не была нарушена. Дисдиадохокинез, асинергия Бабинского и тазовые нарушения не выявлялись.
В плечевом поясе слева и левой руке фиксировались насильственные движения — толчкообразные подергивания в виде резкого попеременного сокращения мышц плеча, предплечья, разгибателей кисти и сгибателей пальцев кисти, что приводило к периодическому возникновению то умеренного (на 20-25°) разгибания в плечевом, то сгибания в локтевом (на 10-15°), то к одновременному разгибанию в лучезапястном суставах и сгибанию пальцев кисти. Особенно ярко гиперкинез проявлял себя при вытягивании рук вперед и удержании их в данном положении, с частотой до 10 в минуту. В покое выявлялись редкие гиперкинезы вышеописанного характера, но значительно меньшей амплитуды. Гиперкинез мешал пациенту совершать точные движения — он не смог написать свою фамилию. Резкий шум (хлопанье в ладоши), постукивание (по мышцам, сухожилиям) и свет не вызывали усиления миоклоний.
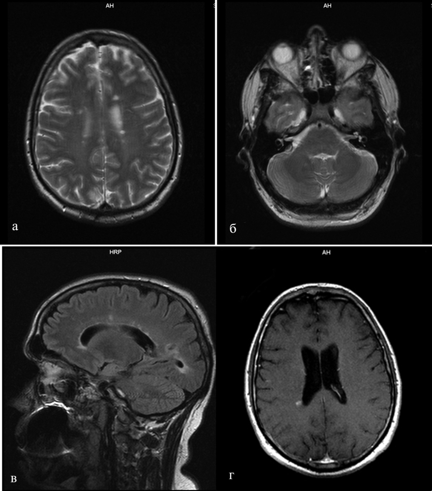
Лабораторные анализы крови и мочи были в норме. По результатам магнитно-резонансной томографии (МРТ) головного и спинного мозга были выявлены множественные очаги демиелинизации величиной 3-7 мм, гиперинтенсивные на Т2-взвешенных изображениях (Т2-ВИ) и гипоинтенсивные на Т1-взвешенных изображениях (Т1-ВИ), локализующиеся в белом веществе больших полушарий мозга, перивентрикулярных и подкорковых отделах, мозолистом теле. Аналогичный единичный очаг наблюдался в правом полушарии мозжечка (рис. 1).

На уровне сегмента С2 определялись 2 интрамедуллярных очага без четких контуров, слабогиперинтенсивные на Т2-ВИ и изоинтенсивные на Т1-ВИ, размерами 4×6 и 4×7 мм. Не исключалось наличие аналогичного очага на уровне сегментов С4-С5 и С5-С6 шейного отдела спинного мозга (рис. 2).

При электроэнцефалографии патологии выявлено не было. Во время непроизвольных сокращений мышц левой руки патологических изменений на ЭЭГ не регистрировалось. Игольчатая электромиограмма (ЭМГ) выявила разряды из нескольких двигательных единиц m. extensor dig. com. слева (сегмент С7), продолжительность разряда 70 мс и амплитуда 1400 мкВ. При проведении исследования в других мышцах, иннервируемых другими сегментами, ответы не были получены (рис. 3).
При стимуляционной ЭМГ было выявлено нарушение проведения по моторным волокнам левой руки на уровне локтя (туннельный синдром), по нервам левой руки изменений обнаружено не было.
Таким образом, больной был обследован в период эпизода ухудшения неврологического статуса. Этот эпизод развился у молодого мужчины (33 года) без предшествующей или сопутствующей инфекции/лихорадки. Обнаружение 2 и более признаков многоочагового поражения ЦНС при осмотре и выявление типичных для РС очагов при нейровизуализации (субкортикально, перивентрикулярно, инфратенториально и в спинном мозге) [13] позволили остановиться на диагнозе «вероятный рассеянный склероз». Эпизод, произошедший в детстве (слабость и онемение слева), мог быть первой атакой РС (хотя его документального подтверждения нет). Если это так, то мы имеем дело с началом РС в детском возрасте. Пациент получил стандартную пульс-терапию глюкокортикостероидами и на 3-й день лечения отметил уменьшение частоты подергиваний. Объективно при этом регистрировался миоклонический гиперкинез в левой руке, который носил больше постуральный характер и появлялся с частотой 8-10 в минуту, в покое подергивания не выявлялись. Через 1 мес миоклонии купировались полностью.
