За последние несколько десятилетий врачи наблюдают не только увеличение распространения сердечнососудистых патологий, но и уменьшение возраста пациентов. Кроме того, больные не спешат обратиться за врачебной помощью, и это может способствовать не только значительному снижению качества жизни, но и в тяжелых случаях привести к летальному исходу.
Дисциркуляторная энцефалопатия 2 степени относится к так называемым «помолодевшим» заболеваниям, и при отсутствии лечения может привести не только к получению инсульта, но и к инвалидности. Итак, что же это за болезнь, можно ли распознать ее на ранних сроках, какие методы диагностики используются для постановки точного диагноза и можно ли вылечить данную патологию? Обо всем этом – в нижеприведенной статье.
Что это такое
Дисциркуляторная энцефалопатия 2 степени – это патология, при прогрессировании которой наблюдается ускоренное поражение всех тканей головного мозга. Происходи это вследствие снижения функционирования сосудов. Поэтому в определенных участках мозга начинает наблюдаться постепенное отмирание тканей, которое захватывает все большие участки.
Соседние области мозга начинают брать на себя дополнительные функции. Если не производить никакого лечения, то такие связи не смогут выстроиться. Постепенно происходит снижение качества жизни, больной все время чувствует себя плохо, не может нормально работать и отдыхать. Часто больным присваивается инвалидность. Всего различают 3 стадии заболевания:
- Первая
Происходящие изменения в головном мозге носят незначительный характер, однако отмечается проявление характерной симптоматики. На данной стадии болезнь легко спутать с другими патологиями ЦНС. Пациенты жалуются на снижение работоспособности, постоянную усталость и сонливость.
Могут наблюдаться головные боли, постоянный шум в ушах. Больным становится непросто заснуть, все чаще возникают беспричинная нервозность и упадническое настроение, депрессивные состояния.
- Вторая
В некоторых случаях ее не отличают от первой стадии. Происходит это в тех случаях, когда характерная симптоматика сохраняется на протяжении полугода. На данном этапе наблюдается прогрессирование негативных проявлений болезни.
Функциональные нарушения мозга явно заметны, но пациент пока еще может сам за собой ухаживать и не нуждается в постоянном контроле.
- Третья
На данном этапе изменения при ДЭП 2 степени являются необратимыми и носят выраженный характер. Больному требуется уход и контроль, так как он не может позаботиться сам о себе, а его действия представляют опасность для окружающих.
На данной стадии обычно присваивается инвалидность, а терапевтическое лечение направлено на продление сроков жизни, при этом ее качество не улучшается.
Длительность жизни при дисциркуляторной энцефалопатии 2 ст. зависит не только от скорости и качества проводимого лечения, но и от состояния здоровья и индивидуальных особенностей больного.
Заболевание, диагностированное в молодом возрасте, стремительно развивается, но и быстро вылечивается. У пожилых пациентов болезнь развивается медленно, но при этом приводит к инвалидности в подавляющем большинстве случаев.
Классификация
Для наиболее полной и точной постановки диагноза необходимо знать не только разновидность недуга, но и характер его течения. Именно с этой целью было разработано несколько основополагающих классификаций дисциркуляторной энцефалопатии.
Виды ДЭП по причинам и механизмам формирования:
- Гипертоническая разновидность болезни развивается у людей, длительное время страдающих от периодических колебаний артериального давления. Для неё типично нарастание симптомов в течение нескольких дней, что сопровождается мучительными головными болями.
- Атеросклеротическая разновидность болезни формируется из-за сужения сосудистого просвета. В артериях разрастаются жировые бляшки, нарушающие процесс нормального кровотока, что негативно сказывается на функции мозга.
- Венозная энцефалопатия характеризуется поражением преимущественно крупных сосудистых стволов шеи. В них образуются кровяные сгустки, препятствующие дальнейшему прохождению жидкости.
Разновидности недуга по характеру течения:
- классическая ДЭП — развивается за 5–8 лет;
- галопирующая — симптомы нарастают за несколько месяцев;
- ремитирующая — чередование обострений и ремиссий.
Существует несколько ключевых разновидностей дисциркуляторной энцефалопатии 2 степени, различающихся спецификой течения и симптоматикой:
- Наиболее общераспространенный тип дэп 2 степени – атеросклеротический.
Причина банальна и страшна масштабами своей встречаемости – закупорка мозговых сосудов атеросклеротическими бляшками, затрудняющими кровоток и нормальные процессы мозговой деятельности.
- Второй по распространенности тип – гипертонический
Проявляется как у молодых пациентов, так и у пожилых. Зачастую развивается до тяжелой формы за короткий срок. Главный симптом – скачкообразное острое повышение артериального давления до высоких цифр. Характерно изменение психоэмоционального состояния по типу апатичности и заторможенности.
- Третий тип – венозная энцефалопатия.
Причина кроется в затрудненной оттоке крови от мозга по венам, это ведет к выпоту жидкой фазы крови в ткани, окружающие сосуды мозга и его отечности. Хронический застой венозной крови провоцирует усугубление ДЭП.
- Смешанный тип.
Данная форма объединяет в себе признаки всех трех вышеописанных форм. Симптоматика переменчива, отчего у лечащего врача могут возникать определенные трудности при постановке диагноза.
Встречаемые симптомы – рвота, дискоординация, снижение внимания, скудность и вялость мышления, нестабильность настроения, изменения глазного дна, провалы памяти.
Такое заболевание, как ДЭП подразумевает присутствие ряда синдромов:
- Вестибулярно-координационный синдром – для этого синдрома характерно нарушение в работе вестибулярного аппарата, ответственного за нормальную координацию движений и пространственного ощущения.
- Диссомниеский синдром – нарушения сна во всех проявлениях.
- Цефалгический синдром – дословно означает тяжелую головную боль, а также присутствие в ушах звона, шума, иногда – рвота.
- Когнитивный синдром – подразумевает нарушение мышления, особенно ярко проявляющиеся после активного умственного труда, чаще в вечернее время.
Причины возникновения
Дисциркуляторная энцефалопатия 2 степени может возникнуть по целому ряду причин. В зависимости от вида негативных факторов, различают 3 формы заболевания, у каждого из которых имеются собственные причины возникновения:
Гипертоническая. Часто появляется у пациентов с повышенным артериальным давлением, печеночной недостаточной и сопутствующими аутоиммунными заболеваниями. Для нее характерно резкое начало на фоне высокого АД, что приводит к постоянному спазму сосудов и сужению их просвета.
