Под гидроцефалией головного мозга в медицине понимают заболевание, приводящее к скапливанию во внутричерепном пространстве больших объемов особой жидкости (ликвора). Для водянки свойственно развиваться у разновозрастного контингента, однако по мере взросления человека она приобретает более тяжелое течение. Согласно МКБ 10 код гидроцефалии G91.
Симптоматика гидроцефалии
Специалисты выделяют основные признаки гидроцефалии, принимающей острую форму:
- Головные боли, отдающие в область глазных яблок. У большинства больных такие ощущения имеют давящий, распирающий характер, появляются утром, и постепенно слабеют в дневное время суток.
- Увеличение головы в размерах, появление выраженной венозной сетки.
- Тошноту, сопутствующую утреннему болевому синдрому.
- Рвоту, возникающую независимо от времени приема пищи, после которой наступает временное облегчение.
- Расстройства зрения, жжение в глазных яблоках, «туман» перед глазами.
- Нарушение глазодвигательной и дыхательной функций.
- Угнетенное сознание, способное обернуться комой.
- Сонливость, эпилептические приступы.
Типичным симптомом становится высокое внутричерепное давление, оказывающее негативное воздействие на работу головного мозга, вызывающее расширение его жидкостных полостей. Для новорожденных детей с гидроцефалией характерны большой лоб, способный нависать над глазами, постоянная плаксивость, косоглазие, набухание в области родничка, нервное перевозбуждение, недостаточный набор веса.
В случае хронизации болезни симптомы гидроцефалии менее выражены, проявляются постепенно. Для взрослых пациентов характерны проблемное засыпание, спутанное сознание, ухудшение памяти и мышления. Могут возникнуть трудности с самообслуживанием в быту, потеря равновесия, нарушение походки, проявляющееся в виде шаткости, неуверенных движений, крупных шагов.
При отсутствии адекватной терапии водянка головного мозга провоцирует у больного недержание мочи и кала, ухудшение или полное отсутствие способности к мыслительной активности, понижение тонуса мышц, постоянную вялость, апатичность.
Причины развития патологи
Водянка головного мозга нередко рассматривается как осложнение патологий сосудистой, нервной систем, внутричерепных структур. К числу распространенных причин возникновения гидроцефалии принадлежат:
- инфицирование плода в период вынашивания;
- врожденные дефекты ЦНС;
- последствия травм, заболеваний;
- атрофия серого или белого мозгового вещества.
Находясь в утробе, будущий ребенок может страдать от различных инфекций. Малыши подвержены заражению от матерей, болеющих краснухой, токсоплазмозом, эпидемическим паротитом, энцефалитом, герпесом, сифилисом.
Врожденные пороки ЦНС, вызывающие формирование водянки головного мозга, представлены несколькими синдромами:
- Киари (1 и 2 типов), на фоне которого черепная коробка имеет размеры, меньшие в сравнении с объемом ее содержимого.
- Адамса, состоящего в неспособности спинномозговой жидкости свободно циркулировать, ее скапливании в определенных участках.
- Денди-Уокера, связанного с невозможностью попадания ликвора в цистерны, субарахноидальное пространство, кровоток, вызывающего его накапливание внутри черепа.
Фактором, провоцирующим врожденную гидроцефалию, также становится развитие базилярной компрессии, аневризмы большой мозговой вены.
К развитию нарушения ведут черепно-мозговые, родовые травмы. Опасность представляют последствия геморрагических инсультов, кровоизлияний или прорыва мозговых гематом в желудочки, воспалительных процессов в мозге. Причиной патологии становятся паразиты, опухоли сосудистого сплетения, кистозные образования в желудочках, метастазы.
Атрофию мозгового вещества связывают с дегенеративными процессами, происходящими в ЦНС. «Почвой» для их развития становятся сосудистая, токсическая энцефалопатия, болезнь Кройцфельдта-Якоба.
Разновидности гидроцефалии
Гидроцефалия, развивающаяся у пациентов разного возраста, бывает:
- открытой;
- неокклюзионной;
- арезорбтивной;
- бивентрикулярной;
- атрофической.
Открытая гидроцефалия вызывается медленным всасыванием в кровь церебральной жидкости. Результатом становится несбалансированная выработка и резорбция ликвора, которую организм восстанавливает благодаря повышению давления внутри черепа.