Для верификации диссеминации патологического процесса во времени и установления достоверного диагноза РС пациенту было проведено повторное МРТ-исследование головного мозга через 3 мес. По сравнению с предшествующими результатами МРТ отмечалось появление новых очагов демиелинизации слева в перивентрикулярном отделе и у заднего рога правого бокового желудочка; при введении контраста последний очаг накапливал контрастное вещество (омнискан) (см. рис. 1). Согласно критериям Макдональда [13], пациенту был выставлен диагноз: РС, ремиттирующее течение. Через 3 мес гиперкинезов в руке выявлено не было.
Рассматривая представленное наблюдение, следует еще раз отметить, что спинальные миоклонии (СМ) — довольно редкие формы гиперкинезов. Они могут быть разделены на сегментарные и проприоспинальные [14-19]. Это разделение основывается на сегментарном строении спинного мозга и связях сегментов посредством проприоспинального пути. Спинальные сегментарные миоклонии (ССМ) представляют собой непроизвольные движения, вовлекающие в гиперкинез мышцы, которые иннервируются одним или несколькими соседними сегментами спинного мозга [17, 20-22].
В приведенном наблюдении миоклонии локализовались в одной руке. Если проанализировать всю кинетику имевшегося гиперкинеза, то движения, составлявшие гиперкинез, а именно разгибание плеча (m. deltoideus, m. supraspinatus); сгибание в локтевом суставе (m. biceps brachii, m. brachialis, m. brachiradialis); разгибание кисти (m. extensor carpi radialis longus, m. extensor carpi radialis brevis, m. extensor dig. com.); сгибание пальцев кисти (m. flexor digitorum superficialis) обеспечивались мышцами, иннервация которых осуществляется несколькими соседними сегментами С5-С7 [23]. Соответственно у пациента наблюдались ССМ.
В большинстве случаев ССМ являются симптоматическими, и в их основе лежат очаги в спинном мозге, обусловленные каким-либо первичным заболеванием — инфекцией [24-26], опухолью [27], артериовенозной мальформацией [28], сирингомиелией [16], острым рассеянным энцефаломиелитом [29], вертебральной патологией [28], ятрогенией [125] и т.д. [10, 30-35]. Напомним, что у наблюдаемого больного обнаруживались очаги демиелинизации на уровне сегментов С2, С4, С5, С6 шейного отдела спинного мозга, и именно эти очаги могли служить причиной возникновения миоклонических подергиваний сегментарного характера (см. рис. 2).
Клинически ССМ чаще всего нерегулярные или же могут быть ритмичными с частотой 0,2-8 Гц и интенсивностью 1-600 в минуту [10, 16, 22, 30, 32, 36]. Амплитуда также разнообразна — от едва заметных сокращений отдельных мышц или группы мышц до интенсивных движений в суставах [8]. Тема сегментарных миоклоний при РС освещена в литературе очень скудно ввиду редкости данного состояния. J. Jankovic и R. Pardo [10] приводят описание 5 больных РС, у которых обнаруживался сегментарный гиперкинез стволового происхождения в виде небной миоклонии. Миоклонический гиперкинез у пациента с РС в наблюдаемом нами случае носил периодический, неритмичный характер, с интенсивностью до 10 раз в минуту и приводил к визуальному насильственному движению в суставах левой руки.
Проприоспинальные миоклонии (ПСМ) — второй вид СМ, который отличается от ССМ вовлечением в гиперкинез большего количества мышечных групп — наряду с конечностями подергивания наблюдаются и в туловище [15-19, 32]. Происходит это ввиду распространения патологической импульсации по проприоспинальному пути, и в гиперкинез последовательно вовлекается множество сегментов спинного мозга [14, 19]. В отличие от СCМ проприоспинальные подергивания чаще не имеют определенной этиологии. Некоторые авторы [17] связывают их возникновение с травмой шеи, опухолью, вирусным миелитом и психогенными факторами. В литературе описан случай лайм-боррелиоза, проявившегося клинически в форме ПСМ [37]. При ПСМ наблюдаются ритмичные или неритмичные аксиальные сгибательные движения, вовлекающие в гиперкинез шею, тело, конечности, с частотой около 1-6 Гц. Гиперкинезы обычно возникают спонтанно, в горизонтальном положении на спине и могут провоцироваться кожной стимуляцией области живота или при вызывании сухожильных рефлексов [17, 19]. У описываемого пациента в гиперкинез была вовлечена только одна рука, туловище и нижние конечности оставались интактными, что говорит скорее о сегментарном характере поражения, без массивного вовлечения проприоспинального пути.