Венозная. Ею подвержены люди, страдающие от сердечной либо легочной недостаточности, онкобольные и гипертоники. При данной форме дисциркуляторной энцефалопатии 2 ст. происходит сдавливание сосудов окружающими тканями, вследствие чего не только нарушается кровоток, но и обменные процессы. Токсины перестают выводиться, и это приводит к развитию воспалений.
Атеросклеротическая энцефалопатия 2 степени. Основная причина возникновения – неправильное питание и большое количество холестерина в крови. Происходит сужение просвета сосудов головного мозга, вследствие чего ухудшается питание тканей, наблюдается кислородное голодание.
Также ДЭП 2 ст. может иметь смешанный генез, при котором патология развивается на фоне нескольких неблагоприятных факторов, характерных для разных форм заболевания.
Кроме всех вышеописанных причин, следующие факторы влияют на возникновение болезни:
- курение и алкоголизм;
- видимые нарушения в анализах и составе крови;
- регулярные отравления токсическими веществами в быту и на производстве;
- —остеохондроз— шейного отдела позвоночника.
При наличии хотя бы нескольких факторов, способных привести к развитию ДЭП 2 степени, следует как можно внимательнее относиться к собственному здоровью и при возникновении настораживающей симптоматики обратиться к врачу.
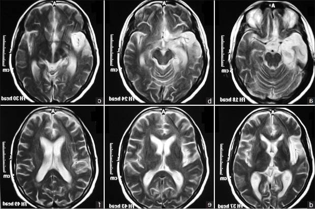
МР-признаки дисциркуляторной энцефалопатии
При возникновении вышеперечисленных симптомов стоит немедленно обратиться к невропатологу, который направит на дополнительные инструментальные исследования. Во время прохождения МРТ врач может заподозрить наличие дисциркуляторных изменений по специфическим МР – признакам:
- сосудистые гипотензивные включения;
- признаки гидроцефалии;
- наличие кальцинатов (атеросклеротических бляшек);
- сужение или закупорка позвоночных, базиллярных, сонных сосудов.
- Инсульт при гипертоническом кризе — что делать и как лечить
- Гипертония при шейном остеохондрозе: лечение
- Алкогольная энцефалопатия головного мозга — симптомы, степени, лечение и прогнозы
Симптомы
При возникновении системных нарушений кровоснабжения мозга у больного начинают постепенно проявляться и нарастать характерные симптомы. Если начать лечение как можно скорее, то энцефалопатия 2 ст. поддается коррекции, и пациент не будет страдать от значительного ухудшения самочувствия и снижения качества жизни.
Если же не предпринимается никаких мер, то постепенно проявления недуга начинают указывать на значительные органические изменения в мозге. К классическим симптомам ДЭП 2 степени относятся:
- головные боли, которые возникают постоянно и беспричинно, носят навязчивый характер;
- головокружение, ухудшение координации, неровная походка. Выполнение действий, связанных с мелкой моторикой рук, представляет известные сложности;
- больной страдает от регулярных приступов рвоты и тошноты, даже при отсутствии предпосылок к их возникновению;
- пациенты жалуются на плохой сон, панические атаки, повышенную нервную возбудимость. Часто наблюдается плаксивость и беспричинная гневливость;
- при осмотре у офтальмолога отмечается расширение сосудов глазного дна;
- наблюдаются проблемы с памятью и речью, происходит снижение слуха. Иногда заметна мелкая дрожь рук и ног;
- у больных меняется выражение лица, оно становится бледным, человеку сложно выражать эмоции из-за ухудшения функционирования мышц лица.
Данные симптомы могут наблюдаться как постоянно, так и периодически. Замечено, что обострение состояния возникает в вечернее время. Интересной особенностью является и то, что у разных людей данные проявления имеют различную интенсивность. Например, кто-то страдает от бессонницы, кто-то от спутанности сознания.
Осложнения
Без надлежащего лечения и диспансерного наблюдения пациентов возможно прогрессирование заболевания и следующие осложнения:
- Кровоизлияние в головном мозге и инсульт;
- Отек головного мозга;
- Инфаркт;
- Деменция.
Инвалидность
На сегодняшний день инвалидность присваивается в случае, когда больной становится не в состоянии выполнять трудовые обязанности по причине установленного диагноза «дисциркуляторная энцефалопатия».
Возможность инвалидизации при ДЭП 1 степени невысока.
При ДЭП 2 степени заболевания пациентам присуждается 3 группа инвалидности, если они способны частично исполнять трудовые обязательства.
Вторая группа присуждается как при 2, так и при 3 степенях ДЭП – в этом варианте у больных имеются периодические провалы в памяти. Профессиональные обязанности ни в каком объеме выполнять не могут.
Первая группа инвалидности может быть присвоена только при ДЭП 3 степени, что свидетельствует об огромной опасности данной формы.
Вышеперечисленные пункты отражены в Федеральном Законе Российской Федерации «О социальной защите инвалидов». Присвоение определенной группы осуществляется после прохождения медицинского освидетельствования.
Сколько живут
Сколько можно прожить с проблемой? Диагноз ДЭП – далеко не приговор для больных. Своевременно начатое грамотное лечение способны замедлить прогрессирование патологии мозгового нарушения на десятилетия.
При игнорировании симптомов болезни переход в следующую стадию происходит приблизительного через 18-24 месяца.
Для второй стадии ДЭП характерна высокая вероятность развития осложнений: отек головного мозга, тромбоз кровеносных сосудов, предынсультные состояния и прочие. Если лечение отсутствует или выполняется через раз, наступает третья стадия, при которой человек полностью утрачивает способность к каким-либо действиям.
Пациенту могут дать третью группу инвалидности при ДЭП 2 степени, если ему становится трудно выполнять профессиональную деятельность. В более тяжелых случаях, если пациент не может работать, он получает вторую группу инвалидности. При 3 степени ДЭП дают 1 группу инвалидности, поскольку большинство таких больных не в состоянии самостоятельно обслужить себя.
Диагностика
При подозрении на ДЭП 2 степени следует как можно скорее обратиться к неврологу. Врач соберет анамнез, выслушает жалобы пациента. Также в распоряжении специалистов имеются тесты, которые помогают определить когнитивные нарушения и проблемы с координацией и моторикой. Пациенту назначают биохимический анализ крови, определяют уровень холестерина и артериальное давление.