Неокклюзионная гидроцефалия приводит к переполнению желудочков мозга спинномозговой жидкостью. При этом типе патологии жидкая субстанция скапливается в вентрикулярной системе, или заполняет субдуральное и субарахноидальное пространство.
Арезорбтивная гидроцефалия склонна поражать взрослых. При этой разновидности венозные синусы недостаточно всасывают ликвор. Бивентрикулярная гидроцефалия провоцируется закрытием отверстий, находящихся в 3 желудочке.
К атрофической форме водянки головного мозга ведет сокращение объема головного мозга. Такой вид заболевания преимущественно диагностируется у пожилых лиц, подверженных гипертонии, диабетической ангиопатии, атеросклерозу.
Помимо перечисленных форм болезни различают смешанный тип гидроцефалии – накапливание спинномозговой жидкости сразу в нескольких участках.
Как проходит диагностика водянки мозга
Специалист начинает диагностику гидроцефалии с визуального осмотра больного. Лечением новорожденных детей занимаются педиатры. Далее пациент направляется к нейрохирургу, неврологу, офтальмологу.
Определив наличие патологии, врач назначает дополнительное обследование, позволяющее уточнить ее степень и форму. Для получения более подробных данных специалисты прибегают к следующим методам:
- ультразвуковому исследованию (УЗИ);
- рентгенографии;
- цистернографии;
- магнитно-резонансной томографии (МРТ);
- компьютерной томографии (КТ);
- люмбальной пункции.
УЗИ уточняет степень внутричерепной гипертензии, являющейся типичным симптомом гидроцефалии. Рентгенография определяет состояние сосудов и их стенок. Цистернография служит выяснению формы патологии, позволяет узнать, в каком направлении движется ликвор.
МРТ визуализирует жидкость, присутствующую в мозговых структурах, определяет степень тяжести заболевания, его форму. Данный метод позволяет назвать предположительную причину формирования водянки. КТ дополнительно подтверждает информацию, полученную в ходе проведения магнитно-резонансной томографии.
Люмбальная пункция подразумевает взятие ликвора и последующее определение внутричерепного давления. Процедура позволяет исследовать состав спинномозговой жидкости, выявить наличие воспалений.
Офтальмоскопия становится дополнительной мерой, служащей выявлению нарушений зрения, причин их развития. После того, как диагностика гипертензионно-гидроцефального синдрома завершена, осуществляется терапия, соответствующая разновидности заболевания.
Как лечат гидроцефалию
Водянка головного мозга нередко предусматривает оперативное лечение, проводимое под общим наркозом. Специалисты прибегают к следующим видам хирургического вмешательства:
- паллиативному;
- радикальному.
В процессе паллиативной операции выполняется спинномозговая или вентрикулярная пункция. Для лечения детей младшего возраста устранение лишней жидкости осуществляется через глазную впадину. К радикальным хирургическим методам принадлежат вентрикулоперитонеальное шунтирование, операция Кюттнера Венгловского, вентрикулоцистерностомия.
Лечение водянки головного мозга с использованием медикаментозных средств приносит положительные результаты только в 40-45 % случаев, становится актуальным при небольших объемах жидкости, умеренно высоком внутричерепном давлении.
Пациентам младшего возраста назначаются мочегонные средства:
- Фуросемид.
- Маннит.
- Диакарб.
С целью терапии гидроцефалии головного мозга у взрослых применяют магния сульфат, Аспаркам. Обязательными становятся антибиотикотерапия, прием витаминных и рассасывающих препаратов, физиотерапия, занятия ЛФК.
В большей части случаев хирургическое лечение позволяет достичь полного выздоровления пациента. Если причиной водянки головного мозга стала агрессивная раковая опухоль, своевременно проведенная операция на несколько лет продлевает жизнь больному.
К каким осложнениям приводит водянка
Родителям, у чьих детей предполагается развитие патологии, необходимо знать, чем опасна гидроцефалия. Последствиями несвоевременной терапии становятся:
- отставание в плане психического и физического развития;
- неспособность концентрировать внимание;
- слабая память;
- дефекты речевого аппарата.
У взрослых осложнения принимают форму судорожных припадков, слепоты или глухоты, нарушенной координации движений, неспособности контролировать мочеиспускание и дефекацию. Высока вероятность развития необратимых патологических процессов в тканях головного мозга.