Имеется единичное описание ПСМ при РС [11]. У больной РС периодически, после предшествующих чувствительных ощущений на шее (покалывание), развивались спонтанные нерегулярные подергивания в правых плече и руке. Насильственные подергивания распространялись на туловище и сгибатели бедра с правой стороны. На МРТ авторами были выявлены очаги в шейных сегментах С2, С3, С4. Развитие ПСМ авторы объясняли тем, что очаги в белом веществе могли привести к расторможению спинальной активности, но допускали, что причиной могла быть и гипервозбудимость демиелинизированного аксона, который в таком поврежденном состоянии способен спонтанно или рефлекторно генерировать импульсы патологической мышечной активности.
Для обеих разновидностей СМ характерны сохранение гиперкинезов во сне и относительная устойчивость к внешним стимулам — они не усиливаются под воздействием слуховых, зрительных, тактильных раздражителей и при двигательной активности [10, 14, 16, 27, 30], хотя в литературе и имеются описания случаев ССМ с исчезновением во сне и чувствительностью к внешним раздражителям [22, 31, 32]. Считается, что по мере прогрессирования заболевания может появиться реакция на внешние воздействия [15]. Для СМ более патогномоничен постуральный компонент — усиление гиперкинеза в определенном положении, а также усугубление подергиваний при утомлении и эмоциональных нагрузках [31, 32]. ССМ, наблюдавшиеся у изучаемого пациента, сохранялись во сне, не имели зависимости от слуховых и зрительных стимулов, однако усиливались от эмоциональных нагрузок и утомления, уменьшались на фоне приема алкоголя.
Следующей важной отличительной чертой СМ является отсутствие патологической активности на ЭЭГ. Совместное выполнение ЭЭГ-ЭМГ должно исключить наличие предшествующей мышечному сокращению гипервозбудимости коры [10, 16, 30]. В рассматриваемом случае ЭЭГ не показала очагов гипервозбудимости, что позволило с большой вероятностью исключить корковый характер гиперкинезов.
Поверхностная ЭМГ при СМ позволяет выявить ритмичные или полуритмичные разряды, которые обычно синхронны, со стереотипной продолжительностью и частотой. ЭМГ-исследование при ССМ демонстрирует разряды продолжительностью более 100 мс (до 1000 мс) и ограниченные одним или двумя соседними миотомами. При ПСМ миоклонические разряды могут длиться от 50 мс до 4 с, формируются они из абдоминальных и шейных сегментов и распространяются медленно рострально и каудально, при этом краниальные мышцы остаются интактными. Для ПСМ характерны задержка между разрядами и последовательное их распространение, что обусловлено медленным проведением импульса по проприоспинальному пути [17, 30]. В описываемом нами случае продолжительность разряда составляла 70 мс, что не очень соответствует представленному в литературе описанию сегментарных миоклоний, а больше характерно для проприоспинальных. Однако ни клинически, ни нейрофизиологически мы не наблюдали распространения насильственных сокращений мышц, что с большой вероятностью исключает проприоспинальный характер миоклоний.
Описанное нами наблюдение демонстрирует яркую картину ССМ при РС. Отсутствие эпилептической активности на ЭЭГ, наличие разрядов в мышцах левой руки (сегмент С7), вовлечение в гиперкинез мышц левой верхней конечности, иннервация которых обеспечивается 3-4 соседними сегментами, и, наконец, регистрация очагов демиелинизации в спинном мозге, а именно на уровне сегментов С2, С4, С5, С6 шейного отдела, — все это подтверждает спинальный сегментарный характер миоклоний. Причиной возникновения ССМ, скорее всего, послужили очаги демиелинизации в спинном мозге. Исчезновение гиперкинеза после терапии гормонами укрепляет наше предположение о генезе насильственных движений.