Для прояснения диагноза могут быть дополнительно назначены следующие обследования:
- МРТ либо КТ головного мозга помогут определить степень поражения тканей органа.
- При помощи допплерографии удастся оценить состояние сосудистой системы.
- Проводится проверка рефлексов и нейропсихологические исследования для определения тяжести повреждений функций ЦНС.
Благодаря таким исследованиям больному не только ставят диагноз, но и выявляют степень поражения тканей мозга. Это способствует назначению адекватного лечения, которое поможет улучшить состояние пациента.
Лечение
Терапия подбирается строго индивидуально, причем в лечении врачи используют комплексный подход, сочетая медикаментозные и немедикаментозные методы:
Лекарства. Для лечения каждого вида патологии врач подбирает собственный препарат. Это медикаменты, направленные на стабилизацию уровня АД, устранение холестериновых отложений, успокоительные и транквилизаторы. Также показан прием витаминов.
Немедикаментозное лечение включает в себя проведение физиотерапевтических процедур, избегание стрессовых ситуаций, пребывание на свежем воздухе, ЛФК, борьба с ожирением и отказ от вредных привычек, консультации с психотерапевтом.
Диетическое питание. Из рациона исключают блюда, которые негативно влияют на состояние сосудов. Это жареные, копченые, соленые продукты, полуфабрикаты, чипсы и снеки, сладкие газировки. Вместо этого рацион обогащают рыбой, мясом птицы, овощами, фруктами и зеленью.
Комплексный подход будет способствовать позитивной динамике при ДЭП 2 степени, поможет больному хорошо себя чувствовать и повысит продолжительность и качество жизни.
Профилактика возникновения
Чтобы обезопасить себя от риска возникновения дисциркуляторной энцефалопатии любой степени, следует придерживаться некоторых профилактических мер:
- Своевременно пролечивать любые системные болезни, а также проходить регулярные осмотры при наличии хронических заболеваний.
- Придерживаться принципов здорового питания. Исключить из рациона жирные, копченые и соленые продукты, увеличить долю зелени, фруктов, овощей и морепродуктов.
- Вести здоровый образ жизни. Отказаться от вредных привычек, регулярно гулять на свежем воздухе и заниматься спортом.
- Снизить количество психотравмирующих ситуаций, научиться бороться со стрессом.
Вышеописанные рекомендации легко выполнять при наличии желания. Они помогут не только предотвратить развитие сложного заболевания, но и будут способствовать улучшению качества жизни.
Такая болезнь, как дисциркуляторная энцефалопатия 2 степени, требует своевременного выявления и грамотного лечения. С данным заболеванием можно вести нормальный образ жизни. Важно лишь придерживаться всех предписаний лечащего врача и регулярно проходить профилактические осмотры, чтобы исключить риск перехода в более тяжелую стадию.
Терапевтические мероприятия
Лечение ДЭП на стадии субкомпенсации подбирается в зависимости от возраста пациента и причины развития патологии. Чем старше заболевший, тем дольше и сложнее будет протекать терапия. В детском же возрасте бывает достаточно физиотерапевтических процедур.
Начать рекомендуется с пересмотра образа жизни и режима питания. Самый важный этап — отказ от вредных привычек: курения и употребления алкоголя. Умеренные физические нагрузки и контроль массы тела снижают риск возникновения атеросклеротической формы энцефалопатии.
В рацион следует включить продукты, богатые магнием, кальцием и другими необходимыми для нормальной работы головного мозга веществами:
- рисовую и овсяную кашу;
- нежирное мясо;
- овощи и фрукты.
От жирных, жареных и острых блюд рекомендуется отказаться. Дополнительно назначаются иммуностимуляторы и витамины. При соблюдении этих простых рекомендаций состояние пациента начнет улучшаться, симптомы энцефалопатии исчезнут. Ведение здорового образа жизни поможет избавиться и от некоторых других хронических заболеваний.
Гипотензивные препараты применяются при дисциркуляторной энцефалопатии первой стадии, вызванной регулярным повышением артериального давления.Венотоники укрепляют стенки сосудов, препятствуют возникновению кровоизлияний.Мочегонные препараты удерживают в организме калий, который необходим для нормального функционирования головного мозгаКроме того, они выводят лишнюю жидкость, предотвращая развитие отечности.
Дополнительно назначаются средства, обладающие общеукрепляющим действием.Вылечить ДЭП атеросклеротического генеза можно с помощью препаратов никотиновой кислоты, фибратов и станов
Последние способствуют разрушению холестериновых бляшек и препятствуют образованию новых.Важной частью патогенетической терапии является прием препаратов, направленных на расширение сосудов и защиту тканей головного мозга от разрушения.. Физиотерапия — безболезненный и даже приятный способ лечения ДЭП 1 стадии
Он включает массаж, радоновые и кислородные ванны, лазерное воздействие, электросон и иглоукалывание
Физиотерапия — безболезненный и даже приятный способ лечения ДЭП 1 стадии. Он включает массаж, радоновые и кислородные ванны, лазерное воздействие, электросон и иглоукалывание.
В качестве вспомогательной терапевтической методики используется лечение народными средствами. Перед применением того или иного натурального средства необходимо посоветоваться с врачом и исключить возможность возникновения аллергических реакций.
Боярышник издавна используется для восстановления кровообращения и нормальной работы сердечно-сосудистой системы. Растение благотворно влияет на головной мозг, обладает успокоительным действием. Ягоды принимают в течение всего курса лечения в количестве не более 200 г.
Сколько можно прожить с дисциркуляторной энцефалопатией? На 1 стадии заболевание имеет достаточно благоприятный прогноз. При своевременном выявлении нарушения можно замедлить и даже остановить его развитие. Пациент, имеющий данное заболевание, может прожить столько же, сколько полностью здоровый человек. При правильном лечении признаки ДЭП не появляются.
Поэтому необходимо обращать внимание на малейшие проявления заболевания и своевременно проходить обследование
Общие данные
Дисциркуляторная энцефалопатия (ДЭП) является широко распространенным в неврологии заболеванием. Согласно статистическим данным дисциркуляторной энцефалопатией страдают примерно 5-6% населения России. Вместе с острыми инсультами, мальформациями и аневризмами сосудов головного мозга ДЭП относится к сосудистой неврологической патологии, в структуре которой занимает первое место по частоте встречаемости.
