Уделяя внимание своему здоровью, каждый человек неизменно сталкивается с диагностикой. Какие-то ее виды назначаются по показаниям, какие-то входят в число обязательных ежегодных. Любые типы, формы и методы обследований направлены на профилактику и своевременное выявление патологий или заболеваний. Среди общепринятых разновидностей диагностики заболеваний дыхательных путей – флюорография и рентген.
Общая информация
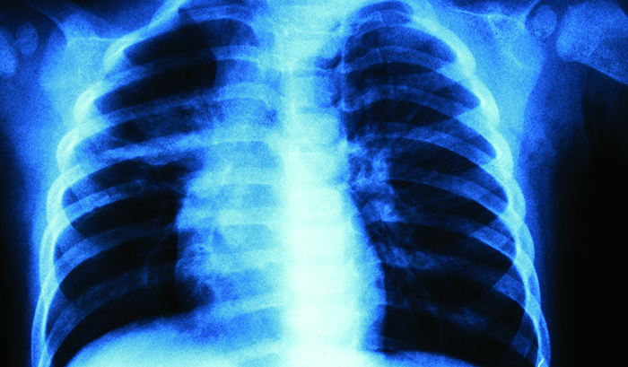
И рентген, и флюорография – это стандартные обследования органов грудной клетки (главным образом, легких) методом особого фотографирования, направленные на диагностику и исследование их патологий.
Великие открытия Вильгельма Рентгена сегодня остаются наиболее точными способами избежать тяжелых последствий заболеваний, в том числе дыхательной системы. Принцип получения снимка таков: пучок лучей из лучевой трубки прибора проходит сквозь человеческое тело и проецирует изображение на пленку либо на монитор. Из-за специфического свойства внутренних органов по-разному пропускать рентгеновские лучи, проекция на изображении может иметь оттенки: кости – белые, мягкие ткани – серые, полости – черные. Соответственно, патология будет отражена в формате цвета.
Данные виды исследований применяются докторами и назначаются пациентам как для получения общей картины о состоянии легких, так и для диагностирования и уточнения анамнеза при заболеваниях системы дыхания:
- Туберкулеза.
- Бронхита.
- Эмфиземы.
- Пневмонии.
- Бронхиальной астмы.
- Плеврита, пневмоторакса.
- Перелома ребер.
- Выявления новообразований.
Среди симптомов, которые укажут врачу на некоторые проблемы с легкими, будут следующие: долго не прекращающийся кашель, одышка, боль в грудной клетке, хрипы. Скорее всего, для выяснения причин и состояния пациент будет направлен на рентген или флюорографию.
Помимо диагностики по показаниям, профилактическое флюорографическое обследование состояния нижних дыхательных путей на законодательном уровне включено в число обязательных. В среднем частота диагностики – раз в год, но для разных профессиональных групп сроки определяются индивидуально. Профилактическое обследование противопоказано детям до 14 лет и беременным женщинам, им в случае острой необходимости назначают рентгенографию.
Если перед врачом или пациентом стоит альтернатива между флюорографией и рентгенографией, то веским фактором для выбора метода обследования, несомненно, станет вредность той или другой процедуры.
Врачи часто обсуждают вопросы, касающиеся радиационного воздействия на здоровье, особенно в контексте рентгена и флюорографии. По мнению специалистов, оба метода диагностики связаны с облучением, однако степень риска различается. Рентгеновские снимки, как правило, предполагают более высокую дозу радиации, что может быть опасно при частом использовании. Флюорография, в свою очередь, обеспечивает более низкую дозу облучения, что делает её менее вредной для здоровья. Тем не менее, врачи подчеркивают, что регулярные обследования необходимы для раннего выявления заболеваний, и в этом контексте важно соблюдать баланс между необходимостью диагностики и минимизацией радиационного воздействия. В конечном итоге, выбор метода должен основываться на медицинских показаниях и рекомендациях врача.