Существуют различные гипотезы механизма развития СМ [8, 21, 26, 31, 32, 38-40]. Учитывая, что миоклонический гиперкинез у наблюдаемого пациента появлялся изредка в покое и ярче всего проявлял себя при удержании позы, наиболее вероятным является вариант механизма развития, в основе которого лежит разрыв межсегментарных связей очагами демиелинизации в спинном мозге [18]. Это могло привести к локальной дизрегуляции работы гамма-мотонейронной петли с последующим возникновением спонтанных нейрональных импульсов в сегментах спинного мозга и формированием миоклонического гиперкинеза. Возможно, важное значение имело расположение очагов относительно серого вещества спинного мозга.
Таким образом, основными опорными пунктами диагностики ССМ в приведенном наблюдении могут служить: 1) вовлечение в гиперкинез ограниченной группы мышц, иннервируемых несколькими соседними сегментами спинного мозга; 2) отсутствие влияния внешних раздражителей (слуховых, зрительных, тактильных) и активных движений на степень выраженности гиперкинеза; 3) сохранность гиперкинезов во сне, усиление их под влиянием утомления и эмоций, появление миоклоний в определенном положении; 4) отсутствие гипервозбудимости на ЭЭГ; 5) патологическая ЭМГ-активность мышц в ограниченных миотомах интенсивностью 70 мс.
Лечение ССМ, в частности при РС, предусматривает терапию основного заболевания — купирование обострения применением глюкокортикостероидов. В случае отсутствия эффекта препаратом выбора считается клоназепам в дозе до 6 мг в сутки [10, 17, 18, 22, 30]. Терапия баклофеном может улучшить ночные миоклонии в ногах [10]. В литературе имеется упоминание об эффективности при СМ топирамата и леветирацетама. Тетрабеназин применяется при отсутствии эффекта от других препаратов [10, 30]. Возможно комплексное применение препаратов, например тизанидина, клоназепама и баклофена [38]. В литературе имеются описания позитивного эффекта ботулинотерапии при СМ [17, 18, 30].
В заключение отметим, что приведенное наблюдение демонстрирует ССМ, как одно из редчайших проявлений РС. Основу этого «нетипичного» симптома РС составлял очаг демиелинизации, расположенный в спинном мозге шейного отдела.
Определение
Рассеянный склероз (множественный склероз, Multiple Sclerosis) – это хроническое прогрессирующее нейродегенеративное аутоиммунное заболевание центральной нервной системы, которое поражает головной мозг, спинной мозг и зрительные нервы.
Большинство нервных волокон покрыто миелиновой оболочкой. Мозг направляет электрические импульсы по нервам в различные части тела. Данные импульсы управляют всеми нашими произвольными и непроизвольными движениями. Здоровые нервы изолированы при помощи миелиновой оболочки, которая является защитным слоем, обеспечивает питание аксона, поддерживает его структуру, предохраняет от повреждения, ускоряет передачу нервного импульса. В области потери миелина образуется рубцовая соединительная ткань, которая может исказить либо полностью заблокировать передаваемые импульсы. Какое-то время нервная система компенсирует сбои, но по мере прогрессирования заболевания выраженность симптоматики неуклонно нарастает от легкого онемения конечностей до паралича и/или слепоты.
Термин «рассеянный склероз» означает наличие множественных рассеянных на различных участках головного и спинного мозга рубцовых очагов (или демиелинизирующих бляшек).
До сих пор не известна причина, по которой иммунные клетки начинают атаковать нервные волокна своего же организма. Существует мнение, что на развитие заболевания могут влиять многие факторы: генетическая предрасположенность, активное и пассивное курение, дефицит витамина D, воздействие ретровирусов, вируса герпеса человека, в частности Эпштейна-Барр, бактериальные инфекции (стафилококки, стрептококки), высокое содержание соли в продуктах питания, плохая экология, травмы головного мозга (сотрясения, ушибы), повреждения позвоночного столба, избыточный вес (особенно у подростков и детей), стрессы, некоторые аутоиммунные заболевания. Повышенному риску развития рассеянного склероза подвержены жители северных регионов и представители европеоидной расы.
Заболевание чаще диагностируют в возрасте 20–45 лет, но может встречаться и у детей. Мужчины болеют в 2 раза реже женщин, но именно у них патология протекает тяжелее и хуже поддается терапии.