Традиционно дисциркуляторная энцефалопатия считается заболеванием преимущественно пожилого возраста. Однако общая тенденция к «омолаживанию» сердечно-сосудистых заболеваний отмечается и в отношении ДЭП. Наряду со стенокардией, инфарктом миокарда, мозговым инсультом, дисциркуляторная энцефалопатия все чаще наблюдается у лиц в возрасте до 40 лет.
Причины ДЭП 2 степени
Существует большое количество факторов, которые могут привести к появлению дисциркуляторной энцефалопатии 2 степени. Выделяют две основные группы:
Первая связана с врожденными отклонениями, вызывающими нарушение кровоснабжения головного мозга.
Вторая связана с приобретенными дефектами, вследствие перенесённых неврологических заболеваний или травм головы.
На сегодняшний день врачам известны такие главные причины возникновения ДЭП 2 степени:
- атеросклероз артерий и сосудов, которому сопутствует дисциркуляторная атеросклеротическая энцефалопатия 2 степени;
- воспаление сосудов или васкулит;
- остеохондроз шейного отдела позвоночника, из-за чего происходит защемление сосудов, что и приводит к появлению симптомов заболевания;
- вегетососудистая дистония играет не малую роль в появлении дисциркуляторной энцефалопатии 2 степени;
- попадание различного рода токсинов в кровь при заболевании внутренних органов, отравлении, алкоголизме и курении;
- тромбы в венах;
- наличие повышенного уровня холестерина, который может откладываться на стенках сосудов и вызывать их непроходимость.
Но самой основной причиной появления дисциркуляторной энцефалопатии 2 степени считается атеросклероз.
Патогенез
Этиологические факторы ДЭП тем или иным способом приводят к ухудшению мозгового кровообращения, а значит к гипоксии и нарушению трофики клеток головного мозга. В результате происходит гибель мозговых клеток с образованием участков разрежения мозговой ткани (лейкоареоза) или множественных мелких очагов так называемых «немых инфарктов».
Наиболее уязвимыми при хроническом нарушении мозгового кровообращения оказываются белое вещество глубинных отделов головного мозга и подкорковые структуры. Это связано с их расположением на границе вертебро-базилярного и каротидного бассейнов. Хроническая ишемия глубинных отделов мозга приводит к нарушению связей между подкорковыми ганглиями и корой головного мозга, получившему название «феномен разобщения». По современным представлениям именно «феномен разобщения» является главным патогенетическим механизмом развития дисциркуляторной энцефалопатии и обуславливает ее основные клинические симптомы: когнитивные расстройства, нарушения эмоциональной сферы и двигательной функции. Характерно, что дисциркуляторная энцефалопатия в начале своего течения проявляется функциональными нарушениями, которые при корректном лечении могут носить обратимый характер, а затем постепенно формируется стойкий неврологический дефект, зачастую приводящий к инвалидизации больного.
Отмечено, что примерно в половине случаев дисциркуляторная энцефалопатия протекает в сочетании с нейродегенеративными процессами в головном мозге. Это объясняется общностью факторов, приводящих к развитию как сосудистых заболеваний головного мозга, так и дегенеративных изменений мозговой ткани.
Классификация ДЭП 2 степени
Различают несколько основных видов дисциркуляторной энцефалопатии 2 степени, которые характеризуются своей клинической картиной и особенностями протекания:
- Дисциркуляторная энцефалопатия гипертонического типа может появиться в очень молодом возрасте, при этом заболевание протекает очень остро и быстро. Характеризуется частым появлением гипертонических кризов, во время которых может обостряться, из-за чего усугубляется течение заболевания. Основными симптомами является нарушение нервно-психологических процессов, заторможенность, перепады настроения.
- Самый распространенный вид ДЭП 2 степени – атеросклеротическая дисциркуляторная энцефалопатия. Причиной появления этого заболевания является атеросклероз сосудов мозга. Прогрессирование заболевания приводит к затруднению кровотока и нарушению мозговых функций.
- Венозная дисциркуляторная энцефалопатия возникает из-за нарушения в оттоке венозной крови, это приводит к накоплению крови в венах и их сдавливанию. Со временем это приводит к отечности мозга, что вызывает нарушение в мозговой деятельности.
- Выделяют еще и смешанный тип, который сочетает в себе характерные черты гипертонической и атеросклеротической дисциркуляторной энцефалопатии.
Клиническая картина
Однозначно сказать, как проявляется дисциркуляторная энцефалопатия, сложно. Все признаки заболевания схожи с различными проявлениями других патологий, связанных с нарушением кровоснабжения. Именно поэтому на начальной стадии развития выявить заболевания трудно.
Для второй стадии характерны следующие признаки:
- Психоэмоциональные расстройства. Проявляются только на второй стадии.
- Нарушения памяти, концентрации внимания, амнезия на недавние события.
- Апатия, отсутствие интереса к увлечениям, вялость.
- Головные боли различного характера. Зачастую бывают сильные и резкие.
- Снижение внимания, рассеянность.
- Тошнота, головокружения и слабость.
- Неспособность полностью воспринимать большой поток информации.
В большей степени признаки проявляются в вечернее время, ближе к отходу ко сну и после длительных эмоциональных нагрузок. В случае если симптомы беспокоят уже довольно продолжительное время, необходимо обратиться к врачу, так как только своевременное лечение поможет избежать серьезных последствий.
Энцефалопатия 2 стадии – заболевание, которое возникает на фоне атеросклероза или гипертонической болезни.
Диагностика
Установление диагноза «Дисциркуляторная энцефалопатия 2 степени» входит в компетенцию специалиста-невролога. Врач всегда совокупно оценивает и жалобы пациента, беря во внимание жалобы родных и близких людей больного, и показатели объективного обследования.
Комплекс инструментальных обследований обязательно включает в себя:
- Компьютерная и магниторезонансная томография мозга – данные исследования отражают наиболее полную картину состояния тканей мозга в момент проведения
- Реоэнцефалография сосудов головного мозга – позволяет оценить состояние самих мозговых сосудов по их степени расширения и наполнения кровью.
Консультации каких специалистов необходимы:
- Невролог;
- Кардиолог;
- Офтальмолог;
- Эндокринолог;
- Психотерапевт.
Осложнения
Без надлежащего лечения и диспансерного наблюдения пациентов возможно прогрессирование заболевания и следующие осложнения:
- Кровоизлияние в головном мозге и инсульт;
- Отек головного мозга;
- Инфаркт;
- Деменция.