Гидроцефалия головного мозга принадлежит к числу опаснейших болезней, способных сделать человека инвалидом. Именно поэтому следует начинать лечение на начальной стадии заболевания, и не допускать его прогрессирования.
Профилактические меры
Чтобы избежать проявления патологии у будущего ребенка, беременным женщинам рекомендуется:
- Принимать фолиевую кислоту, специальные витаминные комплексы.
- Своевременно лечить инфекционные заболевания.
- Отказаться от вредных привычек.
- Избегать бесконтрольного приема медикаментозных препаратов.
Обнаружение признаков заболевания у плода во время прохождения планового УЗИ позволяет проводить лечение на начальном этапе, и предотвращать его дальнейшее развитие.
Водянка головного мозга у взрослых предупреждается благодаря минимизации стрессов, профилактике венерических болезней. Важно избегать переутомления, при наличии гидроцефалии в семейном анамнезе необходимо регулярно обследоваться у врача.
Общее описание патологии
Мозг человека имеет сложное строение. Он состоит из большого количества отделов, защищают которые паутинная, твердая и мягкая оболочки.
Пространство, располагающееся между первой и последней оболочкой, называется «субарахноидальным».
Эти ткани соединяются между собой при помощи перепонок, создающих желудочковую систему. Состоит она из резервуаров, соединенных отверстиями и каналами.
Именно в них происходит циркуляция ликвора. Ликвор протекает через желудочки, а потом выходит в цистерны, располагающиеся в основании мозга.
Далее жидкость омывает поверхностные ткани, а потом впитывается в кровь.
Спинномозговая жидкость выполняет несколько важных функций:
- Является своеобразным амортизатором для тканей головного и спинного мозга, защищая их от случайного повреждения.
- Доставляет питательные вещества к головному мозгу, а потом удаляет отходы из него.
- Регулирует количество крови внутри черепа.
Гидроцефалия головного мозга характеризуется тем, что излишняя спинномозговая жидкость давит на мозг, вызывая расстройства его функциональности. Эта жидкость окружает головной и спинной мозг.
Разновидности гидроцефалии
Классификация гидроцефалии очень важна для назначения правильного лечения.
Водянка бывает таких видов:
- Внутренняя. Для нее характерно то, что ликвор накапливается непосредственно в желудочках. Причиной такого патологического состояния является нарушение процесса всасывания лишнего количества ликвора. Причем его отток нарушается тромбом или опухолью, перекрывшей путь.
- Наружная водянка. В этом случае излишняя жидкость скапливается в субарахноидальном пространстве, так как не всасывается в кровеносную систему. При этом в желудочках головного мозга нарушений нет. Такая форма гидроцефалии встречается крайне редко. Если такой диагноз поставлен, это говорит об атрофии самого главного органа в человеческом организме. Очень тяжелой разновидностью наружной водянки головного мозга считается заместительная гидроцефалия у взрослых. Она характеризуется тем, что объем мозга уменьшается, а свободное место заполняется ликвором.
- Смешанная гидроцефалия. Тут жидкость накапливается во всех отделах мозга. Чаще всего такая форма болезни развивается у взрослых, достигших пожилого возраста. Смешанный тип является достаточно тяжелым для человека.
- Умеренный тип водянки головного мозга. Он характеризуется тем, что какие-либо симптомы и признаки могут отсутствовать годами. Однако в один прекрасный момент болезнь проявляется очень резко и состояние пациента стремительно ухудшается.
Классификация по происхождению
Кроме того, водянку можно классифицировать по происхождению:
- Врожденная. Такая водянка развивается с рождения и провоцируется наследственной предрасположенностью к нарушениям функционирования головного мозга. Главной причиной появления патологии является порок развития.
- Приобретенная. Она больше характерна для взрослых и развивается вследствие травматического поражения мозга, а также инфекционного заболевания. Лечение такой патологии происходит быстрее.
А еще гидроцефалия бывает острой, подострой или хронической.
Гидроцефалия головного мозга у взрослого: симптомы и признаки
Итак, представленная патология у взрослых в умеренной форме может протекать бессимптомно. Признаки во многом зависят от возраста больного.
В более сложных случаях водянка имеет такие симптомы:
Смешанная водянка
- Головная боль, которая практически не проходит. Утром она отмечается большей интенсивностью.