Классификация заболевания
Выделяют некоторые типичные варианты течения рассеянного склероза:
- Ремиттирующее течение – наиболее частый вариант в дебюте заболевания. Характеризуется периодами обострений, чередующихся с периодами ремиссий (с полным или неполным восстановлением функций в периоды между обострениями), отсутствием нарастания симптомов в периоды ремиссий. У многих пациентов ремиттирующее течение в последующем переходит во вторичное прогрессирование (с обострениями или без обострений);
- Прогрессирующее течение:
- первично-прогрессирующее – с самого начала заболевания в течение не менее одного года наблюдается нарастание тяжести симптомов заболевания без периодов улучшения;
- вторично-прогрессирующее – тяжесть симптомов заболевания нарастает на протяжении не менее 6 месяцев без стабилизации или улучшения после ремиттирующей фазы болезни, возможно прогрессирование с обострениями или без них.
Также рассеянный склероз классифицируют по активности заболевания — обострение или обнаружение новых очагов в головном и/или спинном мозге при МРТ-исследовании. Можно выделить следующие формы:
- активный рассеянный склероз (при наличии обострений или признаков активности заболевания по данным МРТ);
- неактивный рассеянный склероз (без обострений и без признаков активности по данным МРТ);
- рассеянный склероз с прогрессированием (выявляются новые очаги поражения);
- рассеянный склероз без прогрессирования (новые очаги поражения нервной системы не выявлены).
Различают также несколько особых форм заболевания, которые нуждаются в агрессивных методах лечения:
- злокачественная форма (болезнь Марбурга) характеризуется очень быстрым прогрессированием без периодов ремиссии, в самых тяжелых случаях может приводить к смерти пациента;
- агрессивная, или быстропрогрессирующая форма, при которой в течение года наблюдается два и более эпизода обострения, ведущих к нарастанию уровня инвалидизации;
- высокоактивная форма характеризуется двумя и более обострениями за год и значительным увеличением очагов поражения нервной системы по данным МРТ.
Самые первые симптомы появляются тогда, когда поражено уже около 50% нервных волокон – то есть сначала заболевание никак себя не проявляет. Это объясняется тем, что здоровые клетки мозга берут на себя функцию пораженных участков. Поражение мозжечка и его путей: выраженное напряжение в ногах или в руках (за счет повышения мышечного тонуса), возможны параличи, нарушение координации движений, пошатывание при ходьбе, непроизвольные движения, тремор рук и ног, нарушение речевой функции, головокружения.
Поражение зрительного нерва: снижение зрения на один глаз вплоть до полной слепоты; черная точка в центре поля зрения; ощущение мутного стекла, пелены перед глазом — это проявления ретробульбарного неврита (патологии зрительного нерва на участке за глазным яблоком в результате поражения его миелиновой оболочки). Возникает нарушение движения глазного яблока, развивается двоение изображения (диплопия).
Поражение спинного мозга: постоянная усталость и утомляемость, потеря контроля над опорожнением кишечника и мочевого пузыря, запоры и задержка мочеиспускания, изменения сексуальной функции, радикулопатии, симптом Лермитта (при наклоне головы вперед возникает ощущение прохождения электрического тока по позвоночнику, иногда отдающее в конечности), чувство жжения или боль в ответ на прикосновение, покалывание или онемение в конечностях, развитие спастического парапареза.
Поражение ствола головного мозга: слабость или спазм мышц лица, перемежающееся онемение одной половины лица, центральный или периферический парез лицевого нерва, снижение слуха, снижение вкусовой чувствительности.
Поражение больших полушарий головного мозга: снижение памяти и внимания, скорости выполнения нейропсихологических тестов, нарушения поведения, излишняя тревожность, плохое настроение, депрессия или эйфория. Это необходимо учитывать и стараться избегать перегрева, который может спровоцировать приступ. Лишенные миелиновой оболочки нервные волокна крайне чувствительны к повышению температуры.
- симптомы проявляются в различных отделах центральной нервной системы;
- наличие по крайней мере двух приступов болезни, возникновение которых разделено по времени периодом не менее одного месяца.
Диагноз «рассеянный склероз» ставится в последнюю очередь, то есть после исключения других причин подобного многоочагового поражения мозга.
Методы диагностики:
Оценка жалоб, симптоматики, клинических нарушений.
Пациенту с подозрением на рассеянный склероз рекомендованы следующие лабораторные анализы для оценки общего состояния организма и определения возможности назначения последующей терапии:
- клинический анализ крови развернутый;
Лечение рассеянного склероза
Лекарства, которое бы полностью избавляло от рассеянного склероза, нет, но можно облегчить его симптомы и снизить частоту обострений, а также замедлить развитие болезни. Если симптомы выражены слабо и обострений нет, лечение может и не понадобиться.