Группы риска
Диагнозу ДЭП 2 степени подвержены пациенты в возрасте от 35 до 55 лет, но которые еще не достигли пенсионного возраста. В основном это касается людей, у которых профессия связана с активной мозговой деятельностью, так как в их случае мозг находится в постоянном напряжении, а физической нагрузки нет.
После 60 лет риск заболеть дисциркуляторной энцефалопатией возрастает в 5-6 раз. Очень сильно заболеванию подвержены люди, страдающие алкоголизмом, неврологическими заболеваниями, сахарным диабетом.
Статистика, риск инвалидности
На данный момент дисциркуляторная атеросклеротическая энцефалопатия 2 степени является одной из главных причин появления инвалидности или даже смерти. В последние годы число больных начинает расти все больше и больше, это привело к тому, что по статистике около 6% населения планеты страдает данным заболеванием.
Риск инвалидности при ДЭП 2 степени достаточно высокий по сравнению с 1 стадией этой болезни. Инвалидность устанавливается в том случае, если больной больше не может исполнять свои профессиональные обязанности в связи с различного рода симптомами.
В свою очередь инвалидность может быть разных групп в зависимости от состояния пациента:
3 группа инвалидности дается пациентам, страдающим ДЭП 2 степени. При этом жизнедеятельность не слишком нарушена, но при исполнении своих трудовых обязанностей у больного возникают некоторые сложности.
2 группу инвалидности могут дать только больному 2 или 3 степени ДЭП. В этом случае жизнедеятельность больного нарушена, у него случаются провалы в памяти, могут быть инсульты, а трудовую функцию он не может исполнять вовсе.
1 группу инвалидности дают только при ДЭП 3 степени. Таким образом, этот вид заболевания достаточно серьезен и к его лечению нужно подходить со всей ответственностью, а не пускать на самотек.
Особенности лечения
Наиболее эффективным в отношении дисциркуляторной энцефалопатии является комплексное этиопатогенетическое лечение. Оно должно быть направлено на компенсацию имеющегося причинного заболевания, улучшение микроциркуляции и церебрального кровообращения, а также на защиту нервных клеток от гипоксии и ишемии.
Этиотропная терапия дисциркуляторной энцефалопатии может включать индивидуальный подбор гипотензивных и сахароснижающих средств, антисклеротическую диету и пр. Если дисциркуляторная энцефалопатия протекает на фоне высоких показателей холестерина крови, не снижающихся при соблюдении диеты, то в лечение ДЭП включают снижающие холестерин препараты (ловастатин, гемфиброзил, пробукол).
Основу патогенетического лечения дисциркуляторной энцефалопатии составляют медикаменты, улучшающие церебральную гемодинамику и не приводящие к эффекту «обкрадывания». К ним относятся блокаторы кальциевых каналов (нифедипин, флунаризин, нимодипин), ингибиторы фосфодиэстеразы (пентоксифиллин, гинкго билоба), антагонисты a2–адренорецепторов (пирибедил, ницерголин). Поскольку дисциркуляторная энцефалопатия зачастую сопровождается повышенной агрегацией тромбоцитов, пациентам с ДЭП рекомендован практически пожизненный прием антиагрегантов: ацетилсалициловой кислоты или тиклопидина, а при наличии противопоказаний к ним (язва желудка, ЖК кровотечение и пр.) — дипиридамола.
Важную часть терапии дисциркуляторной энцефалопатии составляют препараты с нейропротекторным эффектом, повышающие способность нейронов функционировать в условиях хронической гипоксии. Из таких препаратов пациентам с дисциркуляторной энцефалопатией назначают производные пирролидона (пирацетам и др), производные ГАМК (N-никотиноил-гамма-аминобутировая кислота, гамма-аминомасляная кислота, аминофенилмасляная кислота), медикаменты животного происхождения (гемодиализат из крови молочных телят, церебральный гидролизат свиньи, кортексин), мембраностабилизирующие препараты (холина альфосцерат), кофакторы и витамины.
В случаях, когда дисциркуляторная энцефалопатия вызвана сужением просвета внутренней сонной артерии, достигающим 70%, и характеризуется быстрым прогрессированием, эпизодами ПНМК или малого инсульта, показано оперативное лечение ДЭП. При стенозе операция заключается в каротидной эндартерэктомии, при полной окклюзии — в формировании экстра-интракраниального анастомоза. Если дисциркуляторная энцефалопатия обусловлена аномалией позвоночной артерии, то проводится ее реконструкция.
Лечение ДЭП 2 степени представляется гораздо сложнее, чем 1 степени, но если сравнивать с дисциркуляторной энцефалопатией на 3 стадии, то все же возможно. Вылечить ДЭП 3 степени сложнее всего и лечение в этом случае очень сложное и малоэффективное. При данной болезни назначают большое количество препаратов, которые помогают понизить давление, укрепить и защитить сосуды, улучшают поступление крови в мозг и возобновляют память и мышление. Лечение этого заболевание, прежде всего медикаментозное, однако оно может сопровождаться и другими способами. Так основными методами лечения дисциркуляторной энцефалопатии 2 степени является:
- соблюдение диет;
- отказ от вредных привычек;
- физиотерапия;
- лечебные зарядки;
- иглоукалывание;
- лечебные массажи;
- снижение давления;
- улучшение нормального кровообращения;
- рефлексотерапия.
Прогноз и профилактика
В большинстве случаев своевременное адекватное и регулярное лечение способно замедлить прогрессирование энцефалопатии I и даже II стадии. В отдельных случаях наблюдается быстрое прогрессирование, при котором каждая последующая стадия развивается через 2 года от предыдущей. Неблагоприятным прогностическим признаком является сочетание дисциркуляторной энцефалопатии с дегенеративными изменениями головного мозга, а также происходящие на фоне ДЭП гипертонические кризы, острые нарушения мозгового кровообращения (ТИА, ишемические или геморрагические инсульты), плохо контролируемая гипергликемия.
Чтобы обезопасить себя от риска возникновения дисциркуляторной энцефалопатии любой степени, следует придерживаться некоторых профилактических мер:
- Своевременно пролечивать любые системные болезни, а также проходить регулярные осмотры при наличии хронических заболеваний.
- Придерживаться принципов здорового питания. Исключить из рациона жирные, копченые и соленые продукты, увеличить долю зелени, фруктов, овощей и морепродуктов.