- Тошнота. Она тоже проявляется чаще всего утром.
- Сонливость. Это говорит о том, что гидроцефалия уже повлияла на мозг и вызвала некоторые неврологические признаки: нарушение памяти и речи.
Наружная водянка
- Тошнота и рвота.
- Чувство усталости, присутствующее постоянно.
- Повышенное потоотделение.
- Незначительные проблемы со зрением.
- Нарушение походки.
- Изменение сексуального поведения у взрослых.
Внутренняя водянка
- Сильное повышение внутричерепного давления.
- Головная боль высокой интенсивности.
- Рвота и тошнота.
- Нарушение зрительной и слуховой функции.
Водянка головного мозга сопровождается еще и такими симптомами: невозможностью контролировать и координировать движения, временной потерей памяти, повышенной раздражительностью, внезапными сменами настроения.
А еще для гидроцефалии характерны эпилептические припадки, недержание мочи, слишком быстрое половое развитие, торможение функции выработки некоторых гормонов.
Серьезным признаком гидроцефалии является спутанность сознания, нарушение мыслительной функции вплоть до развития слабоумия. У человека может меняться личность.
Проявление гидроцефалии
Проявления водянки зависят также от стадии ее развития.
Острая форма болезни характеризуется тем, что ее симптомы схожи с признаками той патологии, которая спровоцировала водянку. Хроническая гидроцефалия отличается симптомами, характерными именно для нее.
У детей болезнь проявляется по-своему: череп малыша увеличивается в размерах, так как волокнистые суставы, при помощи которых соединяются кости черепа, еще мягкие и не закрытые.
Что касается взрослых, то проявления гидроцефалии могут одновременно говорить и о других серьезных патологиях: болезни Альцгеймера, заболевании Паркинсона.
Почему развивается заболевание?
Несмотря на то, смешанный или умеренный тип патологии диагностируется у взрослого, она развивается вследствие воздействия таких причин:
- Инсульта.
- Инфекционного поражения вещества и оболочек головного мозга: энцефалита или менингита.
- Злокачественных или доброкачественных опухолей, которые перекрывают отток ликвора.
- Травмирования головы.
- Проблем с функциональностью нервной системы.
- Небольшой плотности вещества мозга.
- Врожденных или приобретенных аномалий развития.
- Наличия сгустков крови в мозге.
- Разрыва аневризмы или других патологий сосудов.
- Субарахноидального кровоизлияния. Эта причина считается одной из самых распространенных. При ней чаще диагностируется смешанная форма болезни.
- Хирургического вмешательства.
- Чрезмерной выработки спинномозговой жидкости.
- Синдрома Бикерса-Адамса.
Эти причины являются самыми распространенными. Естественно, их нужно знать, чтобы была возможность правильно поставить диагноз и начать эффективное лечение.
Особенности диагностики патологии
Для того чтобы определить причину развития смешанной или умеренной гидроцефалии, больному нужно пройти тщательное обследование, которое предполагает такие процедуры:
- Внешний осмотр пациента с использованием неврологических тестов.
- КТ или МРТ. Вторая процедура считается более безопасной.
- УЗИ головного мозга (трехмерное).
- Контроль внутричерепного давления.
- Методы скрининг-мониторинга.
- Нейросонография.
Традиционное лечение патологии
Гидроцефалия имеет свой код по МКБ: G90.
Лечение при помощи медикаментозных препаратов используется, даже если она врожденная, но имеет умеренную форму развития.
Больному назначаются лекарства, способствующие понижению внутричерепного давления: «Лазикс», а также мочегонные средства.
Также пациенту могут быть назначены препараты для устранения эпилептических судорог: «Диакарб». Кроме того, это лекарство снижает высокое внутричерепное давление.
«Диакарб» имеет невысокую стоимость, но достаточно эффективен. Естественно, средство имеет свои противопоказания и вызывает множество побочных эффектов.
Назначить «Диакарб» может только врач.
Кроме лекарственных препаратов, полезен лечебный массаж. Эти методы терапии гидроцефалии помогут компенсировать повреждения у взрослого, однако не вылечат болезнь полностью.
Народные средства тоже могут быть использованы для борьбы с недугом. В некоторых случаях они помогают снизить интенсивность симптоматики. Однако, так же как и таблетки, народные средства не могу полностью устранить патологию.