Лечение рассеянного склероза можно разделить на три основные группы:
- лечение обострений;
- препараты, изменяющие течение рассеянного склероза;
- лечение конкретных симптомов.
Лечение обострений рассеянного склероза
Если вам кажется, что началось обострение, обратитесь к своему лечащему врачу. Иногда ухудшение самочувствия при рассеянном склерозе бывает вызвано не обострением заболевания, а другими причинами, например, острой инфекцией и др. Поэтому врач должен разобраться в причинах происходящего.
Если симптомы появились в результате обострения, рекомендуется пульс-терапия стероидами. Это 3—5-дневный курс лечения высокими дозами кортикостероидных гормонов, обычно метилпреднизолоном. Гормоны назначают в виде внутривенных инъекций или в таблетках. Лечение обострений обычно проводят в стационаре.
До конца не ясно, чем обусловлен эффект стероидов. Есть версия, что они подавляют иммунную систему и не позволяют ей атаковать миелин в центральной нервной системе. Стероиды также уменьшают количество жидкости в очаге повреждения нервных волокон. Эти препараты помогают восстановиться после обострения, но они не влияют на его результат. Они также не влияют на течение болезни и не предотвращают обострение в дальнейшем.
Стероиды могут иметь продолжительные побочные эффекты, например, остеопороз (слабость и хрупкость костей), набор веса и сахарный диабет, поэтому их не рекомендуется принимать более 3 недель подряд. В год разрешается проводить не более 3 курсов лечения стероидами.
Лечение, изменяющее течение рассеянного склероза
Лечение, модулирующее (изменяющее) течение болезни помогает снизить частоту обострений, их выраженность, замедлить развитие болезни, снизить вероятность инвалидизации больных с рассеянным склерозом, стабилизировать состояние. Существуют различные лекарственные средства, модифицирующие течение болезни. Они минимизируют очаги повреждения и рубцевания миелина в центральной нервной системе. Такие лекарства можно принимать не при всех видах рассеянного склероза. Они прописываются при рецидивирующе-ремиттирующем и вторично-прогрессирующем рассеянном склерозе, если он соответствует определенным критериям.
Интерферон бета-1а и интерферон бета-1b вводятся в организм в виде инъекций. Лечение интерфероном бета может быть назначено если у вас было по крайней мере два обострения за последние два года. Они также назначаются людям с вторично-прогрессирующим рассеянным склерозом, у которых продолжают происходить обострения, приводящие к постепенной потере трудоспособности.
Все интерфероны вызывают легкие побочные эффекты, например, простудные симптомы (головная боль, озноб и небольшая температура) в течение 48 часов после укола. Интерферон бета не рекомендуется людям младше 18 лет, беременным или кормящим женщинам. Как мужчинам, так и женщинам необходимо прекращать прием препарата по крайней мере за 3 месяца до попытки зачатия ребенка. Если вы обнаружили, что беременность наступила на фоне приема интерферона бета, как можно скорее обратитесь к своему лечащему врачу, чтобы обсудить с ним другие варианты лечения.
Интерферон бета-1а выпускается под коммерческим названием «Авонекс», «Ребиф», «Генфаксон» и «СинноВекс», интерферон бета-1b — «Бетаферон» и «Экставиа».
Глатирамера ацетат продается под торговым названием «Копаксон». Его нужно вводить ежедневно в виде подкожной инъекции. Как правило, глитирамера ацетат не вызывает заметных побочных эффектов, но в редких случаях может вызывать чувство стеснения в груди. Лечение глатирамера ацетатом может быть назначено если у вас было по крайней мере 2 обострения за последние 2 года. «Копаксон» разрешается применять только людям с рецидивирующе-ремиттирующим типом рассеянного склероза.
Глатирамера ацетат не рекомендуется людям младше 18 лет и беременным или кормящим женщинам. Прием препарата должен быть прекращен за 3 месяца до планируемой беременности. Если беременность наступила во время лечения, обратитесь к своему лечащему врачу, чтобы обсудить с ним смену лекарства.