Вред флюорографии
Показания к флюорографическому обследованию – исследование легких с целью профилактики и выявления новообразований (в т.ч. туберкулезных) на ранних стадиях. В современной медицине существуют два формата флюорографии: пленочная, более агрессивная и уже устаревшая, и цифровая. ФГ обследование по характеру больше скрининговое, его задачи – диагностировать начальные стадии заболевания.
Ежегодное профилактическое обязательно, и, несомненно, пользы от него больше, чем ущерба, но тем не менее:
- Радиационное воздействие: во время цифрового ФГ обследования человек получает облучение 0, 05 мЗв, при использовании устаревшего пленочного аппарата радиационное воздействие увеличивается в разы.
- Проведение ФГ обследования при беременности: облучение негативно сказывается на внутриутробном формировании органов, особенно до 20 недели.
- Флюорографическое обследование в период лактации может спровоцировать изменения в составе грудного молока, кормить ребенка следует только полного сцеживания и выработки следующей порции.
- Флюорография в детском возрасте до 14-15 лет несет больше вреда для неокрепшего и не до конца сформировавшегося детского организма.
- Снижение иммунитета на фоне полученной дозы радиации: повышается восприимчивость к инфекциям и вирусам.
Вред рентгена
Показания к рентгенологическому обследованию – обследование с целью уточнения диагноза. Рентген может быть назначен как в обзорном формате – для легких в целом, так и прицельно, выборочно – для изучения фрагмента органа. С точки зрения функционала, рентгенография призвана обнаружить или исключить признаки заболевания легких и сосудов, а, при необходимости, диагностировать очаг, тип и степень патологии.
Компьютерная томография – тот же рентген, только более информативный, так как лучи проходят сквозь тело с разных ракурсов, а потом собираются воедино.
Не умаляя достоинств рентгена, стоит заострить внимание на характеристиках процедуры с точки зрения вреда, наносимого организму:
- Облучение, получаемое человеком в процессе R – обследования, более агрессивно, чем при ФГ, и составляет 0,3 мЗв. Однако, доза напрямую зависит от качества оборудования.
- Рентген, по сравнению с флюорографией, можно делать часто, однако, при переизбытке облучения могут начаться необратимые изменения в организме: образование раковых клеток, мутации, лучевая болезнь.
- Изменение состава крови: при малых дозах облучения – кратковременное, при более агрессивном воздействии – необратимое.
- Отрицательный косметологический эффект: раннее старение кожи и организма в целом.
- Бесплодие.
- Эритермы – ожоги кожных покровов. Возможны в случае с детской или сверхчувствительной кожей.
- Вероятность развития генетических аномалий и уродств у будущих детей.
Мнения людей о вреде рентгена и флюорографии часто расходятся. Некоторые считают, что флюорография менее опасна, так как используется реже и предполагает меньшую дозу облучения. Другие же утверждают, что рентген, несмотря на более высокую дозу, дает более детальную информацию о состоянии здоровья. Важно отметить, что оба метода связаны с радиацией, но современные технологии значительно снизили риски. Врачи подчеркивают, что необходимость в обследовании должна определяться индивидуально, исходя из состояния пациента и рекомендаций специалиста. Обсуждая эти методы, люди часто забывают о важности регулярных медицинских осмотров и профилактики заболеваний.

Вывод
Зачастую люди не видят различий между процедурами рентгенографии и флюорографии. Флюорография – хоть и более привычная диагностика, однако, уже устаревшая с точки зрения более низкой разрешающей способности изображения. Небольшие патологические очаги и поражения тканей могут и не проявиться.
Рентген дает более четкий снимок, а, соответственно, и точную диагностику. Еще одно различие между флюорографией и рентгеном – интенсивность облучения, у последнего степень воздействия меньше. В любом случае, рентгенография и флюорография не взаимозаменяемы, и лишь специалист грамотно определит, какой метод назначить в том или ином случае в зависимости от цели и состояния пациента.
Влияние радиации на организм человека во время ФГ или R – обследований, конечно, существенно. Любой врач посоветует оценить риски и расставить приоритеты. В защиту обсуждаемых методов диагностирования и обследования стоит заметить, что доза радиации, получаемая в рамках процедуры, не настолько критична, чтобы оказать негативное влияние на организм.
Современная аппаратура позволяет снизить практически до исключения все возможные побочные эффекты и риски даже для людей с дополнительными отягощающими факторами в плане здоровья. Не стоит отказываться от возможности быть предупрежденным, а значит, вооруженным.
Вопрос-ответ

Можно ли заменить рентген Флюорографией?
Рентген легко заменит обычную флюорографию и даст более полную картину состояния вашего здоровья, подтвердив отсутствие патологий и симптомов заболеваний. Флюорография способна выступать только как самый простой, базовый метод исследования. Для более точной диагностики и постановки диагноза она не подходит.
Чем опасен рентген для врача?
Рентгенография не представляет опасности для организма, поскольку лучевая нагрузка при рентгене незначительна.
Как часто можно делать флюорографию или рентген?
Поэтому риск от использования аппарата полностью оправдан возможностью своевременной диагностикой опасных состояний и патологий костей и органов грудной клетки. Совершенно безопасным считается делать флюорографию ежегодно, или два раза в год.
Как флюорография влияет на организм?
Флюорография безвредна. Чтобы понять почему, нужно сказать пару слов о том, как рентгеновское излучение влияет на организм. Рентгеновское излучение — это невидимые лучи с большим запасом энергии, которые могут запустить в клетке ненужные фотохимические реакции.
Советы
СОВЕТ №1
Перед проведением рентгена или флюорографии всегда консультируйтесь с врачом. Он поможет определить, какой из методов обследования наиболее необходим в вашем случае и минимизирует риски для здоровья.
СОВЕТ №2
Если вам назначили рентген или флюорографию, уточните, сколько раз вы проходили эти процедуры в последнее время. Избыточное облучение может негативно сказаться на здоровье, поэтому важно следить за частотой таких обследований.
СОВЕТ №3
Обсудите с врачом возможность альтернативных методов диагностики, таких как УЗИ или МРТ. Эти методы не используют ионизирующее излучение и могут быть более безопасными для вашего здоровья.
СОВЕТ №4
Не забывайте о защите во время процедуры. Если вам делают рентген, убедитесь, что вы используете свинцовый фартук, чтобы минимизировать воздействие радиации на другие части тела.