- Вести здоровый образ жизни. Отказаться от вредных привычек, регулярно гулять на свежем воздухе и заниматься спортом.
- Снизить количество психотравмирующих ситуаций, научиться бороться со стрессом.
- Вышеописанные рекомендации легко выполнять при наличии желания. Они помогут не только предотвратить развитие сложного заболевания, но и будут способствовать улучшению качества жизни.
Такая болезнь, как дисциркуляторная энцефалопатия 2 степени, требует своевременного выявления и грамотного лечения. С данным заболеванием можно вести нормальный образ жизни. Важно лишь придерживаться всех предписаний лечащего врача и регулярно проходить профилактические осмотры, чтобы исключить риск перехода в более тяжелую стадию.
Определение болезни
ДЭ – это скорее собирательное понятие в медицине, так как в МКД десятого пересмотра такого определения нет. Поэтому чаще всего из-за схожести с клиническими симптомами ее ассоциируют с ишемией головного мозга.
Методы диагностики дисциркуляторной энцефалопатии:
| Методы | Описание |
| Ангиография сосудов головы и шеи с контрастированием | Позволяет выявить пораженные участки сосудов |
| Электроэнцефалография | Дает представление о функциональной способности нейронов мозга |
| Магнитно-резонансная томография | Наиболее информативный метод диагностики микроинсультов в зонах ишемии |
| Осмотр глазного дна | Выявляются кровоизлияния в глазную сетчатку и острый отек зрительного нерва, говорящие о внутричерепной гипертензии |
| Ультразвуковая допплерография | Позволяет выявить тромбы и закупоренные участки в кровеносных сосудах |
Сложность определения болезни заключается в том, что у одного пациента могут играть роль сразу несколько факторов заболевания, такие как:
- Избыточная гипервазоконстрикция артерий мозга. Когда в ответ на поднятие системного артериального давления возникает не физиологическая реакция – спазм артерий, а гиперконстрикция, которая превосходит эту физиологическую реакцию по выраженности.
- Церебральная микроангиопатия. Которая играет роль при гипертонической болезни, но также может быть при сахарном диабете, и при ЦВБ – цереброваскулярной болезни.
- Недостаточность коллатерального кровообращения. Когда даже незначительные стенозы магистральных сосудов головы могут приводить к ишемии мозга.
- Ухудшение реологических свойств крови.
- Нарушение микроциркуляции на церебральном уровне.
- Появление микроэмбол на магистральных сосудах головы. Когда из атеросклеротической бляшки образуется субстрат (эмбол) и он закупоривает мелкие артерии мозга, вызывая образование лакунарного инфаркта.
Все эти факторы влияют на кровообращение в мозге, изменяют структуру ткани, что отражается на его функции. В связи с этим определяют три стадии заболевания, а также несколько его типов в зависимости от причин:
- Венозная ДЭ. Обусловлена застоем крови при оттоке из головного мозга, что вызывает отек сосудов мозга.
- Гипертоническая ДЭ. Характеризуется частыми гипертоническими кризами.
- Атеросклеротическая ДЭ. Причина – атеросклероз сосудов мозга. Наиболее часто встречающаяся форма заболевания.
ДЭ смешанного типа – заболевание сложного генеза, сочетающее в себе несколько форм заболевания.
Начальная стадия заболевания
Симптомы дисциркуляторной энцефалопатии на начальной стадии малозаметны, так как функцию погибших клеток берут на себя рядом располагающиеся нейроны. При этом появляются незначительные признаки, которые не имеют яркой выраженности:
- головные боли с ощущением распирания;
- головокружения;
- снижение памяти;
- шумы в голове;
- раздражительность;
- эмоциональная неустойчивость.
На этой стадии течения болезни, при вовремя начатом лечении, возможна ремиссия на десятки лет, а в некоторых случаях и полное выздоровление.
Вторая стадия болезни
Когда наступает декомпенсация, и поражения становятся значительными, в дополнение начинают проявляться такие симптомы:
- неконтролируемость собственных движений;
- заторможенная артикуляция, человек как бы забывает, как надо разговаривать.
Развивается 2 стадия заболевания, которая к тому же может проявляться различными вариантами психопатологических синдромов:
- астенодепрессивным;
- астеноипохондрическим;
- паранойяльным;
- аффективным.
Особенно выраженным становится цефалгический синдром, при котором ощущаются сильнейшие головные боли, нередко – рвота и тошнота. У пациента может резко меняться настроение, что обусловлено потерей связи между нейронами в мозге. Речь становится заторможенной, и больной не всегда помнит, о чем говорит.
Лечение должно проводиться незамедлительно, в противном случае болезнь очень быстро прогрессирует.
На этой стадии болезни уже предполагается инвалидность, хотя человек еще способен сам себя обслуживать и не теряет причинно-следственных связей.
Прогноз при второй стадии болезни
Многих интересует вопрос, сколько можно прожить с дисциркуляторной энцефалопатией 2 степени. Однозначного ответа нет, как нет и статистических данных по этому поводу. В нашей стране, как и за рубежом, отсутствует информация об эпидемиологической распространенности этого заболевания.
Больные со 2 степенью энцелопатии могут прожить долго — до 20 лет, причем сохраняя умственную активность до конца. Все зависит от образа жизни пациента, особенностей течения заболевания и эффективности лечения, цель которого – не допустить развития болезни до третьей степени. Ухудшают прогноз такие состояния, как дегенеративные изменения мозга, высокий уровень сахара крови, и часто повторяющиеся гипертонические кризы.
Группы инвалидности при дисциркуляторной энцефалопатии:
| Группа | Описание |
| Первая группа | При ДЭ 3 стадии с полностью отсутствующей способностью к самообслуживанию. С тяжелыми нарушениями опорно-двигательного аппарата, кровообращения и выраженным слабоумием. |
| Вторая группа | При 2-3 стадии ДЭ с имеющим место существенным снижением памяти и неврологическими/психическими расстройствами. |
| Третья группа | При 2 стадии ДЭ с умеренными неврологическими и психическими нарушениями. Пациент при этом способен к самообслуживанию. |
На последней стадии заболевания поражения мозга необратимы, человек теряет всякую связь с окружающим его миром. Диагноз, к сожалению неутешительный — сколько сможет прожить такой больной, зависит от ухода за ним медперсонала.
Лечение и профилактика
Профилактику ишемических заболеваний головного мозга необходимо начинать в самом раннем возрасте. Для этого необходимо:
- защитить себя от стрессов;
- контролировать собственный вес;
- не допускать процесса ожирения;
- скорректировать питание;
- отказаться от вредных привычек;
- заниматься активным спортом.