Терифлуномид продается под торговым названием «Абаджио» и выпускается в форме таблеток. Его необходимо принимать внутрь один раз в день. Обычно прием терифлуномида хорошо переносится, хотя у некоторых людей могут появиться побочные эффекты: нарушения работы печени, тошнота, головная боль, понос, частичное или полное выпадение волос.
Лечение терифлуномидом может быть назначено если у вас было по крайней мере 2 обострения за последние 2 года. Он не рекомендуется людям с нарушениями работы печени, детям младше 18 лет, беременным или кормящим женщинам. Как и предыдущие препараты, его нужно отменить за 3 месяца до планируемой беременности.
Натализумаб продается под торговым названием «Тизабри» вводится внутривенно один раз в 28 дней. Он может вызывать различные побочные эффекты, включая головную боль, тошноту и рвоту, а также зудящую сыпь. На фоне лечения натализумабом в редких случаях происходит развитие прогрессирующей мультифокальной лейкоэнцефалопатии. Это редкое, но тяжелое заболевание, которое вызывает разрушение миелина в нервных волокнах, подобно действию рассеянного склероза. Мультифокальная лейкоэнцефалопатия может вызывать нарушения зрения и речи, а впоследствии — паралич.
Лечение натализумабом может быть предложено в следующих случаях:
- у вас учащаются или усиливаются обострения несмотря на лечение интерферонами бета или глатирамера ацетатом;
- у вас в год бывает 2 и более обострения и увеличивается число очагов поражения, видных на МРТ.
Натализумаб не подходит для применения людям младше 18 и старше 65 лет, людям с онкологическими заболеваниями и ослабленной иммунной системой, например, ВИЧ-положительным.
Финголимод выпускается под торговым названием «Гиления», «Несклер» в форме таблеток. Его необходимо принимать внутрь 1 раз в день. Обычно он хорошо переносится организмом, хотя у некоторых людей могут появиться побочные эффекты: повышенный риск инфекционных заражений, нарушения работы печени и зрения (макулярный отек). При приеме первой дозы финголимода возможны серьезные нарушения ритма сердцебиения, поэтому первую дозу следует принимать в больнице под присмотром врача. Вам могут предложить лечение финголимодом, если у вас бывают обострения несмотря на лечение одним из интерферонов бета.
Финголимод не рекомендуется людям с некоторыми болезнями сердца, детям младше 18 лет, беременным или кормящим женщинам. Отменить препарат нужно за 3 месяца до беременности. Если беременность наступила во время лечения, необходимо как можно скорее обратиться к врачу.
Симптоматическая терапия рассеянного склероза
Большое значение в улучшении качества жизни при рассеянном склерозе имеет симптоматическое лечение, то есть прием препаратов, которые никак не влияют на течение болезни, но значительно снижают выраженность её симптомов. Некоторые симптомы лучше поддаются лечению, чем другие.
Нарушения зрения, вызванные рассеянным склерозом, зачастую проходят самостоятельно в течение нескольких недель, поэтому лечения может не понадобиться. Однако в случае если симптомы выражены очень сильно, вам могут назначить стероиды, чтобы ускорить процесс восстановления. Если у вас нарушено движение глаз (нистагм), вам могут назначить такие лекарственные средства, как габапентин, баклофен или клоназепам.
Мышечные спазмы и спастичность лечатся с помощью физиотерапии. Растяжение с помощью специальных упражнений и аппаратов позволяет избежать постоянного напряжения (спастичности) мышц. Для этих же целей используется массаж, нейро-мышечная электростимуляция и другие физиотерапевтические методики.
При более сильных спазмах вам могут назначить лекарственное средство для расслабления мышц и снятия спазмов. Как правило, назначается баклофен или габапентин, хотя есть и другие средства: тизанидин, диазепам, клоназепам и дантролен. Они вызывают такие побочные эффекты, как головокружение, слабость, тошнота и понос, поэтому перед приемом проконсультируйтесь со своим лечащим врачом. В тяжелых случаях рекомендуется использовать специальные шины или утяжелители на ногах. Иногда применяются уколы ботулотоксина или введение лекарств в спинномозговую жидкость.
Чтобы избежать контрактуры — ограничения движения в суставах, в связи с болезненным сокращением мышц, необходимо выполнять специальные упражнения на растяжку, используя гипсовые повязки и съемные шины. При мышечной слабости применяются укрепляющие упражнения, чтобы здоровые мышцы могли компенсировать утраченную функцию ослабленной мышцы. Существуют специальные средства, снижающие дрожь в теле — тремор, а также головокружение, которое мешает нормально передвигаться.