Водянка головного мозга: оперативное лечение
Для полного выздоровления взрослого используется операция. Существует несколько типов хирургических вмешательств:
- Шунтирование. Этот метод проведения операции используется чаще всего. Вмешательство предусматривает введение в полость черепа специальных силиконовых катетеров с клапанами. Посредством этих приспособлений лишняя жидкость выводится в брюшную полость. Шунтирование обеспечивает поддержание оптимального внутричерепного давления. Нельзя производить такую операцию при наличии проблем со зрением, хронической форме гидроцефалии. Шунтирование помогает взрослому вернуться к нормальной жизни, восстановить трудоспособность, избежать инвалидности. Но после такой операции могут остаться последствия. Недостатком представленной процедуры можно считать небольшой диаметр шунта. Трубка способна достаточно быстро выйти из строя, что требует ее замены. Причем процедура должна быть выполнена незамедлительно. Кроме того, трубки изначально могут быть инфицированными, а также обеспечивать слишком медленный или очень быстрый отток спинномозговой жидкости. Операция шунтирования длится около 1,5 часа под общим наркозом.
- Установка наружной системы дренажа. Гидроцефалия головного мозга у взрослого лечится только в том случае, если по-другому избавиться от излишка ликвора невозможно. Эта процедура может спровоцировать максимальное количество осложнений, например: больной может получить серьезную инфекцию, которая еще больше усугубит его состояние.
- Эндоскопия. Такой метод лечения гидроцефалии головного мозга у взрослого является самым новым и эффективным. Однако ее стоимость достаточно высока, ведь процедура требует наличия сложного технического оборудования и высококлассного мастерства хирурга. Но этот способ лечения является самым безопасным. Во время проведения операции врач при помощи нейроэндоскопа, оснащенного микроскопической видеокамерой, проникает внутрь мозговых каналов. Весь ход процедуры выводится на экран с высоким разрешением. Далее, с применением специального катетера в нужном месте делается отверстие, и ликвор вытекает из места скопления по заранее подготовленному пути. Такое хирургическое вмешательство проводится всего раз. При этом в организм не нужно вводить какие-либо трубки – то есть процесс позволяет добиться постоянного эффекта. Однако эндоскопия проводится далеко не всегда.
Подробнее о лечении заболевания хирургическими методами рассказывает нейрохирург Александр Вячеславович Печиборщ:
Оперативное лечение гидроцефалии головного мозга у взрослого является преимущественным, так как позволяет частично или полностью избавиться от проблемы.
Естественно, принимать решение о проведении хирургического вмешательства должен консилиум врачей.
Особенности питания и восстановительного лечения
Борьба с гидроцефалией головного мозга у взрослых требует пересмотра образа жизни. Чтобы не усугублять состояние здоровье больного, необходимо наладить рацион его питания.
Диета предусматривает улучшение обмена водно-солевого баланса.
Поэтому следует отказаться от употребления свежего хлеба, жирного мяса и рыбы, копченых изделий, колбас, сладостей – все они способствуют задержке жидкости в организме.
Лучше отдать предпочтение свежим овощам и фруктам, кашам. Лучше всего отказаться от жареных блюд.
Кушанья полезнее готовить на пару. Важен и питьевой режим.
Например, для улучшения выведения лишней жидкости из организма используются народные средства с мочегонным эффектом: отвары петрушки и душицы.
В период восстановления необходимо оберегать больного от возможного послеоперационного инфицирования, ударов головой, слишком большой активности и других проблем.
Прогноз заболевания
Если вовремя не обнаружить признаки гидроцефалии, последствия могут быть печальными.
Причем инвалидность – это не самое худшее, что может случиться с больным.
Итак, последствия патологии таковы:
- Риск неправильного физического и умственного развития.
- Проблемы с работой нервной системы.
- Нарушение мыслительной функции.
- Инвалидность.
Как предупредить заболевание?
Гидроцефалия головного мозга у взрослого в некоторых случаях может привести к летальному исходу, поэтому ее лечение является обязательным. Однако патологию можно предупредить. Для этого нужно соблюдать такие профилактические меры:
- Еще во время беременности женщина обязана точно выполнять все предписания врачей.
- Взрослый должен лечить любые инфекционные патологии, способные спровоцировать развитие гидроцефалии.