Лечение же проводится различными препаратами, направленными на улучшение мозгового кровообращения:
- вазоактивными;
- церебропротекторными;
- нейромодуляторными;
- антиоксидантными.
В дополнение к лекарственным препаратам назначаются различные физиопроцедуры, такие, как лечебный массаж, ЛФК, лазеротерапия. Лечатся такие больные под наблюдением врача невролога в стационаре.
При своевременной диагностике и адекватной объемной терапии можно остановить прогрессирование дисциркуляторной энцефалопатии, и прогноз будет благоприятным.
В комплекс терапии также входят специальные диеты и санаторно-курортное лечение. Хороший эффект дадут также народные рецепты с применением трав – успокаивающие ванны и настои. При недостаточной эффективности этих методов показано хирургическое вмешательство, применяемое для восстановления проходимости сосудов.
Дисциркуляторная энцефалопатия — причины и стадии
К энцефалопатии могут приводить заболевания:
- Артериальная гипертония.
- Венозный тромбоз.
- Токсины в крови как последствия бактериальной инфекции, химической или органической интоксикации, курения, чрезмерного употребления лекарств, алкоголя.
- Воспалительные изменения стенок сосудов.
- Вегето-сосудистая дистония.
- Атеросклероз сосудов.
Различают 3 степени, или стадии заболевания:
- 1 стадия характеризуется незначительными изменениями в состоянии пациента, снижается работоспособность, появляется шум в ушах, головные боли, повышенная утомляемость. Может наблюдаться бессонница.
- 2 стадия характеризуется прогрессированием симптомов. Проявляются следствия поражения мозга и частые микроинсульты. Могут встречаться параличи конечностей, появляются патологические рефлексы, нарушение координации движения, расширение вен глазного дна, ангиосклероз.
- При дальнейшем прогрессе заболевания развивается 3 стадия. Резко снижается интеллект, развивается деменция. Болезнь доходит до такой степени, что человек становится неспособным сам себя обслуживать. Симптомами являются проблемы с памятью, сильная головная боль, неспособность воспринимать информацию, тошнота, слабость.
Синдромы при прогрессировании болезни
Синдромы развиваются со второй стадии прогрессирования болезни:
- Цефалгический синдром. При преобладании этого синдрома больные жалуются на головную боль, шум в ушах, тошноту, рвоту.
- Диссомнический синдром. Характеризуется нарушениями сна.
- Вестибулярно — атактический синдром. Связан с изменениями пространственного положения тела и проявляется нарушением ходьбы, координации, головокружениями.
- Когнитивный синдром характеризуется проблемами с мышлением, концентрацией памяти и другими.
Синдромы проявляются вследствие больших физических и эмоциональных нагрузок, поэтому для них наиболее характерно проявления в вечернее время суток.
Формы этого заболевания
Есть несколько форм заболевания:
- Атеросклеротическая форма.При этой форме причиной заболевания является атеросклероз мозговых сосудов.
Вариант болезни занимает первое место по частоте.
Характеризуется поражением магистральных сосудов, в основном артерий, несущих кровь к мозгу. При прогрессировании нарушений снижается кровоток и нарушаются мозговые функции.
- Венозная ДЭП развивается при нарушении оттока крови из головы. Застой вызывает сдавливание вен, это повышает давление и вызывает отек.Гипертоническая форма возникает по причине скачков кровяного давления и гипертонических кризов. Прогрессирует быстро из-за частых кризов.
- Смешанная ДЭП, или сложного генеза, сочетает особенности 2 форм- гипертонической и атеросклеротической. Нарушение функционирования сосудов сопровождается гипертоническим кризом, приводящему к быстрому развитию болезни ухудшению симптомов и прогноза.
- Клофелин,
- Пентамин,
- Октадин,
- Фентоламин.
Самой распространенной формой заболевания является атеросклеротическая, поэтому назначаются препараты, использующиеся в лечении атеросклероза:
- Сермион,
- Пентоксифиллин,
- Винпоцетин,
- Пирацетам.
Проводится нейропротекторная терапия, которая улучшает мозговое кровообращение. Для этого используются нейропротекторы:
- Актовегин,
- Церебролизин,
- Глиатилин.
В случаях, когда лечение медикаментами не справляется с устранением сосудистых проблем, проводится хирургическая операция. Операция называется стенозирование. Выполняется она для восстановления просвета в поврежденном сосуде.
Проводится под местным наркозом, через артерию с помощью специального хирургического инструмента устанавливается устройство, расширяющее ее просвет.
Выделяют каждый день 15 минут на утреннюю гимнастику. Выполнять необходимо такие упражнения: поднятие рук, ног, стоп, вращения и наклоны туловища, головы. Любая гимнастика должна выполняться в щадящем режиме. При наличии головокружения можно выполнять упражнения сидя.
Для комплексного лечения энцефалопатии 2 степени применяют виды физиолечения:
- Гальванотерапия. Слабыми токами влияют на шею и плечи. Способствует расширению капилляров, улучшению кровообращения, снятию спазмов и болевых приступов.
- УВЧ-терапия. Высокочастотными электромагнитными волнами облучается пациент, что вызывает ионный в крови. Повышается содержание кислорода, улучшается работа нервной ткани.
- Применяются для лечения ванны. Используется кислородная, углекислая и другие. Ванны расширяют сосуды, улучшают кровообращение.
- Лазерная терапия может применяться для лечения ДЭП. Магнитолазерное или магнитное инфракрасное излучение действует на шею, увеличивая объем крови, и делая ее более жидкой, что повышает скорость кровотока.
- Электросон — метод воздействия слабым током низкой частоты. На виски помещаются электроды, помогающие проникнуть внутрь. Стимулирует развитие новых связей между клетками нервной системы.
- Акупунктура и другие виды массажа.
Дополнительно в комплекс лечения включают облучение током, магнитным полем, ультразвуком и другие.
Профилактика прогрессирования мозговых нарушений
Чтобы остановить развитие дисциркуляторной энцефалопатии, для профилактики применяются такие меры: контроль уровня сахара, кровяного давления, холестерина, липопротеинов низкой плотности, отказа от курения и употребления алкоголя, борьба с лишним весом.
Диета с нарушениями мозговых функций должна соблюдаться пожизненно. Из рациона нужно исключить продукты, содержащие много животного жира и скрытого сахара.