Боль можно лечить такими лекарственными средствами как габапентин или карбамазепин, а также антидепрессантом, который называется амитриптилин. Такие препараты помогают справиться с нейропатичекой болью: острой, пронизывающей болью или повышенной чувствительностью кожи и жжением. При мышечной боли, связанной с напряжением и спастичностью помогает физиотерапия. Если боль более сильная, вам могут назначить обезболивающие или антидепрессанты. Кроме того, в продаже есть портативные приборы для чрезкожной электростимуляции, которая помогает облегчить боль. Таким устройством можно пользоваться дома.
Мышление и эмоции. Если у вас случаются резкие перепады настроения, например, вы начинаете плакать или смеяться без какой-либо видимой причины, обратитесь за помощью к психотерапевту. Депрессию у людей с рассеянным склерозом можно лечить антидепрессантами. Если вы часто испытываете чувство тревоги или волнения, психотерапевт может прописать вам антидепрессанты или бензодиазепины — тип успокоительного. Клинические психологи могут помочь справиться с депрессией с помощью когнитивно-поведенческой терапии.
Хроническая усталость — одно из самых частых проявлений рассеянного склероза. Для лечения быстрой утомляемости, слабости и упадка сил врач может назначить амантадин. Хотя этот препарат бывает эффективен не во всех случаях.
При гиперактивности мочевого пузыря вам могут прописать антихолинергические средства, такие как оксибутинин или толтеродин, а в случае их неэффективности — мирабегрон. С частыми позывами к мочеиспусканию по ночам поможет справиться лекарство, которое называется десмопрессин.
При гипоактивности мочевого пузыря (если пузырь не опорожняется полностью) вам могут поставить катетер. Он представляет собой небольшую трубку, которая вводится в мочеиспускательный канал. По ней отходят излишки мочи. Вас также могут направить к урологу на специализированное лечение ботулотоксином или на электротерапию мышц мочевого пузыря. Также могут помочь упражнения по тренировке мочевого пузыря. Подробнее об этих методах читайте в статье «Недержание мочи».
Нарушения работы кишечника, например, запоры можно лечить путем смены рациона и приема слабительного. Более тяжелые запоры необходимо лечить свечами, которые вводятся в задний проход, или клизмами, когда через задний проход и прямую кишку вводится лекарственный раствор, который размягчает и вымывает каловые массы. Недержание кала можно лечить вяжущими (противопоносными) лекарствами. Другим способом является тренировка мышц тазового дна (упражнения Кегеля), которые укрепляют мышцы, контролирующие функции кишечника и мочевого пузыря.
Клинические исследования при рассеянном склерозе
Клинические исследования — это испытания новых методов лечения или препаратов, которые проводятся под строгим контролем, обеспечивающим их безопасность и точность. Участники клинических исследований иногда достигают лучших результатов лечения, чем больные, получающие традиционную терапию. В борьбе с рассеянным склерозом были достигнуты значительные успехи благодаря клиническим исследованиям новых методов лечения и их комбинаций по сравнению со старыми.
Если вам предложат принять участие в исследовании, ознакомьтесь с подробной информацией о нем. Для участия нужно будет подписать форму информированного согласия. Вы можете отказаться от участия в исследовании, и это никак не отразится на вашем лечении.
Информацию о том, как найти проводимые в России и за рубежом клинические испытания можно . Также ознакомиться с проходящими сейчас в России исследованиями препаратов от рассеянного склероза .
Альтернативные методы лечения рассеянного склероза
Утверждается, что методы нетрадиционного лечения облегчают симптомы рассеянного склероза, однако клинических доказательств их эффективности очень мало или нет вообще. Многие думают, что самолечение безвредно, хотя на самом деле оно может оказаться опасным. Как и в случае с любым другим альтернативным лечением, не следует заменять им назначенные врачом средства. Если вы решили использовать альтернативные методы вместе с прописанными лекарствами, сообщите об этом вашему лечащему врачу.
Есть версия, что рацион, богатый линолевой кислотой, может сократить и облегчить обострения рассеянного склероза, а также замедлить развитие заболевания, однако достаточных медицинских доказательств этого нет.