- Лучше избегать травмирования головы, которое тоже может запустить механизм развития болезни.
- Важно также соблюдать аккуратность и внимательность в повседневной жизни (избегать падений и ударов). Причем это правило касается и детей, и взрослых.
Надеемся, что сегодняшняя статья дала вам представление о том, что такое гидроцефалия, как она развивается и лечится.
Эта информация поможет вовремя заметить признаки заболевания и, начав терапию, избежать каких-либо осложнений.
Диагноз гидроцефалия
Несвоевременная диагностика и сопутствующие опасные симптомы, которые проявляются при нарушениях нервной системы, а также тяжелые последствия, связанные с неправильной работой головного и спинного отделов мозга, провоцируют динамическое развитие синдрома, известного, как гидроцефалия мозга. Определить ее в детском возрасте можно по неестественному увеличению объема головы у ребенка на фоне лицевого, соответствующего возрасту скелета, деформации костей черепа, расширению черепных швов и отсутствию пульсации родничка. Приобретенная прогрессирующая водянка головного мозга у людей старшего поколения и взрослых имеет другие признаки и первопричины, что такое заболевание делает особенно опасным.
В основе патологии находится затруднение оттока цереброспинальной жидкости, которая выполняет защитную функцию спинного и головного мозга, участвует в обменных процессах, нормализует давление внутри черепа, играет важную роль в вегетативной системе. У здорового человека ликвор, вода, вырабатывается непосредственно в мозге, его желудочках, сосудистыми сплетениями в процессе активной работы секреторных клеток и путем высвобождения из кровеносных сосудов. Циркулирует в межжелудочковое отверстие, Монро, проходит сквозь отверстие центрального мозгового канала, Сильвиева водопровода, достигает субарахноидального пространства, поглощается венозной кровью.
В сутки цереброспинальная жидкость обновляется 4 раза и достигает количества в мозгу до 700 мл. При водянке это число увеличивается. Ликвор начинает скапливаться в желудочковой системе, затрудняется его перемещение к головному и спинному мозгу, развивается тяжелый гипертензионно-гидроцефальный синдром. У человека повышается давление внутри черепа, наблюдаются неврологические и расстройства органов чувств.
Причины гидроцефалии
Если рассматривать механизм развития приобретенной патологии среди провоцирующих гидроцефалию факторов, можно выделить как внутренние особенности организма, влияние сопутствующих болезней, так и последствия внешнего воздействия на органы нервной системы. Причин для того, чтобы возникла у взрослых и стариков водянка головного мозга, достаточно:
- повреждения черепа;
- острые и хронические инфекции;
- воспалительные процессы в отделах головного мозга;
- внутримозговые опухолевые новообразования;
- возрастная атрофия;
- некроз мозговой ткани;
- атеросклероз;
- гипертоническая болезнь;
- проблемы с сосудистой системой;
- ишемический или геморрагический инсульт;
- энцефалопатия;
- низкая плотность мозгового вещества.
В результате вышеперечисленных заболеваний наблюдается полное или частичное нарушение ликвоциркуляции, сужение или закупорка просветов движения цереброспинальной жидкости, спаечные процессы и затруднение оттока ликвора или его скопление в боковых полостях, желудочках головного мозга, или внутри черепной коробки.
Как определить гидроцефалию
До момента первых клинических проявлений часто проходит не один месяц, и ощутить первые характерные симптомы, которые вызывает водянка головного мозга у взрослых, можно только на стадии серьезного воспалительного процесса и прогрессирующего заболевания. В связи с уже сформировавшимся скелетом и закрытием черепных швов явно выраженное увеличение окружности головы наблюдается редко. Давление избыток спинномозговой жидкости оказывает на внутреннюю часть черепа. В результате у человека начинается рвота, тошнота, мигрень и головокружения.
Нередко в запущенной хронической форме гидроцефалия мозга способна вызывать у взрослых симптомы психических расстройств и отклонений, как депрессия, апатия, эпилептические припадки, галлюцинации, навязчивые идеи и беспричинные маниакальные мысли, вспышки гнева и раздражения.