Какие анализы нужно сдать, какие диагностические методы пройти
Неврологическое заболевание дисциркуляторная энцефалопатия, при котором происходит поражение головного мозга, диагностируется все чаще. Врачи стараются при имеющемся подозрении на этот вид болезни обследовать пациента как можно раньше, особенно людей, относящихся к группе риска (наличие сахарного диабета, гипертонии, атеросклеротических изменений).
Всего существует 3 степени заболевания. Вторя степень, является моментом, когда с помощью лекарств можно затормозить прогрессию болезни, а, и деградацию личности пациента.
Для выявления заболевания пациенту необходимо пройти ряд диагностических процедур.
К ним относятся:
- ЭЭГ (электроэнцефалография), дает возможность оценить реакцию головного мозга на разные раздражители, длительность процедуры составляет не более 20 минут;
- МРТ (магнитно-резонансная томография), один из современных методов диагностики разных видов заболеваний, поскольку дает возможность обследовать интересующую зону в трехмерном пространстве;
- Спиральная компьютерная томография сосудов головного мозга;
- ЭКГ;
- МР-ангиография при ДЭП определяет сосудистые гипотензивные включения, атеросклеротические бляшки, признаки гидроцефалии;
- Ультразвуковая допплерография;
- Отслеживается динамика изменений в показателях артериального давления.
Нужно сдать кровь на сахар, липопротеиды и холестерин. Эти показатели позволяют врачу правильно назначить курсовое лечение.
Лечение патологии народными средствами
Специалисты врачебной практики не отрицают возможное применение средств народной медицины для борьбы с энцефалопатией. Многие медицинские препараты содержат элементы используемых трав. Но лечение отварами, настойками и настоями может оказать результат только при 1 или 2 стадии развития заболевания.
Не нужно надеяться на то, что эффект от лечения с помощью травяных сборов наступит моментально, эта терапия требует долгого применения ежедневно.
- Настой из цветков красного клевера. Сухие цветки красного клевера засыпают в литровую стеклянную банку на 5 сантиметров ниже уровня горлышка. Сосуд полностью заполняется разбавленным спиртом до 40 градусов, либо обычной водкой. Плотно укупоривается и убирается в темное место на 2 недели. Затем готовый настой отфильтровывается и принимается больным по 1 чайной ложки трижды в день, запивая одним глотком прохладной воды. Курсовой прием препарата регламентируется лечащим врачом.
- Клюквенно-медовая смесь. 2 стакана свежих или замороженных ягод клюквы, необходимо пропустить через мясорубку или измельчить в блендере, смешать с 1 стаканом меда. Дать постоять приготовленной смеси при комнатной температуре 2 часа, а затем убрать в холодильник. Принимать смесь следует по 1 столовой ложке 4 раза в сутки. Препарат улучшает кровоснабжение мозга и повышает иммунную систему.
- Отвар из смеси трав. Потребуется взять в равных соотношениях корень валерианы, шишки хмеля, мяту перечную и пустырник (траву). 1 столовую ложку готовой смеси необходимо залить 200 миллилитрами кипятка и сосуд с содержимым поместить на водяную баню, выдержать 15 минут при медленном кипении. Затем настаивать 60 минут плотно укупорив крышкой при комнатной температуре. Принимать внутрь по 1/2 стакана один раз в день перед сном.
- Для улучшения работы сердечной мышцы и снижения проницаемости капиллярных сосудов можно применять отвар из ягод боярышника. 2 столовые ложки измельченных сухих ягод боярышника залить полулитрами кипятка. Сосуд с содержимым поставить на медленный огонь и варить в течение 10 минут. Затем снять с огня и настаивать при комнатной температуре в течение 8-9 часов. Затем отвар отфильтровать, добавить 2 столовые ложки меда. Принимается в 4 приема, через равный промежуток времени по 150 миллилитров.
Если трава для приготовления настоев не покупается в аптечных пунктах, то собирать ее нужно вдали от дорог. Иначе, можно больному не помочь, ввести в его организм тяжелые металлы, что спровоцирует дополнительную нагрузку. И еще, выбирая для лечения любой из рецептов народной медицины, нужно исключить у больного индивидуальную непереносимость на компоненты состава смеси.
Особенности питания при этой болезни
Как и при разных видах заболевания, пациентам для скорейшего выздоровления следует придерживаться определенной диеты. Всем людям, имеющим диагноз дисциркуляторной энцефалопатии, необходимо соблюдение правильного питания даже не для выздоровления, а для возможности продления своей жизни.
Нужно исключить из рациона питания полностью:
- Жареное мясо;
- Жирное отварное мясо;
- Свиное сало;
- Копчености;
- Яйца в отварном или жареном виде;
- Маргарин;
- Сливочное масло;
- Нерафинированное растительное масло;
- Майонез;
- Макаронные изделия из муки высшего сорта;
- Сдобу;
- Алкоголь;
- Соль в больших количествах.
Обогатить свой рацион можно следующими продуктами питания:
- Кукурузное или льняное масло;
- Коричневый рис;
- Сыр нежирных сортов (должен быть сыр, а не сырный продукт);
- Нежирные кисломолочные продукты;
- Фундук;
- Отварная рыба;
- Морепродукты;
- Свежие овощи и зелень (петрушка, базилик, сельдерей, шпинат);
- Свежевыжатые соки из овощей и фруктов;
- Свежие или замороженные ягоды и фрукты.
Прием жидкости заболевании ограничивается, он не должен превышать 1.5 литров. Ужин не позднее, чем за 120 минут до сна, а временной промежуток между завтраком и ужином должен составлять не более 10 часов. Соблюдение простых правил диеты позволяет больному кардинально снизить процент развития патологии.
Последствия и возможные осложнения
Когда болезнь уже не молчит о своем присутствии, а человек сознательно откладывает поход к специалисту, ссылаясь на высокую занятость, либо не пьет рекомендуемые препараты в должной форме и не желает пересматривать свой образ жизни, важно узнать, чем грозит его халатность к самому себе.
Деградация личности (поскольку происходит нарушение работы головного мозга) с приобретением инвалидности.
Может наступить летальный исход в моменты внезапно образовавшегося инсульта, инфаркта и сердечно-сосудистого коллапса.
С этим заболеванием люди живут продолжительное время, в случае постоянного контроля над ним.

