Угнетение больших полушарий головного мозга сопровождается нарушением сознания, снижением активности умственной деятельности, ухудшением запоминания и атрофией зрительных нервов. Симптомы, которые указывают на приступ гидроцефалии, проявляются в виде аритмии, гипертензии, внешнем покраснении или слишком бледном оттенке лица, судорогах или параличе конечностей. Учащенное и затрудненное дыхание может спровоцировать остановку сердца и летальный исход.
Классификация
Современные нейрохирурги, которые проводят эффективное лечение гидроцефалии, определяют причины и провоцирующие факторы, исследуют продолжительность течения и предупреждают возможные осложнения, выделяют соответствующие формы заболевания головного мозга.
Для врожденной патологии характерно появление водянки в утробе матери под влиянием воспалительных и инфекционных процессов, неправильного течения родовой деятельности, генетических изменений. Приобретенные нарушения наблюдаются у лиц подросткового и старшего возраста. Заместительная гидроцефалия головного мозга является причиной атрофии тканей и уменьшения размера органа. Появление свободного внутричерепного пространства приводит к заполнению его цереброспинальной жидкостью. Прохождение ликвора в субарахноидальное пространство не нарушается.
По характеру развития гидроцефалия у взрослых бывает сообщающаяся, открытая, и закрытая, окклюзионная. Сообщающаяся форма предусматривает избыток производимой цереброспинальной жидкости, гиперсекреторная, и низкий уровень ее всасывания, арезорбтивная. Процесс ликвоциркуляции при этом не затруднен. Окклюзионная разновидность нарушения оттока спинномозговой жидкости из желудочковой системы зависит от локализации препятствия для нормальной циркуляции ликвора: спаечный процесс, опухолевое новообразование. Наблюдается в области отверстия Монро, Лушки и Мажанди, III желудочка, центрального канала, у затылка.
Локализация избыточного скопления спинномозговой жидкости предусматривает следующие разновидности заболевания: наружная, внутренняя и смешанная гидроцефалия головного мозга. Наружная, заместительная форма характеризуется задержкой ликвора в полости кровеносной системы, которая находится между мягкой и паутинной оболочкой. Внутренняя, окклюзионная водянка располагается в желудочковой системе, боковых полостях головного мозга. Смешанная компенсированная и декомпенсированная гидроцефалия головного мозга проявляется в ярко выраженных неврологических признаках, отсутствующие симптомы у взрослых без оформленных изменений центральной нервной системы возможны. Избыточное количество цереброспинальной жидкости занимает и субарахноидальный, и желудочковый объем.
От внутричерепного давления, которое оказывает ликвор, гидроцефалия бывает гипотензивной, гипертензивной и нормотензивной, что соответствует низким, повышенным и нормальным показателям АД при нарушении оттока жидкости из полости головного мозга.
Формы гидроцефалии
Развитие патологии, связанной с неправильной циркуляцией ликвора и нарушением работы ЦНС, наблюдается в зависимости от клинической картины ее характерных признаков.
Острое закрытое течение водянки мозга особенно опасно. Резкое ухудшение состояния обусловлено большим внутричерепным давлением, особенно в ночное время, рвотой, смещением мозговой ткани. В течение нескольких дней очень часто наступает кома.
Хроническая форма когнитивного расстройства, причиной которого является гидроцефалия головного мозга у взрослых, предусматривает постепенное изменение здоровья. У человека ослабляется память и внимание, отсутствует понятие пространства и времени, появляется шаркающая походка или полностью пропадает двигательная активность, речь становится бессвязной и нелогичной. Продолжается от двух недель и до полугода.
Диагностика гидроцефалии
Принять решение о немедленной госпитализации больного с явно выраженными неврологическими расстройствами и нарушениями работы головного мозга имеет право только лечащий врач после тщательно проведенного обследования. В первую очередь, что нужно делать при подозрении на гидроцефалию — воспользоваться услугами современных клиник и обратиться к неврологу для назначения диагностики.
Краниография, рентгенография черепа. Позволяет определить деформации костей и зрительного канала, появление новообразований и обнаружить внутричерепную гипертензию, которая выражается в изменении основания черепа.
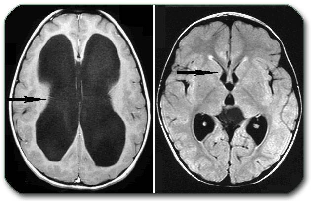
МРТ головного мозга. Точное сканирование с возможностью получения трехмерного изображения сосудов, структурных изменений посттравматического характера, изучения коркового и мозгового вещества, гипофиза. Часто предупреждает кровоизлияние и наступление ишемического инсульта.
МРТ сосудов. Позволяет визуально оценить венозные синусы, сдавливание стенок сосудов и воспаление, окклюзию отделов мозга.
Эхоэнцефалография. Ультразвуковое изучение и выявление патологий, атрофии, смещение структур мозга.
Компьютерная томография, КТ головного мозга. Лучевая методика обследования, которая дает возможность обнаружить не только аномалии костных структур, но и изменения мягких тканей, воспалительные процессы мозговых оболочек.
Лабораторное исследование цереброспинальной жидкости. Взятие материала для оценки состояния ликвора. В норме должен быть прозрачным, иметь уровень рН не более 7,32. В 1 литре спинномозговой жидкости должно быть не более 0,33 грамма белка и 2,2 ммоль глюкозы.
Лечение гидроцефалии мозга у взрослых
К кому же обратиться, чтобы начать лечить гидроцефалию, поможет определить специалист, проводивший обследование. Осмотр далее будут осуществлять невролог или нейрохирург в зависимости от формы и запущенности заболевания. При поражении зрительного и слухового нерва обязательна консультация офтальмолога и посещение ЛОР-кабинета.
Лечение препаратами допустимо, если гидроцефалия головного мозга была обнаружена на ранней стадии и проявляется умеренно, без угрозы для жизни пациента. В таком случае назначат диуретики, обезболивающие, плазмозамещающие и вазоактивные препараты, глюкокортикостероиды, нестероидные противовоспалительные средства.
«Лазикс». Средство диуретическое, которое применяется при отеках головного мозга, тяжелой форме артериальной гипертензии. Расширят крупные вены. Внутривенное введение по 40 мг, в таблетках суточная доза составляет до 80 грамм.
«Троксевазин». Ангиопротекторный, сосудорасширяющий и нормализующий кровоток лекарственный препарат. Уменьшает ломкость и повышает тонус капилляров, уплотняет сосудистую стенку. Прием в сутки не должен превышать 600 мг.
«Метипред». Назначается при отеке или опухолевых образованиях, воспалительных процессах головного мозга. Суточная дозировка внутривенно до 40 мг.
«Магния сульфат». Благотворно влияет на выведение лишней жидкости из организма, оказывает противосудорожное, успокаивающее и антиаритмическое действие. Препарат расширяет коронарные артерии и стабилизирует клеточные мембраны, нормализует кровообращение. Норма в сутки — 160 ммоль внутривенно.
Хирургическое лечение
В запущенных и тяжелых формах, хроническом течении заболевания обязательно назначается операция, проводят которую опытные нейрохирурги с использованием современного оборудования. Хирургическое лечение при гидроцефалии предусматривает выведение лишней спинномозговой жидкости и лечение последствий в виде нарушения функций головного мозга, предупреждение возможных осложнений.
Шунтирование: вентрикулоперитонеальное и вентрикулоатриальное. Отток ликвора осуществляется путем соединения одного из желудочков мозга с брюшной полостью специальной трубочкой, по которой и проходит процесс удаления лишней воды.
Наружное вентрикулярное дренирование. Назначается при окклюзионной или обструктивной гидроцефалии, кровоизлиянии. Специальный дренаж вводится в полость со спинномозговой жидкостью и под давлением выводит ее в сосуд.
Вентрикулоцистерностомия III желудочка. С помощью эндоскопа обеспечивается связь между мозговым пространством желудочков, цистернами мозга, куда будет направлена ликвоциркуляция.
Гидроцефалия и ее последствия
Благодаря научной базе и опыту проведения лечения водянки головного мозга, статистика смертности от гидроцефалии составляет всего лишь 5%, а прогноз, который ожидает 95% пациентов после прохождения лечения, положительный. Более 42% выздоравливают полностью после оперативного вмешательства.
Но, в большинстве случаев, нарушение зрения и слуха, вызванные водянкой, редко излечиваются. Со стороны нервной системы возможны осложнения в виде эпилептических припадков, слабоумия, потери речевых навыков и памяти. Еще одно последствие гидроцефалии у взрослых — частичный или полный паралич конечностей, нарушение водно-солевого баланса и сердечно-сосудистые заболевания.

